Для практикующего травматолога или хирурга переломы — вполне обычное явление. Довольно частая травма — перелом большого пальца ноги, который возникает по причине падения тяжелых предметов на стопу, при ее подворачивании или в результате сильного удара.
Почему аптеки молчат? Грибок отпадет с корнем, если помазать ногти дешевым. Грибок ногтей высохнет до корня, просто мажьте высохшую пластину обычным.
В связи с определенными анатомическими и функциональными отличиями первого пальца стопы от других пальцев лечение перелома и последующая за ним реабилитация будут иметь некоторые характерные особенности.
Причины перелома
Первый палец на стопе обычно заметно выдается вперед, испытывая максимальную нагрузку при ходьбе. Именно поэтому он чаще всего и травмируется.
Основная причина перелома большого пальца на ноге — воздействие избыточной силы. Высокая вероятность таких травм отмечается в детском возрасте или пожилом. В первом случае кости весьма непрочные в связи с фазой активного роста, а во втором — склонны к остеопорозу.
Чаще всего перелом большого пальца ноги возникает в связи со следующими факторами:
- удар о твердые поверхности стен, двери или мебели;
- компрессия при профессиональных занятиях спортом;
- падение на стопу тяжелых предметов;
- удар массивным предметом;
- подворачивание стопы;
- избыточное разгибание стопы.
В основной массе переломы первого пальца на стопе — следствие травм. Гораздо реже причины носят патологический характер, когда травмирующий фактор действует уже на изначально измененную вследствие различной патологии кость. Примером могут послужить опухолевые процессы, туберкулез или остеомиелит.
Врачи отмечают, что перелом большого пальца ноги является довольно распространенной травмой, часто возникающей в результате падений или ударов. Симптомы включают сильную боль, отек, синяки и затрудненное движение. При подозрении на перелом важно обратиться к специалисту для диагностики, которая обычно включает рентгенографию. Лечение может варьироваться от консервативного подхода, включающего иммобилизацию и покой, до хирургического вмешательства в более сложных случаях. Врачи подчеркивают важность реабилитации, которая помогает восстановить подвижность и силу. Обычно восстановление занимает несколько недель, но при соблюдении рекомендаций специалистов пациенты могут вернуться к обычной активности без долгосрочных последствий.

Классификация
Переломы первого пальца на стопе принято классифицировать по тяжести повреждений и их характеру. В зависимости от этого назначается терапия, прогнозируется длительность реабилитационного периода и конечный исход.
В медицине принято выделять следующие виды переломов в области большого пальца:
- открытые и закрытые;
- со смещением и без смещения;
- с осколками или без них;
- полные и неполные (в кости образуется только трещина).
В связи с тем, что первый палец на ноге имеет целых три фаланги, каждая из них может быть подвержена травме. Возможен сочетанный перелом, когда сломаны две или все три фаланги на пальце.
Поскольку в области большого пальца стопы расположены достаточно крупные сосудистые и нервные пучки, они всегда травмируются при переломе. В результате образуются гематомы, появляется интенсивная боль.
Важно! Самое главное заключается в том, что в результате перелома первого пальца на стопе ходьба становится практически невозможной. Перелом всего лишь одного пальца ноги лишает человека возможности заниматься ежедневными делами и жить полноценной жизнью.
Основные симптомы
Симптомы перелома большого пальца ноги бывают абсолютного и относительного характера. Первые позволяют с большей точностью установить перелом первого пальца на ноге, а вторые только помогают его заподозрить.
К абсолютным симптомам относят:
- наличие патологической подвижности в области первого пальца на стопе;
- деформация пальца ноги или его неестественное положение;
- открытая рана с костными фрагментами;
- при надавливании на палец отмечается слышимый хруст.
Относительными симптомами считают:
- боль в месте предполагаемого перелома, усиливающаяся при движении;
- отек или припухлость;
- покраснение кожных покровов, местное повышение температуры;
- кровоизлияние под кожей или пластиной ногтя;
- нарушение двигательных функций.
Интенсивность проявления каждого из перечисленных симптомов может варьировать в зависимости от вида, локализации, тяжести перелома и наличия его осложнений. Более выражены симптомы будут при переломе основной фаланги пальца, которая непосредственно соединяется с основанием стопы.
Внутрисуставной перелом вызывает интенсивную боль и гематомы, которые нередко распространяются на остальные пальцы. Для уточнения диагноза, кроме опроса пациента о причинах травмы и жалобах, огромное значение имеют дополнительные методы исследования.
Перелом большого пальца ноги — это довольно распространенная травма, которая может возникнуть из-за падений, ударов или чрезмерной нагрузки. Люди часто описывают симптомы как резкую боль в области пальца, отек и синяки. Иногда движение пальца становится невозможным, что вызывает дополнительный дискомфорт. Лечение обычно включает иммобилизацию с помощью шины или специальной обуви, а в некоторых случаях может потребоваться хирургическое вмешательство. Важно следовать рекомендациям врача и не перегружать травмированную ногу. Восстановление может занять от нескольких недель до нескольких месяцев, в зависимости от степени повреждения. Многие отмечают, что регулярные упражнения на растяжку и укрепление помогают ускорить процесс реабилитации и вернуть полную функциональность.

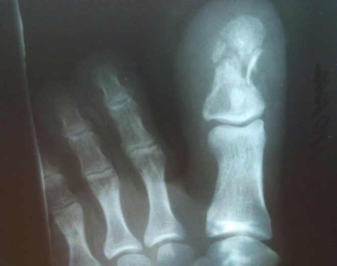
Диагностика
При любом виде перелома до сих пор золотым стандартом считается рентгенологическое исследование. Этот безболезненный способ диагностики не требует специальной подготовки и с высокой достоверностью позволяет подтвердить или опровергнуть наличие перелома. С его помощью устанавливаются характер травмы и степень смещения костных отломков.
В сложных диагностических случаях может быть назначено проведение компьютерной или магнитно-резонансной томографии. Исследования с большой точностью позволяют выявить разной степени переломы с наличием внутрисуставных травм или повреждением окружающих мягких тканей. От того, насколько точно будет установлен диагноз, напрямую зависит эффективность лечения.
Лечебная тактика
При переломах в области большого пальца ноги существует сразу несколько лечебных тактик, каждая из которых зависит от локализации травмы и ее характера:
- Открытый перелом. Требует назначения антибиотиков для предотвращения инфицирования открытой раны на ступне. В некоторых случаях даже может быть сделана противостолбнячная прививка.
- Повреждение ногтевой фаланги. Необходима перфорация ногтя с последующим удалением из-под него крови. Затем выполняется фиксация участка перелома пластырем вместе с фалангами остальных пальцев.
- Перелом средней или основной фаланг без смещения. Требуют иммобилизации пластырем на срок не менее двух недель.
- Перелом со смещением. Применяют вытяжение по оси или ручную репозицию отломков. Затем наподобие туфли накладывают гипсовую повязку.
- Закрытые переломы со смещением или оскольчатые. Выполняется тщательная, закрытая репозиция костных отломков.
- Множественные переломы. Накладывается гипсовая повязка в виде туфли.
- Переломы нескольких пальцев. Требуют наложения гипсовой лангеты.
Гипсовая повязка чаще всего накладывается, начиная от пальцев на стопе и заканчивая коленным суставом. С помощью обезболивающих препаратов снимают болевой синдром.
При внутрисуставных переломах обычно проводят операцию, которая необходима для фиксации сустава специальными спицами. В этом случае гипс накладывается на срок не менее 6 недель.

Реабилитационный период
Гипсовая повязка на ноге никому не доставляет удовольствия, но строго необходима в лечении переломов. При долгом ношении гипса подвижность суставов страдает, мышцы начинают атрофироваться, а питание окружающих тканей ухудшается. Поэтому необходима соответствующая реабилитация.
Реабилитационные мероприятия при переломе большого пальца:
- лечебный массаж;
- физиотерапия;
- упражнения из лечебной физкультуры;
- сбалансированная диета с высоким содержанием кальция и витамина D.
Все вместе они будут способствовать быстрому сращению костных отломков и дальнейшему восстановлению функционирования большого пальца стопы.
Массаж и тепловые физиотерапевтические процедуры позволят усилить кровоток и питание в области повреждения. Достаточно пары процедур, чтобы усилить эффект от проводимого лечения.
Проводить массаж лучше всего на обеих ногах. На поврежденной конечности следует захватывать пространство около гипсовой повязки и под ней. Полезно делать самомассаж с помощью простых поглаживаний и растираний, особенно с кедровым маслом.
Лечебная физкультура помогает вернуть суставам подвижность и ускорить процесс восстановления. Ниже приводится примерный комплекс упражнений:
- Растопырить пальцы ног и через несколько секунд вернуть их в исходное положение.
- Попеременно сжимать все пальцы на стопе вовнутрь, затем разгибать их максимально наружу.
- Приподниматься на цыпочки и стараться тянуться вверх, используя в качестве опоры спинку стула.
- Перекатываться с пятки на стопу.
- Совершать вращательные движения стопой.
В более позднем периоде можно рассыпать по полу карандаши или ручки. Их следует собирать пальцами ступни и складывать в одном месте.
Важно! Все упражнения нужно делать аккуратно и медленно. Спешить и давать избыточные нагрузки не следует. При появлении болевых ощущений необходимо сразу же остановиться и прекратить упражнение. Следует просто присесть и отдохнуть.
Давать значительную нагрузку на ногу сразу не требуется. Надо увеличивать ее постепенно. Самым полезным упражнением станет простая ходьба. Регулярные пешие прогулки на небольшие расстояния (по квартире) помогут восстановить подвижность в короткие сроки.
Профилактика
Необходимость своевременного лечения и соблюдения правил реабилитации объясняется высокой вероятностью осложнений:
- полное отсутствие подвижности в суставе;
- формирование ложного сустава;
- неправильное сращение кости;
- трудности при ходьбе;
- гангрена и остеомиелит.
Чтобы избежать перечисленных проблем, следует своевременно обращаться в медицинские учреждения за помощью при любых травмах большого пальца ноги. Не нужно заниматься самолечением, поскольку это может только усугубить ситуацию.
После того как перелом срастется, а нога восстановит былую подвижность в ступне, не надо сразу же начинать бегать или заниматься на тренажерах. Все должно быть постепенно, нагрузки следует увеличивать понемногу. Правильное питание стоит соблюдать и после окончания периода реабилитации в качестве профилактической меры.
Следует включить в свой рацион большое количество молочных и кисломолочных продуктов. Будет полезна морская рыба, бобовые, фрукты, овощи и зелень. Много пользы принесут морская капуста, брокколи, яичный желток, печень, масло. Ежедневные солнечные ванны будут способствовать выработке витамина D и поднимут настроение. Отказ от вредных привычек и здоровый образ жизни помогут закрепить результат.
Не нужно сразу же вставать на каблуки. Это спровоцирует избыточную нагрузку на большой палец и может закончиться его искривлением или образованием хрящевых наложений. Лучше всего подобрать удобную и просторную обувь.
Будет полезно регулярно повторять некоторые упражнения из лечебной физкультуры, пройти санаторно-курортное лечение.
Самое простое и доступное абсолютно для всех средство — предупредить перелом большого пальца ноги. Для этого достаточно носить удобную обувь и даже дома ходить в тапочках.
Простые меры безопасности при переноске тяжестей, езде на роликах, лыжах или коньках помогут предупредить перелом и избежать ненужных последствий.
Вопрос-ответ
Какие основные симптомы перелома большого пальца ноги?
Основные симптомы перелома большого пальца ноги включают сильную боль в области пальца, отек, синяки, затрудненное движение и деформацию пальца. В некоторых случаях может наблюдаться хруст при попытке двигать пальцем.
Как проходит лечение перелома большого пальца ноги?
Лечение перелома большого пальца ноги может варьироваться в зависимости от типа и степени перелома. В большинстве случаев требуется иммобилизация с помощью гипса или шины. В более сложных случаях может потребоваться хирургическое вмешательство для восстановления правильного положения костей.
Как долго длится восстановление после перелома большого пальца ноги?
Время восстановления после перелома большого пальца ноги обычно составляет от 4 до 8 недель, в зависимости от тяжести травмы и соблюдения рекомендаций врача. Важно следовать программе реабилитации, чтобы восстановить функцию и силу пальца.
Советы
СОВЕТ №1
При подозрении на перелом большого пальца ноги, немедленно обратитесь к врачу для диагностики. Самостоятельная диагностика может привести к неправильному лечению и ухудшению состояния.
СОВЕТ №2
После получения медицинской помощи следуйте указаниям врача по лечению и реабилитации. Это может включать использование специальной обуви, бандажей или даже гипса для обеспечения правильного заживления.
СОВЕТ №3
Обратите внимание на восстановление: выполняйте рекомендованные упражнения для укрепления мышц и улучшения подвижности после снятия гипса. Это поможет избежать повторных травм и ускорит процесс восстановления.
СОВЕТ №4
Следите за своим питанием: употребление продуктов, богатых кальцием и витамином D, поможет укрепить кости и ускорить заживление после перелома.








