Температура после операции на легком. Откуда жидкость в легких при туберкулезе? Насколько опасна операция на легких? При туберкулеме в легком определяется крупный очаг казеоза, чаще всего один, но встречаются и множественные туберкулемы. Чем отличается туберкулёз от рака лёгких? Дифференциальную диагностику туберкулемы проводят с целым рядом заболеваний, сопровождающихся образованием в легких округлых образований, т. е. доброкачественных и злокачественных опухолей.
По своему строению туберкулемы могут быть инфильтративно- пневмоническими, солитарными, слоистыеми и конгломератными. Солитарная туберкулема (в виде одного очага) имеет гомогенную структуру, в которой можно выявить тень предшествующих альвеолярных структур легочной ткани и казеоза, окруженную фиброзной капсулой.
Необходимо отдельно рассматривать туберкулему, образовавшуюся при заполнении каверны, в которой из-за перекрытия дренирующего бронха скапливается казеоз. Прогрессирующие туберкулемы также могут приводить к развитию казеозной пневмонии, диссеминированного и фиброзно-кавернозного туберкулеза.
Патогенез (что происходит?) во время Туберкулемы легких:
Туберкулемы со стабильным течением протекают бессимптомно, не подвергаясь изменениям. В благоприятных условиях возможна регрессия туберкулемы — уменьшение в размерах, уплотнение и кальцинация. При прогрессировании туберкулемы ее капсула разрыхляется, казеозные массы расплавляются.
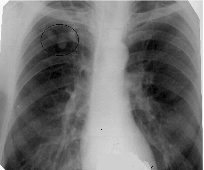
Рентгенологическая картина зависит от типа и фазы развития туберкулемы. В фазе стабилизации она выглядит в виде фокусной тени круглой или овальной формы с четкими и ровными контурами; при конгломератной туберкулеме края волнистые. В случае распада в туберкулеме чаще возникает серповидная деструкция у нижневнутреннего полюса или появляется округлая или овальная полость в центре образования.
Обратное развитие туберкулемы сопровождается уменьшением ее размеров, фрагментацией на отдельные очаги, уплотнением и обызвествлением. Диагностика. Туберкулему легких чаще обнаруживают при профилактических обследованиях населения или групп риска методом флюорографии. Выявление такой патологии в легком является показанием к бронхоскопическому исследованию с катетеризацией и взятием материала для бактериологического, гистологического и цитологического исследований.
Источником формирования туберкулем в основном служат две формы туберкулеза легких: инфильтративно-пневмоническая и очаговая. Кроме того, туберкулемы образуются из кавернозного туберкулеза посредством заполнения каверны казеозом. На рентгенограмме туберкулемы выявляются в виде тени округлой формы с четкими контурами. Туберкулёз у людей чаще всего возникает при заражении человеческим и бычьим видами возбудителя. Этот процесс называется «незавершённым фагоцитозом».
В результате всех этих процессов разрушительное действие МБТ на фаголизосомы ослабевает, и бактерии разрушаются лизосомальными ферментами. При физикальном обследовании больного патология в легких также не обнаруживается. Хрипы прослушиваются только при массивной вспышке с распространенными инфильтративными изменениями в легочной ткани вокруг туберкулемы.
При наличии распада в туберкулемах бацилловыделение встречается в тех случаях, когда есть связь с дренажным бронхом. Туберкулиновые пробы. Больные с туберкулемами легких в большинстве случаев положительно реагируют на туберкулин, проба Манту часто имеет гиперергический характер.
Безопасная и анонимная диагностика в домашних условиях. Как снизить риск развития туберкулемы — На протяжении длительного периода времени туберкулез считался социальной болезнью и его возникновение напрямую связывали с условиями жизни населения. Хирургическое лечение туберкулеза остается необходимым и распространенным методом лечения заболевания. Кашель после операции на легком — Многие люди, которые болеют туберкулезом, сталкиваются с необходимостью хирургического вмешательства.
Однако говоря о туберкулезе большинство людей, почему-то, значительно сужают это понятие до одной из его форм – туберкулеза легких. Роль витаминов в лечении туберкулеза легких — Лечение туберкулеза требует применения антибиотиков на протяжении длительного периода времени. Острый диссеминированный туберкулез легких, что это? — Врачами острый диссеминированный туберкулез выделяется в форму отдельной клинической болезни под названием туберкулез милиарный.
Всем известно, что исход лечения туберкулеза всегда предопределен правильным и скорым поставленным диагнозом: чем это раньше было сделано, тем больше у больного шансов на выздоровление. Как лечить туберкулез лимфоузлов — Одной из самых распространенных форм внелегочного туберкулеза является туберкулез лимфоузлов.
Особенно беспокоятся те, кому предстоит хирургическое вмешательство в жизненно важные органы, такие как, например, сердце и легкие. На одной из конференции где обсуждался рак легких, главный врач Саратовского областного онкологического диспансера № 1 — Владимир Семенченя рассказал о взаимосвязи здоровья и пристрастия к курению.
Туберкулема легких представляет собой ограниченное образование, возникающее в результате хронической инфекции, вызванной микобактериями туберкулеза. Врачи отмечают, что симптомы заболевания могут быть неявными и включать кашель, одышку, а также общую слабость. Важно помнить, что ранняя диагностика играет ключевую роль в успешном лечении. Для этого используются рентгенография и компьютерная томография, которые позволяют выявить изменения в легочной ткани.
Профилактика туберкулемы заключается в своевременной вакцинации и регулярных медицинских осмотрах, особенно для людей с повышенным риском. Лечение обычно включает противотуберкулезные препараты, однако в некоторых случаях может потребоваться хирургическое вмешательство. Врачи подчеркивают, что соблюдение рекомендаций специалистов и регулярное наблюдение помогут избежать осложнений и обеспечить полное выздоровление.

К каким докторам следует обращаться если у Вас Туберкулема легких:
Практически все признаки туберкулеза являются неспецифичными, то есть они могут проявляться и при иных заболеваниях. Какаие бывают клинические формы туберкулеза — Главным образом туберкулез поражает легкие и бронхи, а также мочеполовую систему человека.
Наличие жидкости в легких чаще всего является косвенным признаком проблем с сердцем, однако также оно часто сопровождает заболевания, поражающие непосредственно легкие. Есть ли санатории для больных туберкулезом? Что делать, если в крови антитела к туберкулезу?
Туберкулема легких — это форма туберкулезной инфекции, характеризующаяся образованием ограниченного очага в легочной ткани. Симптомы могут включать кашель, одышку, боль в груди и иногда лихорадку. Важно отметить, что на ранних стадиях болезнь может протекать бессимптомно, что затрудняет диагностику. Профилактика заключается в своевременной вакцинации и регулярных медицинских осмотрах, особенно для людей с высоким риском.
Диагностика туберкулемы включает рентгенографию, компьютерную томографию и анализы на наличие микобактерий. Лечение обычно состоит из курса противотуберкулезных препаратов, который может длиться от нескольких месяцев до года. Важно следовать рекомендациям врача и не прерывать лечение, чтобы избежать рецидивов. На платформах, таких как EUROLAB и Нокки, можно найти полезную информацию о заболевании, его симптомах и методах лечения, что способствует повышению осведомленности и раннему обращению за медицинской помощью.
Клиническая картина при туберкулеме достаточно скудная и зависит от типа ее течения
Патогенез и патоморфология. Характерной особенностью этой формы является длительное торпидное течение и наличие тонкой соединительнотканной капсулы вокруг крупных или группы мелких очагов казеоза и инфильтратов. Конгломератная туберкулема состоит из нескольких казеозных фокусов, объединенных единой капсулой. Заживление чаще всего выражается в гиалинизации фиброзной капсулы и краевом обызвествлении. При выделении казеоза через дренирующий бронх происходит бронхогенная диссеминация и образуется полость распада.
При стабильных туберкулемах МБТ в мокроте не находят. Какие симптомы при туберкулёзе? Курение и рак легких: есть ли взаимосвязь? До открытия антибактериальных препаратов прогноз при туберкулемах был плохим — туберкулемы давали массивные вспышки с последующим переходом в тяжелые формы туберкулеза легких.
- Что такое мазок на цитологию?
- Натуральный макияж
- Сокол Чувашская Республика
- В фильме Кристина с 7 лет в Опере, куда она попала после смерти отца, и Призрак учит её уже 10 лет. В мюзикле ничего об этих временных периодах не говорится
- Самый большой список фильмов о расщеплении личности
- Основные положения крестьянской реформы

Вопрос-ответ
Что такое туберкулема легких и как она возникает?
Туберкулема легких — это ограниченное образование в легочной ткани, возникающее в результате хронической инфекции, вызванной микобактериями туберкулеза. Она формируется, когда организм пытается изолировать инфекцию, создавая гранулемы, которые могут со временем увеличиваться и превращаться в туберкулему.

Какие симптомы могут указывать на наличие туберкулемы легких?
Симптомы туберкулемы легких могут варьироваться, но наиболее распространенными являются хронический кашель, иногда с выделением мокроты, боли в грудной клетке, одышка, потеря веса и ночные поты. В некоторых случаях заболевание может протекать бессимптомно, что затрудняет его раннюю диагностику.
Как проводится диагностика туберкулемы легких?
Диагностика туберкулемы легких включает в себя рентгенографию или компьютерную томографию грудной клетки, а также микробиологические исследования мокроты для выявления микобактерий туберкулеза. В некоторых случаях может потребоваться бронхоскопия или биопсия для получения более точной информации о состоянии легких.
Советы
СОВЕТ №1
Регулярно проходите медицинские обследования, особенно если у вас есть факторы риска, такие как хронические заболевания легких или контакт с больными туберкулезом. Ранняя диагностика поможет выявить туберкулему на начальных стадиях и повысит шансы на успешное лечение.
СОВЕТ №2
Обратите внимание на симптомы, такие как кашель, одышка, потеря веса и ночные поты. Если вы заметили у себя эти признаки, не откладывайте визит к врачу. Чем раньше начнется лечение, тем меньше вероятность осложнений.
СОВЕТ №3
Соблюдайте здоровый образ жизни: правильно питайтесь, занимайтесь физической активностью и избегайте курения. Это поможет укрепить вашу иммунную систему и снизить риск развития туберкулемы легких.
СОВЕТ №4
Если вам поставили диагноз туберкулема легких, строго следуйте рекомендациям врача и не прекращайте лечение без его согласия. Регулярный контроль и соблюдение назначенной терапии являются ключевыми факторами для успешного выздоровления.













