Заболевания сердечно-сосудистой системы касаются не только самого сердца и сосудов. Их осложнения провоцируют патологии органов других систем, например, инфаркт почки. Это редкое заболевание является образцом того, как состояние сосудов влияет на работоспособность всего организма, отдельных систем и органов, которые, казалось бы, не имеют к сердцу никакого отношения.
Проблемы с сердцем и сосудами несут угрозу почкам из-за нарушения нормального кровоснабжения.
Описание патологии
Термин «инфаркт» обозначает отмирание ткани из-за отсутствия ее кровоснабжения. Ставший в сосуде тромб препятствует течению крови, получается полная и одномоментная его остановка. Это приводит к ишемии (уменьшение кровоснабжения) и гибели клеток в той части, которая лишилась питания. Кусочек ткани отмирает. Расположение этого участка и его размер зависит от расположения и диаметра перекрытого сосуда.
Более распространен инфаркт коры почки, но встречается и поражение мозгового отдела. В таком случае орган функционирует неполноценно. Появляются признаки интоксикации, т. к. работая не должным образом, почка не выводит из организма токсины, и они «гуляют по организму». У человека возникают боли в пояснице, появляется тошнота, позывы на рвоту, головокружение.
Врачи отмечают, что инфаркт почки является серьезным состоянием, которое может привести к необратимым последствиям. Основными причинами его возникновения являются тромбообразование, атеросклероз и гипертония. Симптомы часто включают резкую боль в пояснице, тошноту и изменения в мочеиспускании. Важно отметить, что ранняя диагностика играет ключевую роль в успешном лечении. Врачи рекомендуют проводить ультразвуковое исследование и компьютерную томографию для подтверждения диагноза. Лечение может включать как медикаментозную терапию, так и хирургическое вмешательство в зависимости от степени поражения. Профилактика заключается в контроле артериального давления, коррекции образа жизни и регулярных медицинских осмотрах. Врачи подчеркивают, что осведомленность о рисках и своевременное обращение за медицинской помощью могут значительно снизить вероятность развития этого опасного состояния.

Стадии болезни
Ранние инфарктные поражения почек — обратимы в лечении.
Инфаркт почки провоцирует изменения в органе в зависимости от стадии развития болезни:
- Начальная стадия. В корковом веществе почки отмирает участок ткани треугольной формы.
- Поздняя стадия. В этом случае в почке происходят необратимые процессы:
- уменьшается размер органа;
- паренхима (непосредственно ткань почки) атрофируется;
- мозговой слой почки атрофируется и зарастает соединительной тканью.
Вернуться к оглавлению
Виды патологии
Кровоснабжение почек осуществляется по двум артериям, которые доставляют кислород, и многочисленным мелким сосудам. Соответственно, две вены выводят из органов темную кровь без кислорода. Если какой-то сосуд перекрывается тромбом или скопившимися солями, местное кровообращение останавливается и возникает инфаркт. От причины патологии зависит вид заболевания:
Поражение почек от инфаркта усугубляется ещё и воздействием аномально скопленной мочекислоты.
- Анемический инфаркт почки (ишемический, «белый»). Результат перекрытия артерии. Обескровленный участок ткани светлеет, становится белого цвета.
- Геморрагический (венозный или «красный»). По закупоренной вене «отработанная» кровь не может выйти из пораженного участка и он приобретает темный цвет. Геморрагические инфаркты встречаются крайне редко.
- Мочекислый. Возникает из-за скопления мочевой кислоты. Чаще встречается у новорожденных и признан неопасным для них. Взрослые люди переносят его тяжелее.
Вернуться к оглавлению
Инфаркт почки — это серьезное заболевание, которое возникает в результате нарушения кровоснабжения почечной ткани. Люди часто упоминают, что основными причинами этого состояния являются тромбы, атеросклероз и различные сердечно-сосудистые заболевания. Симптомы могут варьироваться, но большинство пациентов отмечают резкую боль в пояснице, тошноту и изменения в мочеиспускании. Лечение обычно включает медикаментозную терапию, направленную на восстановление кровотока и устранение причин, вызвавших инфаркт. Важно также следить за состоянием сердечно-сосудистой системы и контролировать уровень холестерина. Профилактика включает здоровый образ жизни, регулярные физические нагрузки и отказ от вредных привычек. Люди, столкнувшиеся с этой проблемой, подчеркивают важность ранней диагностики и обращения к врачу при первых симптомах.

Основная причина инфаркта почек
Инфаркты почек возникают в результате осложнения сердечно-сосудистых заболеваний. Первичное поражение сосудов почек к развитию болезни не приведет.
Ишемический или геморрагический инфаркт возникает только по одной причине — сосуд закупоривается вследствие эмболии, когда тромб «приходит» с током крови или при тромбозе, когда сгусток крови образовался непосредственно в сосуде почки. Оба варианта провоцируют патологии сердечно-сосудистой системы:
Инфаркт почки чаще возникает из-за осложнений болезней сердечно-сосудистой системы или в результате неудачной операции.
- атеросклероз;
- мерцательная аритмия;
- пороки митрального клапана.
Возможная причина — хирургическое вмешательство, при котором задеты стенки сосудов, а также некоторые методы диагностики, например, артериография. Иногда инфаркт вызывают намеренно для остановки сильного почечного кровотечения, лечения опухоли или если с мочой из организма выводится много белка. Процедура подразумевает ввод катетера в снабжающую орган артерию.
Симптомы и клиническая картина
Симптомы болезни зависят от размера некроза. Отмирание маленьких частей почечной паренхимы может не проявляться. «Белый» инфаркт почки из-за прекращения кровоснабжения органа появляется резко. Крупное поражение ткани сопровождается такими симптомами:
- внезапная острая боль в области почек;
- тошнота и позывы на рвоту;
- повышение кровяного давления;
- нарушение сердечного ритма;
- появление крови в моче;
- скудное мочеиспускание или полное его отсутствие;
- потеря аппетита.
Гемморагический инфаркт развивается медленнее и тяжелее из-за нарушения мочевыделения. Первыми симптомами являются учащенное сердцебиение и сильная боль в области пораженной почки. Позже появляются такие симптомы:
Инфарктное поражение почек сопровождается попаданием крови в мочу, повышением температуры, болями в пояснице и расстройством пищеварения.
- Повышается температура тела.
- В моче появляется кровь. Мочеточник может закупориться кровяными сгустками. Мочи выделяется мало.
- Во время пальпации боль усиливается. Из-за наполненности кровью при геморрагическом инфаркте почка прощупывается сильно увеличенная.
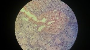
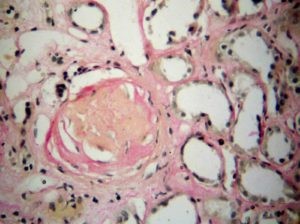
Чтобы отличить геморрагический инфаркт от артериального, кроме основных симптомов, используют микропрепарат — срезают часть ткани для анализа. Ишемический инфаркт, в отличие от геморрагического, выглядит как треугольник белого цвета с контурами красного цвета от кровоизлияния. Геморрагические инфаркты имеют четко очерченные границы. Область поражения обладает темно-красным цветом с почти черной каймой.

Инфаркты почек у новорожденных
У детей также встречается данная патология. Она возникает как осложнение врожденного порока сердца или при поражении створок сердечного клапана из-за ревматизма. Т. е. заболевание, как и у взрослых, имеет определенные предпосылки. Абсолютно другая картина наблюдается при мочекислом инфаркте — распространенном явлении среди новорожденных детей.
Мочекислые инфаркты диагностируют у младенцев в первые 7−10 дней жизни.
Мочекислые инфаркты свойственны новорожденным, контролируют эти процессы врачи-неонатологи. Причина данного явления — приспособление малыша к новым для него условиям. В это время почки начинают самостоятельную фильтрацию и выведение мочи. Из-за того, что в организм ребенка поступает немного жидкости, а кровеносная система еще адаптируется, в почечной ткани оседает мочевая кислота.
Инфаркт почек у малышей даёт о себе знать уже в первую неделю жизни.
У новорожденных мочекислый инфаркт сопровождается такими симптомами:
- Моча красно-коричневого цвета, непрозрачная. После отстаивания появляется осадок.
- От мочи на пеленках и подгузниках остаются темные пятна, на которых заметны кристаллы солей.
- Область возле мочеиспускательного канала ребенка приобретает бурый цвет.
- Ухудшение самочувствия новорожденного не проявляется.
Мочекислый инфаркт наблюдается у трети доношенных детей в течение первых дней жизни и у 10% недоношенных. Симптомы проявляются на 2−5 день после рождения. Это время называется периодом инфаркта. Через 2−3 дня они исчезают самостоятельно и патологией такой инфаркт не считается. Если после 10 дней жизни малыша наблюдаются те же симптомы, нужно обратиться к врачу, но паниковать не стоит.
Возможные осложнения
Главное осложнение патологии — нефросклероз (отмершая ткань почки замещается соединительной тканью). При поражении большого участка паренхимы развивается артериальная гипертензия (повышение кровяного давления от 140/90 мм. рт. ст. и более) и хроническая почечная недостаточность. В моче возможно появление крови либо мочевыделение прекращается. Это провоцирует сильную интоксикацию.
Методы диагностики
В зависимости от симптоматики врач назначает соответствующие дальнейшие процедуры по изучению состояния почек от перенесённого инфаркта.
Ввиду редкости болезни и отсутствия специфики ее проявлений важен сбор анамнеза. Пациента расспрашивают о наличии сопутствующих болезней, особенно сердечно-сосудистой системы, применении медикаментов. Нужно обратить внимание на ряд деталей:
- При мерцательной аритмии после того, как синусовый ритм восстановился, появление болей в пояснице сигнализирует об инфаркте почки. Вероятность возрастает, если пациент не принимал препараты, понижающие свертываемость крови (антикоагулянты).
- При митральной недостаточности боли в почках также говорят об инфаркте.
- Инфекционный эндокардит левого отдела сердца провоцирует эмболию в большом круге кровообращения.
Вернуться к оглавлению
Лабораторная диагностика
Подозревая инфаркт, врач назначает следующие анализы:
- Общий анализ мочи. Главные параметры — кровь и белок в моче.
- Общий анализ крови. Оценивается уровень лейкоцитов. Первые несколько дней после возникновения болезни этот показатель может быть в норме.
- Биохимический анализ крови и мочи. Рассматривается концентрация С-реактивного белка и уровень ЛДГ (норма 250 Ед/л).
- Коагулологические тесты. Исследование процесса образования тромбов.
Вернуться к оглавлению
Инструментальный метод
Почки после инфаркта исследуют на УЗИ, МРТ или допплерографии.
Этот вид диагностики предполагает проведение таких процедур:
- УЗИ и допплерография. Главный вид обследования. Позволяет быстро и без специальной подготовки увидеть состояние почек и их сосудов. Самый доступный метод диагностики.
- Компьютерная и магнитно-резонансная томография подтверждает диагноз. Пораженный участок паренхимы не накапливает контраст.
- Ангиография. Применяется для обследования сосудов почек. Процедура не проводится круглосуточно, потому чаще врачи пользуются результатами допплерографии.
Вернуться к оглавлению
Дифференциальная диагностика
Ишемический инфаркт почки ставят на последнее место, диагностируя его при исключении таких заболеваний:
- Почечная колика. Рассматривается даже при отсутствии камней, т. к. возникает при отхождении тромба. Исключается, если чашечно-лоханочная система не расширена.
- Расслоение аневризмы аорты. Заболевание сопровождается болями, сбоем в кровоснабжении почки, появлением крови в моче. Наблюдается у пожилых людей, страдающих атеросклерозом и гипертонией.
Вернуться к оглавлению
Способы лечения
При проявлениях инфаркта почек нужно как можно скорее обратить за медпомощью, т. к. данное состояние требует экстренной госпитализации. Пациенту назначается строгий постельный режим, особенно при гематурии (кровь в моче). Проводится консультация уролога, нефролога и сосудистого хирурга. После обследования врач назначит необходимое лечение.
Консервативное лечение
Для устранения последствия инфаркта почек назначается приём таблеток, снижающий свёртываемость крови.
После постановки диагноза пациенту назначают препараты, снижающие свертываемость крови, чтобы предотвратить дальнейшее образование тромбов. Первые 3 часа используются лекарства, растворяющие тромбы для раскупоривания перекрытой сосудистой ветки. Наряду с этим применяются сильные обезболивающие препараты и при необходимости лекарства для остановки кровотечения.
Чтобы восстановить кровоток иногда проводится баллонная ангиопластика. Через бедренную артерию вводится катетер с баллончиком, который под контролем рентгена доводится до места нахождения тромба в почечной артерии. Затем баллончик раздувается и раздавливает тромб. Этот метод лечения проводят в течение первых часов после возникновения инфаркта.
У новорожденных детей мочекислый инфаркт почек в лечении не нуждается. Это явление признано естественным и проходит самостоятельно без дополнительных мер. Единственное, чем можно помочь малышу — поить его водой наряду с грудным кормлением. Мочевыделение будет интенсивнее и отложения солей (инфарктные массы) вымоются из почек естественным образом.
Хирургическое вмешательство
Операция проводится в течение 2−3 часов после остановки кровотока. Это гарантированный способ устранить тромб, но возникает опасность возникновения осложнений или летального исхода. Эффективность операции сравнима с тромболитической терапией. Если состояние пациента крайне тяжелое, а инфаркт поразил большую часть ткани, проводится нефрэктомия — почка удаляется.
Прогноз и профилактика
Вовремя оказанная медпомощь позволяет восстановить работу почки, а на месте некроза появляется рубец. Ткань вокруг шрама выполняет работу отмершего участка и функционирование органа не нарушается. Потому прогноз благоприятен. Чтобы предупредить повторную закупорку сосуда, пациенту назначают прием препаратов, препятствующих образованию тромбов. Для профилактики требуется своевременное лечение сердечно-сосудистых заболеваний. Если у человека густая кровь, ему назначают лекарства для ее разжижения.
Вопрос-ответ
Какие симптомы при инфаркте почки?
Общим недомоганием, болевыми ощущениями в поясничной области, уменьшением суточного диуреза, гематурией, повышением температуры тела и кровяного давления, тошнотой, ознобом, рвотой, Ещё
Каковы симптомы инфаркта почки?
Инфаркт почки — редкое заболевание, частота которого составляет менее 1%. Симптомами могут быть боли в животе или боку, тошнота, рвота, лихорадка или гипертония . Диагноз сложный, он ставится на основании симптомов, анализа крови с повышенным уровнем лактатдегидрогеназы и компьютерной томографической ангиографии.
Какой вид инфаркта встречается в почках?
Инфаркт почки (ИП) – сравнительно редкое состояние, вызывающее полную или частичную потерю функции органа. Чаще всего это заболевание встречается между 6 и 8 декадами жизни [1].
Когда почки болят, какие симптомы?
Затрудненное мочеиспускание или же, наоборот, непроизвольноеНеприятные ощущения при опорожненииОтечность лица, ногВозникновение циститаЧастые позывы к мочеиспусканию, особенно, в ночное время сутокНеобъяснимая потеря аппетитаПоявление в моче кровяных выделенийЕщё
Советы
СОВЕТ №1
Регулярно проходите медицинские обследования, особенно если у вас есть факторы риска, такие как высокое кровяное давление или диабет. Это поможет выявить проблемы на ранней стадии и предотвратить развитие инфаркта почки.
СОВЕТ №2
Следите за своим образом жизни: придерживайтесь сбалансированной диеты, богатой овощами, фруктами и цельными злаками, и избегайте избыточного потребления соли и насыщенных жиров. Это способствует поддержанию здоровья почек и снижению риска сердечно-сосудистых заболеваний.
СОВЕТ №3
Обратите внимание на симптомы, такие как резкая боль в пояснице, отеки или изменения в мочеиспускании. При появлении таких признаков немедленно обращайтесь к врачу для диагностики и лечения.
СОВЕТ №4
Поддерживайте оптимальный уровень гидратации, выпивая достаточное количество воды в течение дня. Это помогает поддерживать нормальное функционирование почек и предотвращает их перегрузку.








