» Лечение народными средствами
Врачи подчеркивают, что кишечная метаплазия желудка требует серьезного подхода к лечению. Хотя народные средства могут показаться привлекательными, их эффективность и безопасность часто остаются под вопросом. Специалисты отмечают, что использование трав, таких как ромашка или зверобой, может помочь в облегчении симптомов, но не заменяет традиционные методы лечения. Важно помнить, что метаплазия может быть предвестником более серьезных заболеваний, таких как рак желудка, и поэтому необходима регулярная медицинская диагностика. Врачи рекомендуют пациентам не полагаться исключительно на народные средства, а сочетать их с назначениями гастроэнтеролога для достижения наилучших результатов. Правильное лечение должно быть комплексным и учитывать индивидуальные особенности пациента.

Можно ли вылечить метаплазию желудка
Метаплазия желудка – это замещение клеток данного органа частями тонкого или толстого кишечника. Но каким же образом это происходит? Для начала стоит уточнить, что клетки слизистой желудка постоянно обновляются. Когда имеются какие-либо внешние негативные воздействия, это начинает происходить с большей скоростью. В некоторый момент процесс достигает своего максимума и происходит сбой. В этом случае на слизистой желудка начинают появляться клетки, которые развиваются в кишечнике.
При этом происходит и изменение функций органа. Данное заболевание еще называют «кишечная метаплазия». Обычно данная патология происходит с людьми пожилого возраста. В зависимости от того, клетки какого органа начинают замещать нормальную ткань в желудке, есть две формы болезни – тонкокишечная и толстокишечная метаплазия. Первая из них менее опасна, так как при своевременно начатом лечении пациент полностью избавляется от патологии. Вторая же является предраковым состоянием желудка. Но даже в этом случае кишечная метаплазия поддается лечению.
Процесс диагностики заболевания
Данное заболевание не имеет определенных специфических симптомов, что затрудняет ее выявление и лечение. Она проявляется как и многие другие патологии, при которых нарушается целостность слизистой оболочки желудка. В связи с этим при любом подозрении на какое-либо заболевание необходимо сразу же обратиться к врачу, чтобы тот провел обследование организма.
Стоит помнить, что это заболевание желудка часто развивается на фоне уже имеющегося гастрита или язвенной болезни. Их симптомами являются:
- Появление постоянной или периодически возникающей боли в области желудка.
- Кислая отрыжка.
- Периодическая тошнота.
- Угнетение аппетита.
Из-за того, что определенных симптомов метаплазии не существует, ее диагностика носит случайный характер. То есть патология чаще всего выявляется во время обследования слизистой желудка при других недугах. Происходит это при эндоскопии.
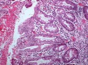
При обнаружении измененных клеток для постановки точного диагноза используют окрашивание данных участков. Те клетки, которых в органе быть не должно, отличаются по цвету, на основании чего и делается заключение о метаплазии и принимается решение о ее лечении.
Выделяют несколько степеней развития заболевания:
- Слабая кишечная метаплазия, при которой замещение произошло примерно на 5% или меньше. Лечение при этом происходит быстрее.
- В случае, когда поражение охватило орган в пределах 20%, можно говорить о средней форме.
- Выраженная кишечная метаплазия диагностируется в случае, когда замещение произошло на поверхности более 20%.
Кишечная метаплазия желудка — это состояние, при котором клетки слизистой оболочки желудка изменяются и начинают напоминать клетки кишечника. Многие люди, столкнувшиеся с этой проблемой, ищут альтернативные методы лечения, включая народные средства. Существует мнение, что травяные настои, такие как ромашка, зверобой и календула, могут помочь в снятии воспаления и улучшении состояния слизистой. Некоторые рекомендуют употребление меда и алоэ, считая их полезными для восстановления тканей. Однако важно помнить, что народные средства не заменяют традиционное лечение и должны использоваться только в качестве дополнения. Перед началом любого лечения стоит проконсультироваться с врачом, чтобы избежать осложнений и выбрать оптимальный подход к терапии.

Как излечиться от заболевания
Лечение метаплазии может быть двух видов: борьба лекарственными средствами и хирургическое вмешательство. Первое направлено на устранение возникшей причины патологии. Если замещение клеток спровоцировано повышенной кислотностью в желудке, то применяются медицинские препараты на основе солей магния и алюминия.
В других случаях появление заболеваний слизистой может быть спровоцировано попаданием в организм бактерии Хеликобактер пилори и заражением. В таких ситуациях при лечении назначаются антибиотики. К ним добавляются еще и бактериальные препараты и иммунные стимуляторы. Если степень метаплазии является выраженной, то врачи могут принять решение о хирургическом удалении пораженных тканей.
Особенности диеты
Лечение данного заболевания должно сопровождаться соблюдением строгой диеты. Во время лечения метаплазии желудка должны быть исключены:
Кроме этого, не следует употреблять маринованные и консервированные овощи. Прием пищи, как и при гастрите и язве, должен быть частым, а порции необходимо делать меньше. Когда происходит лечение, запрещена еда перед сном. Это связано с тем, что ночью пораженная слизистая желудка должна отдыхать, а не работать, переваривая пищу. Все блюда необходимо готовить на пару, а их температура во время приема должна быть умеренной, иначе методы лечения будут менее эффективными.

Профилактика
К профилактическим мерам относятся очень простые правила, при соблюдении которых организм будет более эффективно справляться с негативными воздействиями. Чтобы не испытать на себе, что такое кишечная метаплазия, необходимо выполнять следующие предписания.
Избегать стрессов
Это одно из основных правил, так как при систематическом проявлении негативных эмоций желудок начинает очень ярко на них реагировать – данный орган снабжен большим количеством нервных волокон.
Соблюдать чистоту
Чтобы не получить такое заболевание желудка, как тонкокишечная метаплазия, необходимо соблюдать гигиенические нормы питания. Это связано с тем, что причиной появления патологии может являться проникновение Хеликобактер пилори, а также различные инфекции слизистой. Кроме этого, из-за нарушения гигиенических норм есть большая вероятность возникновения пищевого отравления. Это является дополнительным фактором, который еще больше раздражает слизистую оболочку желудка.
Следовать диете
Организация питания также помогает избежать множества заболеваний и предотвратить появление кишечной метаплазии. Это правило подразумевает умеренное употребление газированных напитков, острых блюд, копченостей, а также соленых и рафинированных продуктов, негативно воздействующих на слизистую оболочку. Здоровое питание подразумевает наличие в рационе каш, хлеба, овощей и фруктов. Если употребляется мясо, то оно не должно быть жареным. Это относится и к другим продуктам.
Отказаться или ограничить прием вредных веществ
Умеренное употребление алкоголя. Необходимо помнить, что такие вещества (как и никотин) негативно воздействуют на желудок и если это происходит постоянно, то неминуемо приводит к поражению слизистой. Самой легкой патологией является гастрит, а наиболее опасной – онкологическое заболевание.
Пренебрежение этими элементарными правилами способно привести к непредсказуемым последствиям. При возникновении каких-либо сигналов организма, говорящих о метаплазии желудка, необходимо сразу же обратиться к специалистам.
Поделиться с друзьями:
Метаплазия желудка
Метаплазия желудка – это замещение клеток слизистой оболочки желудка клетками тонкого и толстого кишечника. Клетки слизистой оболочки желудка в норме постоянно обновляются.
Когда действие повреждающих факторов имеет продолжительный или интенсивный характер, обновление клеток должно происходить с удвоенной скоростью. Но все в этом мире имеет свой предел. И когда скорость обновления клеток достигает своего максимума, в генетическом аппарате этих клеток происходит сбой. На месте клеток, присущих слизистой оболочке желудка, начинают появляться клетки, свойственные кишечному отделу пищеварительной системы. Вместе с изменением морфологии клеток происходит и изменение их функции – вновь образованные клетки выполняют функцию того органа, к которому они должны принадлежать в норме.
Кишечная метаплазия желудка – это заболевание пожилых людей. По статистике, каждый пациент в возрасте более 70 лет страдает этой патологией.
В зависимости от того, какими клетками произошло замещение клеток слизистой оболочки желудка, различают две формы метаплазии -тонкокишечная и толстокишечная. Этот же фактор определяет и прогноз исхода заболевания. Если тонкокишечная метаплазия при вовремя начатом лечении имеет тенденцию к полному излечению, то толстокишечная метаплазия считается предраковым состоянием. Естественно, более ранняя диагностика и лечение предполагает благоприятный исход, тогда как запущенные формы всегда оканчиваются летальным исходом.
Симптомы и диагностика
Метаплазия желудка не имеет своей специфической симптоматики. Как правило, это симптомы, характерные для всех заболеваний желудка, сопровождающихся нарушением целостности ее слизистой оболочки. Кроме того, зачастую это заболевание развивается на фоне хронического гастрита или язвы желудка. Поэтому такие симптомы, как ноющие боли в области желудка, тошнота, кислая отрыжка и угнетение аппетита являются общими для всех этих патологий.
По этой причине диагностика кишечной метаплазии желудка носит случайный характер – при эндоскопическом исследовании больного гастритом вдруг обнаруживают еще и видоизмененные клетки. Чтобы поставить точный диагноз, используют хромо эндоскопию – окрашивание клеток специальным красителем. Видоизмененные клетки отличаются по окраске, и на этом основании делают заключение. Этот метод позволяет также определить степень замещения инородными клетками.
Если замещенных клеток меньше 5% -говорят о слабой метаплазии. Если меньше 20% -о средней, более 20% -о выраженной. Исследование биоптата этих клеток позволяет полностью дифференцировать форму заболевания, и определить тактику лечения.
Лечение и диета
Лечение кишечной метаплазии может быть как медикаментозное, так и хирургическое. Лечение лекарственными средствами направлено на устранение причины заболевания. Поэтому, если метаплазия желудка спровоцирована повышенной кислотностью желудочного сока и забросом его в пищевод, применяют лекарственные препараты на основе солей алюминия и магния, которые связывают избыток соляной кислоты.
Если заболевание произошло в результате заражения хеликобактерной инфекцией, больному назначается антибиотики, совместно с бактериальными препаратами и иммунными стимуляторами. В случаях выраженной степени метаплазии и высокой вероятности перехода заболевания в стадию онкологии, может быть принято решение о хирургическом вмешательстве.
Лечение любого заболевания желудка сопровождается строгой диетой. В рассматриваемом случае больным необходимо исключить из своего рациона все блюда, обладающие раздражающим действием (острые, соленые, копченные и кислые), а также молоко и кисломолочные продукты, белый хлеб и выпечку, консервированные и маринованные блюда.
Прием пищи должен быть дробным и частым. Таким больным нельзя плотно есть перед сном – ночью пораженная слизистая должна отдыхать и обновляться, а не работать. Все блюда должны быть хорошо проваренными или приготовленными на пару, температура пищи должна быть умеренной.
Профилактические меры, позволяющие избежать этого заболевания, просты и банальны. Но, тем не менее, соблюдение этих элементарных правил позволяют избежать тяжелейших заболеваний.
Рассмотрим эти правила:
- В наше время напряженного выживания, одной из основных причин заболеваний желудочно-кишечного тракта являются постоянные стрессы. Умение избегать стрессовых ситуаций, контролировать эмоции, позитивно мыслить и также реагировать на любые раздражители сейчас определяют не только качество жизни, но и ее продолжительность. В этом ракурсе необходимо рассматривать и вопрос оптимального соотношения работы к отдыху. Уставший, изможденный организм в несколько раз более подвержен стрессам, чем организм после хорошего полноценного отдыха. Поэтому, правило №1 – избавьте себя от стрессов.
- Вторым элементарным правилом является соблюдение санитарно-гигиенических норм питания. Причиной кишечной метаплазии желудка могут являться не только бактерии Helicobacter, но и возбудители других инфекции. Кроме того, при нарушении санитарных норм велика вероятность пищевых отравлений, которые будут дополнительно раздражать и без того уязвимую слизистую оболочку желудка.
- Немаловажным является организация рационального питания. Оно предусматривает полный отказ от химических суррогатов, которыми забиты современные супермаркеты. Самый здоровый желудок рано или поздно даст о себе знать, если злоупотреблять газированными напитками, копченостями, острыми, солеными и рафинированными продуктами. При составлении рациона питания необходимо отдавать предпочтение блюдам, богатыми пищевыми волокнами. Это самые разные каши, хлеб из цельно зерновой муки, овощи в любом виде, фрукты и зелень. Мясо и рыба не должны быть жирными, варить или готовить на пару их нужно до полной готовности. Молочные и кисломолочные блюда, творог и яйца здоровым людям не противопоказаны. Главное, чтобы после приема пищи не возникало чувство переполнения желудка.
- Необходимо знать и помнить: алкоголь и продукты расщепления никотина обладают агрессивным раздражающим действием на слизистую оболочку желудка. Нежелание отказаться от этих вредных привычек непременно приводит к той или иной степени поражения слизистой, которые могут варьировать от элементарного гастрита до онкологических заболеваний желудка.
Исходя из выше изложенного, можно прийти к простому выводу. все в наших руках.
Пренебрежение элементарными правилами здорового питания приводит к развитию тяжелых заболеваний. А игнорирование сигналов организма, несвоевременное обращение к врачу или недобросовестное лечение чревато более серьезными последствиями.
Автор. Шабанова Ирина Викторовна,
специально для сайта Moizhivot.ru
Гастроэнтерологи в вашем городе
Jeludok-med.ru Диагностика и лечение желудка, поджелудочной и кишечника Полная версия сайта
Метаплазия желудка — это опасное предраковое состояние, которое приводит к изменению строения тканей слизистой оболочки желудка или пищевода, и при этом они становятся сходны с тканями оболочек тонкого и толстого кишечника. Если своевременно не провести диагностику данного заболевания и не принять соответствующие меры по его лечению, то, к сожалению, больных с таким диагнозом ждет летальный исход.
Увы, от болезней желудка застраховаться невозможно. Много факторов приводит к тому, что пациенты гастроэнтеролога становятся частыми клиентами онкологических клиник. А все потому, что ведение неправильного образа жизни и несоблюдение режима питания приводят к таким нежелательным последствиям, как заболевания желудочно-кишечного тракта.
Часто люди за своей загруженностью проблемами не придают значения болям в желудке, подающим тревожный сигнал о каких-либо нарушениях в организме. Медики рекомендуют при начальных признаках заболевания бес промедления обращаться к специалисту, который может вовремя идентифицировать данное заболевание и назначить адекватное лечение во избежание последующих проблем со здоровьем.
В основном к метаплазии желудка приводит раздражение либо длительный воспалительный процесс слизистой оболочки желудка или пищевода. Часто метаплазия обнаруживается у людей с хроническим эзофагитом или гастритом. Еще одна причина возникновения этого заболевания — стрессовые факторы, что еще раз подтверждает теорию, что все болезни от нервов. В очередной раз подчеркнем, что безответственное отношение к сигналам организма чревато возникновением рака желудка или пищевода.
Симптомы метаплазии желудка
Часто по ошибке люди думают, что все проблемы с их организмом со временем должны рассосаться сами, и не замечают знаки, которые им посылает больной орган. Тем самым запуская болезнь и допуская осложнения, которые незамедлительно наступят, если пустить дело на самотек. Тем более метаплазия, которая не только не исчезнет сама по себе, но даже переродится в более грозное заболевание – рак желудка. Клинические проявления данной болезни размыты, по своим симптомам метаплазию можно перепутать со многими другими заболеваниями желудка. Обычно у больного начинается тошнота, рвота, пропадает аппетит, ощущается боль в эпигастральной области.
Диагностика
Для диагностики метаплазии желудка проводится гистологическое обследование, при помощи которого можно определить разновидность данного заболевания. Еще один метод диагностики – хромоэндоскопия, заключается в использовании в качестве красителя метиленовую синьку, окрашивающую пораженные клетки в определенные цвета, благодаря чему можно произвести расчет процента нездоровых клеток слизистой желудка.
Метаплазия бывает нескольких стадий: неполная и полная. В зависимости от формы заболевания назначается соответствующее лечение. При неполной метаплазии желудка во время эндоскопии выявляются сиаломуцины и сульфамуцины, а при полной метаплазии их присутствие не обнаруживается.
При слабой метаплазии процент поражения больного органа составляет 5%, при умеренной – до 20%, при выраженной 20% и больше. Исходя из результатов диагностики назначается приемлемый курс лечения.
Лечение
Лечение данного заболевания может быть хирургическим и медикаментозным. Основная задача – уменьшить количество эпизодов вброса кислотного содержимого желудка в пищевод, для чего применяются препараты, вызывающие нейтрализацию секреции желудочной кислоты.
Существует несколько направлений медикаментозного лечения:
Все медикаментозное лечение проходит под строгим наблюдением врача, который проводит анализ эффективности назначенных препаратов. При отсутствии должного результата назначается хирургическое вмешательство.
При метаплазии желудка необходимо придерживаться такой же диеты, как и при остальных заболеваниях желудочно-кишечного тракта. Прежде всего, нужно избегать жирной и жареной пищи, а так же продуктов, вызывающих повышенное выделение секреции желудочного сока. К тому же необходимо избегать стрессовых ситуаций, стараться сохранять спокойствие и выдержку. Важно понимать, что здоровье не купить не за какие финансы, оно у вас одно, поэтому запускать заболевание не в ваших интересах.
Вопрос-ответ
Что нужно кушать при метаплазии желудка?
Диета при метаплазии желудка предполагает максимальное уменьшение в меню жареных, острых, чрезмерно жирных блюд. В рационе должны в достаточном количестве присутствовать овощи и фрукты, каши. Нужно ограничить количество соли и специй.
Можно ли остановить метаплазию желудка?
Метаплазия желудка считается обратимым заболеванием. В зависимости от ее стадии, врачи могут рекомендовать консервативное или хирургическое лечение. Операция показана при выраженной метаплазии желудка. За рубежом такая процедура проводится эндоскопически и без кровопотерь.
Как лечить метаплазию?
Лечение метаплазии мочевого пузыря всегда комплексное. Оно нацелено на устранение патогенетических факторов. Врач может прибегать к помощи иммуномодулирующей, гормонозаместительной и антибактериальной терапии.
Почему возникает кишечная метаплазия?
Метаплазия – видоизменение ткани желудка, происходящее под влиянием длительного воздействия неблагоприятных факторов: алкоголя, неправильного питания и лекарственных веществ. В случае отсутствия необходимой терапии на слизистой желудка начинается воспалительный процесс.
Советы
СОВЕТ №1
Перед началом лечения народными средствами обязательно проконсультируйтесь с врачом. Это поможет избежать возможных осложнений и убедиться, что выбранные методы не противоречат основному лечению.
СОВЕТ №2
Используйте травяные чаи, такие как ромашка, мята или зверобой. Эти травы обладают успокаивающим и противовоспалительным действием, что может помочь улучшить состояние слизистой оболочки желудка.
СОВЕТ №3
Обратите внимание на диету: включите в рацион больше овощей, фруктов и цельнозерновых продуктов. Избегайте острых, жирных и жареных блюд, которые могут раздражать желудок и усугублять симптомы.
СОВЕТ №4
Попробуйте использовать мед и алоэ вера. Эти натуральные средства известны своими целебными свойствами и могут помочь в восстановлении слизистой оболочки желудка. Однако убедитесь, что у вас нет на них аллергии.



