Анатомия
Есть две кости предплечья. Локтевая кость более тонкая и прямая, она образует ось вращения предплечья. Лучевая кость вращается вокруг локтевой кости при движениях в предплечье.
Если кости предплечья срослись со смещением или анатомия костей не была точно восстановлена после операции, вращение лучевой кости относительно локтевой будет происходить неправильно. Исходом будет резкое ограничение движений во всей конечности.
Врачи отмечают, что открытые переломы костей предплечья требуют особого внимания и тщательного подхода к лечению. Такие травмы часто сопровождаются повреждением кожи и мягких тканей, что увеличивает риск инфекций и осложнений. Специалисты подчеркивают важность своевременной медицинской помощи, которая включает в себя хирургическое вмешательство для очистки раны и стабилизации перелома. Врачи рекомендуют использовать современные методы фиксации, такие как остеосинтез, что способствует более быстрому заживлению и восстановлению функции конечности. Реабилитация после операции также играет ключевую роль, и врачи советуют пациентам следовать рекомендациям по физической терапии для восстановления подвижности и силы.

Причины
При переломах предплечья чаще всего повреждаются обе кости. В большинстве случаев предплечье ломается при падении на руку или при сильном скручивании и сгибании костей. Иногда в результате прямой травмы ломается только одна кость, например, изолированный перелом локтевой кости происходит при ударе палкой или дубинкой по области предплечья, когда человек пытается отразить атаку и прикрыть лицо рукой.
Также существует особая группа повреждений костей предплечья, которая в медицинской литературе называют переломо-вывихи Монтеджи и Галеацци. При этих повреждениях перелом локтевой сочетается с вывихом лучевой кости в локтевом суставе или наоборот перелом лучевой кости сочетается с вывихом локтевой кости в области лучезапястного сустава. Подобные повреждения обусловлены особой анатомией и пространственным расположением костей предплечья.
На сегодняшний день все чаще встречаются переломы костей предплечья, причиной которых становятся спортивные занятия или дорожно-транспортные происшествия. При травмах в области предплечья широко встречаются открытые переломы. Открытыми переломами называются травмы, при которых кость повреждает кожу и выходит наружу. Такие переломы требуют особого лечения и чаще осложняются.
Симптомы
Боль и отечность сразу после травмы, являются наиболее распространенными симптомами переломов предплечья. Иногда определяется деформация контуров предплечья. После перелома значительно теряется функция конечности. При тяжелых открытых травмах, в области перелома можно увидеть рану с торчащими из нее костными отломками.
Онемение руки является симптомом того, что нерв в области предплечья, возможно был поврежден во время травмы.
Открытый перелом костей предплечья — это серьезная травма, которая вызывает много обсуждений среди пострадавших и медицинских специалистов. Люди, столкнувшиеся с такой ситуацией, часто делятся своими переживаниями о боли и страхе перед операцией. Многие отмечают, что открытый перелом требует немедленного медицинского вмешательства, и это вызывает тревогу. Важно также упомянуть, что восстановление после такой травмы может быть длительным и сложным процессом. Пациенты рассказывают о необходимости реабилитации и физической терапии, чтобы вернуть полную функциональность руки. Кроме того, обсуждаются и психологические аспекты, такие как страх повторной травмы или изменения в привычном образе жизни. В целом, открытый перелом — это не только физическая, но и эмоциональная нагрузка, требующая поддержки со стороны близких и медицинских работников.

Диагноз
Пациенты с переломами предплечья незамедлительно должны быть доставлены в больницу.
Диагноз устанавливается на основании собранного анамнеза, физикального осмотра и данных инструментальных методов обследования. Как правило, диагноз перелома лучевой или локтевой устанавливается без особых сложностей. Рентгенография позволяет уточнить характер перелома и степень смещения отломков.
Грубое смещение отломков врач устраняется при закрытой репозиции, конечность фиксируется гипсовой повязкой. После госпитализации в клинику проводится предоперационное обследование и подготовка к оперативному вмешательству.
Какие способы лечения переломов предплечья?
Переломы костей предплечья можно лечить оперативно или консервативно. Консервативный метод лечения переломов костей предплечья чаще всего применяется при переломах без смещения, или когда состояние пациента делает операцию рискованной для его жизни. Подобный способ лечения требует длительного нахождения в гипсе и очень часто ведет к порокам сращения. Исходом консервативного лечения является стойкое нарушение функции конечности. Некоторые переломы изначально нестабильны и достигнуть точной репозиции при консервативных методах лечения в этих случаях не представляется возможным без операции.
На современном этапе развития травматологи во всем мире чаще применяется оперативный метод лечения подобных травм. Большое распространение получили малоинвазивные методики операций на лучевой и локтевой кости, когда во время операции производится закрытая репозиция костей и осколков в правильное положение, а соединение их осуществляется путем введения фиксаторов внутрь кости через небольшие проколы кожи под постоянным контролем рентгеновской установки. Благодаря такой технике операции не нарушается целостность и соотношение мягких тканей в области перелома, достигается более ранее восстановление после травмы, снижаются сроки нахождения в больнице, уменьшается риск развития осложнений.
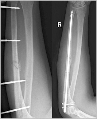
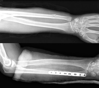
Для лечения переломов предплечья используется различные разновидности фиксаторов. Например, блокируемые интрамедуллярные (внутрикостные) стержни используются при переломах диафизов лучевой и локтевой кости и позволят достигнуть стабильной фиксации при минимальной травме мягких тканей.
Рубцы после подобных операций настолько маленьких размеров, что заметить их не всегда удается даже специалисту.
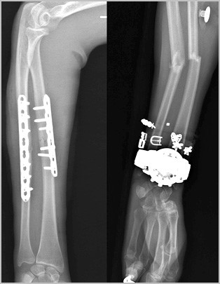
Чаще остальных фиксаторов, при переломах лучевой и локтевой кости используются пластины и специальные винты. Остеосинтез перелом лучевой и локтевой кости является «золотым стандартом» в травматологии.
Современные пластины и винты позволяют зафиксировать отломки в области перелома в правильном с анатомической точки зрения положении, а также стабильно удержать это положение до сращения перелома.
Абсолютным показанием к операции являются открытые переломы. В таких случаях на первом этапе мы стабилизируем переломы с помощью аппаратов внешней фиксации.
По заживлению ран, вторым этапом мы удаляем аппарат и производим окончательную фиксацию интрамедуллярным стержнем или пластиной. При таком подходе окончательная фиксация перелома осуществляется после заживления ран после травмы, тем самым вероятность инфекционных гнойных осложнений значительно уменьшается.
Операции в области предплечья крайне опасны с точки зрения повреждения сосудов и нервов. Исходом подобных осложнений может стать необратимое нарушение движений и чувствительности в области кисти. Возможность развития подобных осложнений накладывает на хирурга большую ответственность во время планирования и проведения операции при таких переломах.
Сращение диафиза кости у взрослого занимает много времени. Через шесть недель на рентгене можно увидеть первые признаки костной мозоли. Через 10 недель прочность кости в области перелома достигает до 80 процентов от исходной. Полная консолидация и перестройка кости может занять до нескольких лет. После того как перелом сросся, можно задуматься о удалении металлофиксатора, хотя это и является необязательным. В некоторых случаях метталофиксатор может вызывать дискомфорт, ощущение болезненности. Обычно стержни и пластины из лучевой и локтевой кости удаляются не ранее чем через 2 года, при условии наличия рентгенологических признаков консолидации перелома.
В нашей клинике мы можем предложить Вам специально разработанные металлоконструкции для фиксации переломов лучевой и локтевой кости, изготовленные из различных материалов, а также подобрать наиболее подходящий в Вашем конкретном случае. Результат операции в большой степени зависит не только от качества импланта, но и от навыка и опыта хирурга. Специалист нашей клиники имеет опыт лечения нескольких сотен переломов данной локализации в течении более 10 лет.
Мы также применяем минимально инвазивные методики операций на костях предплечья. Пациенты, которым выполнялась операция в условиях нашей клиники, возвращаются к двигательной активности уже на следующий день после операции.
Клиника травматологии и ортопедии
105187, г. Москва, ул. Фортунатовская, д. 1
ст. метро Измайлово, Семеновская, Партизанская

Вопрос-ответ
Что делать при открытом переломе предплечья?
При открытом переломе — освободить рану от одежды (снять или разрезать ткань), остановить кровь, обработать рану и наложить стерильную повязку, доставить пострадавшего в больницу, если нет возможности вызвать скорую.
Как долго заживает перелом предплечья?
Срок заживления зависит от вида травмы. При неосложненных переломах гипс снимают через 14-28 дней. Тяжелые повреждения могут требовать неоднократных оперативных вмешательств и длительной иммобилизации.
Как быстро срастаются кости предплечья?
Условные сроки срастания костей: Ключица, предплечье, малоберцовая кость, кости кисти, ( кроме запястья) и стопы ( кроме предплюсны) – должны срастаться в среднем в течение 4-6 недель Плечевая кость: 2-2. 5 месяца Большеберцовая кость, ладьевидная, таранная, пяточная – 3-4 месяца
Как лечат перелом предплечья?
Перелом предплечья — это повреждение лучевой и/или локтевой кости. Эта распространенная травма лечится консервативно: фиксацией отломков и конечности в корректном положении, либо хирургически — с помощью операции, в ходе которой отломки скрепляются металлическими конструкциями.
Советы
СОВЕТ №1
При открытом переломе костей предплечья немедленно обратитесь за медицинской помощью. Не пытайтесь самостоятельно вправить кости или обрабатывать рану, так как это может привести к осложнениям и инфекции.
СОВЕТ №2
Если есть возможность, зафиксируйте поврежденную конечность в удобном положении до приезда скорой помощи. Используйте подручные средства, такие как мягкие подушки или свернутые полотенца, чтобы уменьшить движение и боль.
СОВЕТ №3
Следуйте указаниям врача после получения медицинской помощи. Это может включать в себя назначение антибиотиков для предотвращения инфекции, а также рекомендации по реабилитации и восстановлению после травмы.
СОВЕТ №4
Обратите внимание на признаки инфекции, такие как покраснение, отек, повышенная температура в области перелома или выделения из раны. При появлении этих симптомов немедленно обратитесь к врачу.













