Рак — это заболевание, которое развивается из эпителиальных тканей и представляет появление атипичных клеток разной дифференцировки в органах и тканях организма. Рак лёгких может возникать из эпителия бронхов, альвеолоцитов, эпителиальной выстилки плевры.
Неутешительные данные статистики
По статистике в развитых странах рак лёгких стоит на первом месте по смертности среди обоих полов. Это настоящий бич большинства индустриализированных районов. Государства с развивающейся экономикой, в которых курение является одной и местных традиций, также не уступают лидирующих позиций по заболеваемости и смертности от рака лёгких.
Низкий процент пораженности этим заболеванием в станах восточного региона, таких как Китай, Япония, Корея.
Вероятность заболеть раком лёгких растёт в геометрической прогрессии у людей после 50 лет со стажем 20 лет/пачка сигарет в день. Им по европейским стандартам показано проведение ежегодного рентгенографического исследования органов грудной клетки.
Рост динамики заболеваемости раком легких
Врачи подчеркивают важность ранней диагностики рака легких, так как первые признаки могут быть незаметными. Кровохаркание и наличие жидкости в легких часто становятся тревожными звоночками. Специалисты отмечают, что плоскоклеточный, периферический и центральный рак бронхов могут проявляться различными симптомами, включая постоянный кашель и одышку. На поздних стадиях, таких как третья и четвертая, опухоль может метастазировать, что значительно ухудшает прогноз. Врачи акцентируют внимание на том, что продолжительность жизни зависит от многих факторов, включая общее состояние здоровья пациента и своевременность лечения. Профилактика, включая отказ от курения и регулярные медицинские осмотры, играет ключевую роль в снижении риска заболевания. Причины рака легких разнообразны, но наиболее распространенными являются курение и воздействие канцерогенов. Лечение может включать хирургическое вмешательство, химиотерапию и радиотерапию, что требует индивидуального подхода к каждому пациенту.

Рак легких: причины высокой заболеваемости
Причины увеличения риска заболеть раком лёгких от самых опасных до менее вероятных:
- курение (увеличивает шанс заболеть вне зависимости от вида, длительности курения);
- наследственные факторы (мутация генов, наследственная предрасположенность, рак лёгких у близких
- родственников, генетические заболевания);
- работа с веществами, имеющими повышенный риск онкогенности: алкилирующие красители, бензин;
- наличие объемных и диффузных заболеваний лёгких и средостения: туберкулома, силикоз, азбестоз и других;
- высокая степень загрязненности окружающей среды (районов непосредственного проживания, работы).
В зависимости от того, какой из этиологических факторов — триггеров, запустивших заболевание, был ведущим, развивается тот или другой вид патологии:
- у курильщиков — чаще аденокарцинома;
- при наследственной предрасположенности — плоскоклеточный рак.
Курение помогает получить рак легких лучше, чем остальные вредные привычки
Заболевание может быть гормон-зависимым и гормон-независимым. Это выясняется только путём гистохимического исследования биоптатов пораженных участков лёгких.
Первые признаки и симптомы рака лёгких
Так как лёгкие — это ткань, не имеющая рецепторов, поражение органа чаще не вызывает никаких симптомов на ранних стадиях. Только если в процесс вовлекается большое число ирритантных рецепторов, может появиться кашель. К сожалению, большинство пациентов расценивают его в качестве хронического бронхита, который возник после нескольких десятков лет стажа курения.
Проявление рака легких на ранних стадиях – это только симптомы общей интоксикации организма:
- потеря массы тела более чем на 10% за последние 6 месяцев;
- слабость, быстрая утомляемость;
ничем не спровоцированное повышение температуры до субфебрильных цифр; - увеличение СОЭ в общем анализе крови;
- нарушения сна (сонливость или бессонница);
- раздражительность;
- тревога.
Могут появляться боли в области грудной клетки, но это чаще случается при периферическом раке легкого, когда опухоль механически раздражает рецепторы плевры.
Кровохарканье появляется не всегда и то на запущенных стадиях заболевания лёгких. Поэтому его не можно расценивать как ранний симптом
Часто возникает поражение региональных лимфатических узлов на стороне поражения. Этот симптом хорошо заметен при раке молочной железы (подмышечные лимфоузлы и Зоргиевский узел), желудка (Вирховский метастаз). Но эти проявления также относятся к запущенным стадиям онкологии.
Чтобы выявить онко-заболевание лёгких на ранних стадиях необходимо проводить вторичную профилактику в виде регулярных ежегодных обследований на предмет наличия объемных образований органов грудной клетки (ОГК) и биохимических маркеров онкопатологии.
Рак легких на ранней стадии часто проявляется неявными симптомами, что затрудняет его своевременную диагностику. Кровохаркание и появление жидкости в легких могут быть первыми тревожными знаками, на которые стоит обратить внимание. Различают несколько типов рака легких: плоскоклеточный, периферический и центральный, каждый из которых требует специфического подхода к диагностике и лечению. На третьей и четвертой стадиях опухоль может метастазировать, что значительно ухудшает прогноз. Важно помнить, что ранняя диагностика увеличивает шансы на успешное лечение. Профилактика включает отказ от курения, регулярные медицинские осмотры и здоровый образ жизни. Причины возникновения рака легких разнообразны, включая генетическую предрасположенность и воздействие канцерогенов. Своевременное обращение к врачу и внимательное отношение к своему здоровью могут спасти жизнь.

Что такое паранеопластический синдром?
Паранеопластический синдром – это патологические процессы в разных органах и тканях, причиной которых являются клетки опухоли, а также их метаболиты.
Проявления паранеопластического синдрома:
- гиперкальциемия (при плоскоклеточном раке);
- гипертрофическая остеоартропатия;
- гипернатриемия (при мелкоклеточном раке).
Лечение основного заболевания – рака легкого, приводит к редуцированию паранеоплатических симптомов.
Симптомы тревоги

Кровохарканье
Кровохарканье может насторожить любого человека, даже того, кто индифферентно относится к своему здоровью. Появление кровохарканья означает, что опухоль проросла один из крупных сосудов и бронхов. Это характерно для 4 стадии, когда в качестве терапии может быть предложена тотальная пульмонектомия либо паллиативное лечение (у возрастных и ослабленных пациентов).
Кровохарканье, причиной которого является патологический процесс в лёгких, должно быть отдифференциировано от появления крови из других отделов: пищевода, носоглотки, желудка.
Кровь из желудка имеет вид кофейной гущи. Это связанно с окислением гемоглобина соляной кислотой
Для кровотечений из пищевода характерно вытекание либо выплевывание алой яркой крови. Такое состояние может наблюдаться при портальной гипертензии. Оно называется синдром Маллори-Вейса. Это варикозное расширение вен пищевода. В случае травматизации слизистой плохо пережеванной пищей либо другими факторами, может появиться стойкое кровотечение, которое в основном лечится оперативным путем.
Для поражения носоглотки чаще можно найти причину кровотечения. При этом пищевод и трахея не будут поражены. Хотя кровь может заглатываться пациентом и в результате картина становится похожа на желудочное кровотечение.
Жидкость в лёгких
Появление жидкости в плевральной полости — свидетельство органических изменений в структуре стенок сосудов и свойствах крови:
- увеличения проницаемости сосудистой стенки;
- уменьшения сосудистого сопротивления;
- повышения внутрисосудистого давления крови.
Таким образом осуществляется выход жидкой части крови (плазмы) и небольшого числа форменных элементов в плевральную полость.
Жидкость в лёгких может быть как транссудатом, так и экссудатом
Возникновение этого осложнения характерно не только для первичного поражения лёгких. Оно также может быть результатом:
- запущенных стадий сердечной недостаточности;
- нарушений функции печени (высокая гипоальбуминемия);
- инфаркте миокарда;
- метастатических поражениях лёгких (когда первичный очаг расположен в другом органе: почках, костях, печени).
Сдавление нервов: рак Педжета
Рак Педжета — это особый вид рака лёгких. Заболевание поражает верхушку органа (чаще с правой стороны). При этом появляется триада Горнера: птоз, миоз, энофтальм. Состояние связано с прорастанием опухоли в ствол блуждающего нерва. Характерно быстрое появление метастазов, нарушение функции верхней конечности (в процесс вовлекается плечевое сплетение, которое ее иннервирует).
Пациенты с раком Педжета имеют характерный внешний вид. Триада Горнера: птоз, миоз, энофтальм. Птоз — это опущение верхнего века, миоз — сужение зрачка, энофтальм — западение глазного яблока
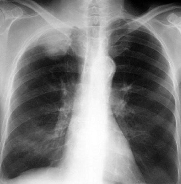
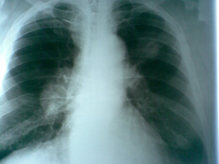
Диагностика заболевания лёгких
Диагностика заболевания заключается в следующем:
- выявление первичного очага (в случае наличия нескольких — выбор наибольшего);
- определение его размеров, наличия капсулы, прорастания в окружающие ткани;
- выявление лимфатических узлов, вовлеченных в процесс;
- выбор контрольной группы (очаг + лимфоузлы) для оценки динамики развития процесса или результатов лечения;
- определение гистологической структуры и биохимического состава опухоли;
- поиск отдаленных метастазов;
- выбор правильной тактики лечения в зависимости от вышеперечисленных факторов.
Поздно диагностированные случаи: 3, 4 стадии
Для рака лёгких поздно диагностированными считаются случаи выявления заболевания на 3 и 4 стадиях. Согласно классификации TNM четвёртая стадия ставится в случае появления отдаленных метастазов (М). При этом может быть любая Т и N.
Если первые две стадии имеют более благоприятный прогноз, то в случае с запущенными вариантами по статистике выживают в течение пяти лет только 30 и 15% (соответственно 3 и 4 стадиям) заболевших.
Гистологическое исследование биоптата позволяет точно установить диагноз рака легких
Сколько живут с метастазами рака лёгких?
На этот вопрос нет четкого ответа. Человек с четвертой стадией рака легких может умереть на следующий день после постановки диагноза, или прожить еще 15 лет после этого. По статистике, первые пять лет, проживает 22 % людей с запущенными формами рака легких, к десяти годам течения заболевания доходят только 7%.
Эту неутешительную статистику важно помнить, так как ранняя диагностика – залог успешного лечения заболевания.
Лечение рака лёгких
Консервативное (лекарствами) и хирургическое
Хирургическое лечение может быть нескольких видов. Начиная от частичной сегментарной резекции пораженного легкого при ослабленном состоянии больного в качестве паллиативной операции до тотальной пульмонектомии с региональными лимфоузлами.
Как бы там ни было, удаление даже небольшого участка легочной ткани снижает способность к оксигенации крови. Это приводит к развитию дыхательной недостаточности той или иной степени. Пациенты, которые до операции имели хорошую функцию внешнего дыхания, после хирургического вмешательства могут оставаться компенсированными.
Лечебная и диагностическая бронхоскопия
При 2 и 3 стадиях рака показана адьювантная и неоадьювантная терапия. Это консервативное лечение химиопрепаратами, которое направлено на:
- нормализацию состояния пациента;
- уменьшение размеров первичного очага;
- ухудшение состояния опухоли, замедление деления ее клеток;
- удлинение жизни пациента.
Народная медицина против рака
Рак легких, как и рак органов другой локализации – это опасное и смертельное заболевание. Не стоит «играть» с огнем и терять драгоценное время на труд народных целителей. Не все они используют соответствующие методы лечения. При этом такая терапия не только может не вылечить, но и навредить здоровью пациента. А ведь главное в медицине это:
Первичная профилактика
Первичная профилактика рака легких должна быть направлена на:
- борьбу с курением (предотвращение появления новых случаев курения, особенно среди молодежи);
- информирование курильщиков о прохождении ежегодных профилактических осмотров;
- безопасные условия труда для работников химической промышленности;
- раннюю диагностику наследственных вариантов онко-патологии легких.
Никто не говорит о пользе курения. Но то, что оно несомненно приводит к увеличению риска заболеть раком легких — факт
Вопрос-ответ
Что означает диагноз С34-1?
C34. 1 – поражение верхней доли легких или располагающихся в ней бронхов, C34.
Что пишут в КТ при раке легких?
На снимках КТ можно обнаружить опухоль, скопление жидкости или увеличенные лимфатические узлы еще до появления симптомов. Рентген грудной клетки и цитологическое исследование мокроты не считаются методами скрининга диагностики рака лёгких. Важно знать, что скрининг нужен не всем.
Сколько живут с 4 стадией рака легких?
Рак легких 4 стадия: сколько живут Она имеет неблагоприятный прогноз: только 5% пациентов проживают 5 лет. На данной стадии хирургическое вмешательство не проводится. Альтернативным лечением выступает химиотерапия, лучевая терапия и радиохирургия.
Советы
СОВЕТ №1
Регулярно проходите медицинские обследования, особенно если у вас есть факторы риска, такие как курение или наследственная предрасположенность. Раннее выявление рака легких значительно увеличивает шансы на успешное лечение.
СОВЕТ №2
Обратите внимание на любые изменения в своем здоровье, такие как постоянный кашель, кровохаркание или одышка. Не игнорируйте эти симптомы и своевременно обращайтесь к врачу для диагностики.
СОВЕТ №3
Соблюдайте здоровый образ жизни: избегайте курения, следите за своим питанием и физической активностью. Это поможет снизить риск развития рака легких и других заболеваний.
СОВЕТ №4
Изучите информацию о различных типах рака легких и их симптомах. Знание о плоскоклеточном, периферическом и центральном раке поможет вам лучше понимать свое здоровье и вовремя обращаться за медицинской помощью.










