Mycoplasma pneumoniae или микоплазма пневмония – это патогенный микроорганизм, который поражает слизистую оболочку дыхательных путей и может вызвать пневмонию. Среди всех случаев воспаления легких порядка 10% вызываются микоплазмой пневмония. Заболевание является сравнительно легким, и не приводит к серьезным последствиям. Чаще всего болезнь развивается у детей.
Распространение микоплазменной пневмонии происходит воздушно-капельным путем, для лечения инфекции у детей и взрослых можно использовать народные средства. Травяные отвары оказывают противовоспалительное и общеукрепляющее действие, улучшают иммунитет человека. Полезно будет проводить ингаляции травяными отварами. Для предотвращения развития заболевания необходимо укреплять иммунную систему с помощью курсов иммуномодулирующих народных средств. Такое лечение является безопасным и не вызывает побочных эффектов, что особенно важно в лечении детей.
Причины микоплазменной пневмонии
Болезнь носит инфекционную природу и передается от одного человека другому. Возбудитель инфекции – бактерия Mycoplasma pneumoniae. Этот микроорганизм является внутриклеточным паразитом. Микоплазма пневмония чувствительна к колебаниям температуры, высушиванию, ультрафиолетовому облучению и не может долго прожить во внешней среде. Бактериальные клетки находятся в выдыхаемых капельках жидкости и должны сразу попасть в организм другого человека. Так происходит заражение.
Ребенок может заразиться в детском садике, в школе, в общественном транспорте или во время посещения публичных мероприятий. Обычно вспышки эпидемии микоплазменной пневмонии отмечают в холодное время года. Также микоплазмоз часто развивается на фоне сниженного иммунитета.
Врачи отмечают, что микоплазма пневмония является одной из распространенных инфекций дыхательных путей как у детей, так и у взрослых. Симптомы заболевания могут варьироваться, но чаще всего проявляются в виде сухого кашля, высокой температуры, слабости и болей в груди. У детей заболевание может сопровождаться рвотой и затруднением дыхания, что требует особого внимания.
Лечение микоплазменной пневмонии обычно включает антибиотики, такие как макролиды, которые эффективно борются с инфекцией. Важно, чтобы терапия проводилась под контролем врача, так как самолечение может привести к осложнениям. Врачи также рекомендуют поддерживать иммунитет, обеспечивая достаточное количество витаминов и минералов, а также следить за гигиеной. Профилактика, включая вакцинацию и избегание контактов с больными, играет ключевую роль в предотвращении инфекции.

Симптомы заболевания
Клинические проявления микоплазменной пневмонии возникают после короткого инкубационного периода (от 3 дней до двух недель). Первые признаки заболевания сходны с симптомами ОРЗ. которое вызывает вирус.
Mycoplasma pneumoniae сначала поражает слизистую оболочку носовых пазух и верхних дыхательных путей. Затем инфекция начинает поражать бронхи и альвеолы легких, и возникает собственно пневмония. У больного возникают следующие симптомы:
- повышение температуры до 39°C;
- кашель с незначительным количеством прозрачной или беловатой мокроты;
- кашель достаточно интенсивный, приступы его длительные;
- покраснение слизистой оболочки дыхательных путей;
- болевые ощущения в грудной клетке;
- хрипы в легких при прослушивании.
О начале микоплазменной пневмонии может свидетельствовать резкий подъем температуры от субфебрильных значений до 39 0С и изменение характера кашля с сухого на влажный с отделением мокроты. Обычно распространение микоплазмы пневмония в альвеолы легких происходит на 5–7 день после начала заболевания. Длительность микоплазменной пневмонии чаще всего составляет 7–12 дней, остаточные симптомы могут продолжаться до двух недель.
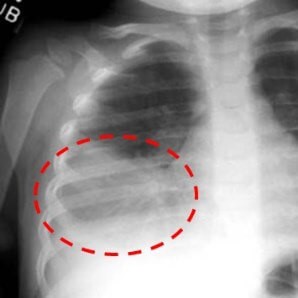
Диагностика заболевания
Микоплазму пневмония определяют при помощи прослушивания легких, рентгенологического исследования и ряда лабораторных анализов:
- Общий анализ крови в редких случаях показывает повышенное содержание лейкоцитов, что указывает на воспалительный процесс. Чаще всего содержание белых кровяных клеток не отклоняется от нормы.
- Иммунологическое исследование. Проводят иммуноферментный анализ (ИФА). В сыворотке крови больного выявляют антитела (IgA, IgM и IgG.) к антигенам Mycoplasma pneumoniae.
- ПЦР-анализ. Этот метод является наиболее точным и быстрым. Для исследования проводят отбор мокроты или мазок со слизистой дыхательных путей. Анализ позволяет определить гены возбудителя заболевания в образце.
Микоплазма пневмония — это инфекционное заболевание, вызываемое микоплазмами, которое может поражать как детей, так и взрослых. Люди часто отмечают, что симптомы заболевания могут быть довольно разнообразными и включают кашель, одышку, повышенную температуру и общую слабость. У детей болезнь может проявляться более остро, с выраженной интоксикацией, тогда как у взрослых симптомы могут быть менее заметными, что иногда затрудняет диагностику.
Лечение микоплазмной пневмонии обычно включает антибиотики, такие как макролиды или тетрациклины, которые эффективны против данного возбудителя. Важно, чтобы терапия начиналась как можно раньше, чтобы избежать осложнений. Многие родители делятся опытом, что своевременное обращение к врачу и соблюдение всех рекомендаций значительно ускоряют процесс выздоровления. Также отмечается, что поддерживающая терапия, включая обильное питье и отдых, играет важную роль в восстановлении.

Выработка антител
Когда в организм попадает инфекция, и начинается воспалительный процесс, иммунная система начинает выработку антител (иммуноглобулинов). Антитела – это белковые молекулы, которые присоединяются к бактериальной клетке и инициируют процесс ее уничтожения. Существует несколько классов иммуноглобулинов: IgA, IgM и IgG. Самыми первыми синтезируются IgM – иммуноглобулины класса М. Максимального значение уровень этих антител достигает в течение первой недели микоплазменной пневмонии. Эти молекулы защищают организм в течение всей болезни и сохраняются в сыворотке еще несколько месяцев после выздоровления.
В некоторых случаях микоплазмоз может носить хронический характер. При этом Mycoplasma pneumoniae сохраняется в организме, и у человека может возникнуть рецидив заболевания. В этом случае в сыворотке крови выявляют повышенный титр других иммуноглобулинов: IgG. При инфицировании микоплазмой пневмония IgG начинают вырабатываться спустя 2–4 недели после начала патологического процесса. Эти антитела могут сохраняться в организме человека в течение года. Наличие IgG свидетельствует о длительном хроническом инфекционном процессе.
Антитела – это специфические белки, которые вырабатываются в ответ на конкретную инфекцию. Однако бактерии одного рода могут инициировать синтез сходным иммуноглобулинов IgA, IgM и IgG. В некоторых случаях ИФА дает ложноположительный результат и выявляет Mycoplasma pneumoniae, если в организме есть другие виды патогенных микоплазм. Чаще всего, это случается, если человек болеет скрытой формой урогенитального микоплазмоза.
Стоит также отметить, что развитие микоплазменной пневмонии крайне редко переходит в хроническую форму. В большинстве случаев болезнь заканчивается полным выздоровлением через 1–2 недели. Хронический процесс более характерен для микоплазмоза мочеполовой системы. Таким образом, наличие в крови IgG к микоплазме может означать наличие скрытой (если симптомы болезни отсутствуют) хронической урогенитальной инфекции. Такая патология может давать рецидив.
Лечение микоплазменной пневмонии
Лечение микоплазменной пневмонии можно осуществлять при помощи народных средств. Такая терапия оказывает противобактериальное и противовоспалительное действие. Для лечения можно принимать травяные отвары и проводить процедуру ингаляции. Также полезно пить средства для коррекции иммунитета. Данные средства помогут предотвратить развитие микоплазмоза и других инфекционных заболеваний.
Народные рецепты против микоплазмы:
- Ежевика. В терапии применяют листья этого растения. Чай из листьев ежевики можно принимать 3–4 раза в день по половине стакана. Для приготовления настоя 1 ст. л. листочков запаривают в 200 мл кипятка.
- Василек. Целебным эффектом обладает цвет василька синего. 2 ст. л. сушеных цветков нужно залить 500 мл кипятка, оставить настаиваться час в термосе, затем процедить. Лекарство принимают по ½ стакана 3–4 раза в день.
- Лекарственный сбор №1. Сбор готовят на основе василька, а также ромашки, зверобоя, спорыша и кукурузных рылец. Все компоненты нужно измельчить и смешать в равном соотношении. В 300 мл кипятка нужно запарить 1 ст. л. такого снадобья, настаивать в течении часа, затем процедить. Схема приема: по 100 мл настоя 3 раза в сутки.
- Лекарственный сбор №2. Для приготовления сбора берут боровую матку, зимолюбку и грушанку. Все растительные компоненты смешивают в равном соотношении. Для приготовления настоя 2 ст. л. сбора запаривают в полулитре кипятка, настаивать в термосе час и процедить. Стандартная дозировка: по 100 мл настоя 4–5 раз в сутки.
- Ингаляции. Полезно проводить регулярные ингаляции отварами лекарственных трав. Для ингаляций подойдут зверобой, ромашка, календула, шалфей, эвкалипт, чистотел, хвоя. Травы можно запаривать по отдельности или готовить различные сборы. Ингаляция должна длиться 10–15 минут перед сном. Процедуру нужно повторять ежедневно.
- Полоскание горла. Микоплазмы поражают не только слизистую оболочку легких, но и верхние дыхательные пути. Для лечения эффективно будет применять промывание носовых пазух или полоскания горла. Для этих целей можно использовать те же травяные отвары, что и для ингаляции.
Снадобья для укрепления иммунитета:
- Витамин С. Хорошее иммуномодулирующее действие оказывают настои растений, содержащих этот витамин. Для лечения можно готовить настои клюквы, сосновой или еловой хвои, плодов шиповника. Для лечения В полулитре кипятка нужно запарить 2 ст. л растительного сырья, оставить настаиваться в термосе 4–5 часов, затем профильтровать. Принимают такое средство по половине стакана 4–5 раз в день.
- Лекарственный сбор. Хорошее иммуномодулирующее действие оказывает настоя мяты, мелиссы, иван-чая и цвета каштана. На 1 л кипятка берут 5 ст. л смеси. настаивают в термосе 3 часа, затем процеживают. Принимать нужно по 150 мл такого средства три раза в день.

Прогноз и профилактика
Прогноз благоприятный. В большинстве случаев болезнь заканчивается полным выздоровлением. После заболевания образуется иммунитет, но он нестойкий.
Профилактика микоплазменной пневмонии аналогична профилактике других сезонных респираторных заболеваний. Во время вспышек эпидемии рекомендуется избегать людных средств или пользоваться масками. Также очень важно для профилактики заболевания укреплять иммунитет. Микоплазменная инфекция чаще развивается на фоне ослабленной иммунной системы. Для поддержания защитных сил организма полезным будет два раза в год (весной и осенью) пить средства для поддержания иммунитета. Принимают такие снадобья курсом в течение 1–1,5 месяца, и это позволит поддерживать иммунитет и уберечь себя от инфекционных заболеваний в течение следующего полугода.
(Пока оценок нет)
Вопрос-ответ
Как понять, что у ребенка микоплазменная пневмония?
Интоксикационный синдром (слабость, озноб, головная боль), главный симптом – кашель, сначала сухой, затем он становится влажным с выделением небольшого количества слизисто – гнойной мокроты. Одышка, боль в грудной клетке (не всегда), хрипы в легких.
Как проявляет себя микоплазменная пневмония?
Симптомы микоплазменной пневмонии Отмечается заложенность носа, сухость в носоглотке, першение в горле, осиплость голоса. Ухудшается общее состояние, постепенно нарастает температура до субфебрильных значений, появляется слабость, потливость.
Как проявляется микоплазмоз у детей?
Повышение температуры тела до субфебрильных, реже – фебрильных значений, ломота в теле, слабость, головная боль, реже – боли в животе, тошнота, рвота, нарушения стула.
Нужен ли антибиотик при микоплазменной пневмонии?
Mycoplasma pneumoniae – возбудитель заболевания – представляет собой внутриклеточный микроорганизм. Антибиотики, эффективные против него, должны обладать способностью проникать внутрь клетки.
Советы
СОВЕТ №1
Обратите внимание на ранние симптомы. Микоплазма пневмония может проявляться не только кашлем и температурой, но и общим недомоганием, головной болью и болями в горле. При первых признаках заболевания не откладывайте визит к врачу.
СОВЕТ №2
Следите за гигиеной. Микоплазма передается воздушно-капельным путем, поэтому важно соблюдать правила личной гигиены, такие как регулярное мытье рук и использование масок в общественных местах, особенно в сезон простуд.
СОВЕТ №3
Не занимайтесь самолечением. При подозрении на микоплазму пневмонию важно обратиться к врачу для получения точного диагноза и назначения адекватного лечения. Антибиотики, которые могут быть эффективны против других инфекций, не всегда подойдут для лечения микоплазмы.
СОВЕТ №4
Обратите внимание на восстановление после болезни. После перенесенной микоплазмы пневмонии важно уделить внимание восстановлению иммунной системы, включая полноценное питание, отдых и физическую активность, чтобы избежать рецидивов и осложнений.



