Причины возникновения
Волдыри на горле — что это такое и почему возникает? Зачастую причиной появления волдырей могут быть инфекционные или хронические заболевания .
Врачи отмечают, что волдыри на задней стенке горла могут быть симптомом различных заболеваний. Красные и белые образования часто указывают на воспалительные процессы, такие как тонзиллит или фарингит. Важно учитывать, что такие высыпания могут быть вызваны вирусными или бактериальными инфекциями, а также аллергическими реакциями. Специалисты подчеркивают, что наличие волдырей требует внимательного обследования, так как в некоторых случаях это может свидетельствовать о более серьезных состояниях, таких как инфекционный мононуклеоз или даже рак. Для точной диагностики и назначения лечения необходимо обратиться к врачу, который проведет осмотр и, при необходимости, назначит дополнительные исследования. Игнорирование симптомов может привести к осложнениям, поэтому своевременное обращение за медицинской помощью крайне важно.

Фолликулярная ангина
Белые волдыри в горле: что это? Может быть фолликулярная ангина. Это тяжелое инфекционное заболевания, связанное с воспалением миндалин .
Болезнь является следствием переохлаждения у людей со слабым иммунитетом.
Вот почему страдают лимфатические узлы горла, расположенные на миндалинах.
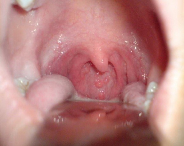
Фолликулы – плотные сгустки лимфатической ткани – воспаляются и становятся похожи на белые узелки. Размер их обычно не превышает величину спичечной головки. На конце такого узелка может образоваться гнойник.
- мигрень;
- повышение температуры;
- тошнота, рвота;
- боль в горле, трудности при глотании;
- слизистая горла красная, на миндалинах отчетливо виден белый налет;
- увеличены околоушные и подчелюстные лимфатические узлы;
- насморк, кашель.
Сначала фолликулярная ангина может напоминать кишечную инфекцию. Но достаточно широко открыть рот и посмотреть в зеркало, чтобы убедиться в ошибочности диагноза: белые волдыри на миндалинах можно увидеть невооруженным глазом.
На стенке горла волдыри: фото фолликул при фолликулярной ангине.
Герпетическая ангина
Это крайне заразное инфекционное заболевание. Его главный симптом – появляются на задней стенке горла волдыри с прозрачным содержимым. Они называются везикулами и образуются в большом количестве.
- высокая температура;
- боль при глотании;
- тошнота и рвота;
- боль в животе;
- гайморит, насморк;
- белые волдыри с прозрачной жидкостью в горле и полости рта.
Важно. Светлые узелки ярко выделяются на фоне ярко-красных слизистых горла. Удалять их самостоятельно нельзя. поскольку на их месте могут образоваться болезненные язвочки.
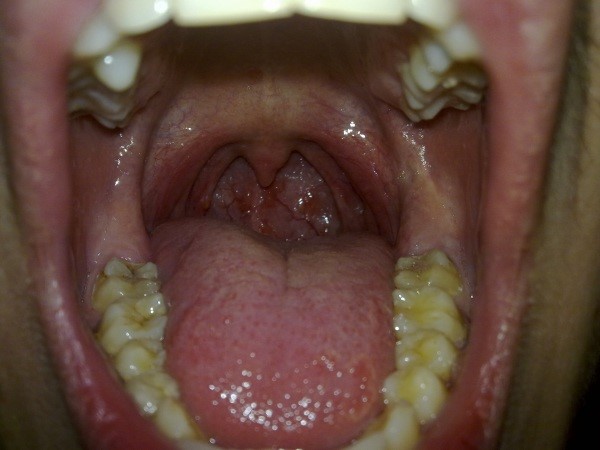
Волдыри на задней стенке горла: фото-материалы ниже.
Волдыри на задней стенке горла могут вызывать у людей беспокойство и множество вопросов. Эти образования, часто красного или белого цвета, могут быть признаком различных заболеваний, включая вирусные или бактериальные инфекции. Многие описывают их как болезненные, особенно при глотании, что может указывать на воспаление. Важно отметить, что такие высыпания могут быть связаны с ангиной, фарингитом или даже аллергическими реакциями. Люди часто делятся фотографиями своих симптомов в интернете, пытаясь найти объяснение и советы. Однако, несмотря на доступность информации, всегда стоит обращаться к врачу для точного диагноза и назначения лечения. Самолечение может привести к осложнениям, поэтому лучше доверить здоровье специалистам.

Фарингит
Является следствием перенесенного респираторного заболевания. Его симптомы, в том числе и волдыри на задней стенке горла, не исчезнут, пока не будет полностью излечена причина.
Волдыри в этом случае выглядят как небольшие пузырьки. наполненные прозрачной жидкостью. Они вызывают дискомфорт, но острой боли человек не испытывает .
Волдыри в горле: фото-материалы при фарингите
Тонзиллит
Это хроническое воспаление миндалин. которое проявляется наличием твердых белых или желтоватых гнойников в горле.
Они не вызывают дискомфорта, не болят, но провоцируют появление гнилостного запаха изо рта.
Волдыри на миндалинах можно удалять самостоятельно. поскольку гной выходит в виде пробок, но лучше предоставить лечение профессионалам .
Посмотрев видео, вы узнаете, как лечить хронический тонзиллит.
https://youtube.com/watch?v=DWPsHx2Radk
Абсцесс
Красные волдыри на задней стенке горла: что это? Возможно абсцесс! Это серьезное заболевание. связанное с гнойным воспалением горла. Возникает как следствие перенесенной ангины или травмы слизистой.
Появляются большие красные волдыри на стенке горла, которые со временем только увеличиваются. Они наполнены гноем. поэтому в домашних условиях их удалять ни в коем случае нельзя.
- лихорадка;
- тошнота;
- боль вокруг гнойника;
- трудности при глотании;
- гнилостный запах изо рта;
- снаружи шея красная, горячая и отечная.
На горле красные волдыри: фото с гноением, каким бывает абсцесс:
Герпетический стоматит
При ослаблении иммунитета в теле человека активизируется вирус герпеса. Красные волдыри в горле, на губах, языке, на стенках ротовой полости, неправильной формы и разных размеров могут характеризовать герпес.
Если болезнь развивается, головки волдырей могут побелеть, а потом лопнуть. Это приведет к возникновению крайне болезненных язвочек.
Волдыри на горле: фото-материалы красных волдырей при вирусе герпеса.
Внимание. Волдыри в горле на задней стенке: фото, представленные выше, показывают разную степень заболеваний. При малейших покраснениях следует обратиться к врачу!
Ветряная оспа
Эта болезнь у детей может сопровождаться появлением красных пятен в горле. Обычно они не развиваются в волдыри и лечатся так же, как и наружные образования.
Лечение
Волдыри в горле, как лечить? Это всего лишь симптом какого-либо заболевания. Поэтому, чтобы избавиться от волдырей, нужно вылечить основную болезнь .
Белых образований
Поскольку белые волдыри на стенке горла обычно бывают следствием инфекционного заболевания, то и лечатся они почти всегда по единой схеме .
Важно. При появлении признаков фолликулярной или герпетической ангины нужно немедленно обратиться к врачу. лечение требует антибиотиков, которые может назначить только специалист.
При инфекционных заболеваниях врач назначает следующее лечение :
- антибиотики. чтобы избавиться от бактерий;
- пребиотики. чтобы поддержать органы пищеварения;
- противовирусные лекарства ;
- антигистаминные препараты. чтобы снять отек и уменьшить воспаление;
- противовоспалительные препараты;
- иммуностимуляторы ;
- обезболивающие лекарства (пастилки, аэрозоли);
- постельный режим.
Если волдыри лопаются и на их месте образуются язвочки, врач должен назначить антисептическое средство. оно защитит открытую рану от других вирусов и инфекций. Это относится и к случаям с волдырями на внутренней стороне губ и на языке .
Эту схему лечения прекрасно дополняют народные средства .
- Обильное питье. Оно поможет устранить интоксикацию организма, снизить температуру и улучшить самочувствие. Витаминный напиток на основе лимона или шиповника укрепит иммунитет.
- Употребление витаминов. Их можно получить из свежих овощей и фруктов, а можно воспользоваться аптечным витаминно-минеральным комплексом.
- Ингаляция. Ее можно делать как на травах (шалфее, ромашке, мяте), так и на прополисе. Во втором случае достаточно на 1 л кипятка добавить 1 ст. л. прополиса. Дышать паром нужно не менее 10–15 минут.
- Смазывание горла настойкой прополиса.
- Компрессы из капусты. Это средство снимает отечность, убирает боль и жар. Каждые 2 часа нужно прикладывать новый капустный лист к горлу.
- Полоскание горла. Если через каждые 2 часа тщательно полоскать горло, можно быстро избавиться от гнойных воспалений.
- отвары ромашки, календулы, эвкалипта, шалфея;
- раствор из 200 мл теплой воды, 0,5 ч. л. соды и 10 капель йода;
- содовый раствор;
- отвар из травяного набора: 0,5 ст. л. листьев липы и эвкалипта смешать с 0,5 ст. л. цветков ромашки и настоять 30 минут;
- смесь 1 части воды с 1 частью сока алоэ;
- настой из ивовой коры;
- раствор фурацилина.
Кроме того, больной должен соблюдать постельный режим .
А его комнату нужно регулярно проветривать.
Если белый волдырь появился в результате гнойного абсцесса. врач назначит операцию .
При частых ангинах тоже может быть показано хирургическое вмешательство – удаление миндалин .
Красных
Красные волдыри на горле, возникающие в результате стоматита. лечатся только с помощью профессионала. Врач назначит:
- противовирусные препараты (в таблетках или внутривенно);
- противовирусные мази для пораженных участков горла;
- иммуностимуляторы;
- обезболивающие гели.
Совет. Во время лечения стоматита следует соблюдать строгие требования гигиены полости рта. а также исключить дополнительные травмы слизистых. Для этого нужно есть только мягкую пищу комнатной температуры.
Как нельзя лечить?
- Нельзя прогревать горло. Это может привести к усилению воспаления и нагноению. Кроме того, теплота позволит вирусу быстрее распространиться по организму.
- Нельзя удалять волдыри на гландах или горле самостоятельно. Если они возникли в результате острой инфекции, то вытекание гноя или лимфы спровоцирует дальнейшее распространение вируса по организму.
- Если на месте волдырей появились язвочки, нельзя дезинфицировать их спиртом или спиртосодержащим раствором. Это может вызвать отек или ожог горла.
- Не всегда нужно заниматься самолечением. Инфекцию нужно лечить антибиотиками, которые назначает только врач.
Самолечение может привести к тяжелым осложнениям !
Когда нужно обращаться к врачу?
Врача следует посетить в любом случае. Инфекционные заболевания, являющиеся причиной появления волдырей в горле, без специального лечения устранить невозможно.
Не нужно рисковать собственным здоровьем: если появляется что-то похожее на красный волдырь на миндалине или в горле нужно срочно посетить терапевта или отоларинголога .
Профилактика
Предотвратить возникновение заболеваний горла легко: достаточно укрепить иммунитет. Для этого нужно употреблять больше свежих овощей и фруктов, пить витамины или иммуностимуляторы, чаще бывать на свежем воздухе.
Совет. Курящим желательно отказаться от сигарет. Никотиновые пары пагубно действуют на слизистую оболочку горла, она разрушается и чаще подвергается инфекциям.
Волдырь в горле – признак серьезных инфекционных заболеваний. Их нельзя вылечить только домашними средствами: заболевшему необходимо обратиться к врачу.
Лекарственное лечение даст быстрые результаты и предотвратит возможные осложнения .
Вопрос-ответ
Что за пупырышки на задней стенке горла?
Характерные бугорки («пупырышки») на задней стенке глотки свидетельствуют о развитии гранулезного фарингита. Это одна из самых тяжелых форм заболевания. При гранулезном фарингите на слизистой оболочке появляются красные, маленькие, выпуклые образования, напоминающие маленькие шишечки.
Что за белые волдыри в горле?
Белые точки на гландах – не что иное, как проявления острого или хронического тонзиллита. Представляют собой гнойные пробки в миндалинах, которые образуются в результате воспаления лимфоидной ткани. В лакунах скапливаются бактерии, лейкоциты, эпителий – образуется гной.
Как выглядит фарингит в горле?
Небольшие бугорки на слизистой горла увеличиваются в размерах. Гнойный — бугорки воспалены, наблюдается отечность, гнойный налет и язвы. Атрофический — приводит к атрофированию тканей горла, глотательные функции почти невозможны.
Что значит волдыри в горле?
Герпесная ангина (герпетическая ангина, герпангина) — один из вариантов ангины, при котором на миндалинах появляются пузырьки, похожие на высыпания при герпесе. Возбудителем такой формы заболевания выступают энтеровирусы (Коксаки и ECHO), а не герпес-вирусы, как может показаться из названия.
Советы
СОВЕТ №1
Обратите внимание на симптомы. Если вы заметили волдыри на задней стенке горла, сопровождающиеся болью, затруднением глотания или повышенной температурой, не откладывайте визит к врачу. Это может быть признаком инфекции или другого заболевания, требующего медицинского вмешательства.
СОВЕТ №2
Не занимайтесь самолечением. Использование домашних средств или безрецептурных препаратов может усугубить ситуацию. Лучше всего получить профессиональную консультацию для правильной диагностики и назначения лечения.
СОВЕТ №3
Следите за гигиеной полости рта. Регулярная чистка зубов и полоскание горла антисептическими растворами могут помочь предотвратить инфекции и уменьшить риск появления волдырей.
СОВЕТ №4
Обратите внимание на свое питание. Употребление мягкой и нераздражающей пищи, а также достаточное количество жидкости помогут снизить дискомфорт и ускорить процесс выздоровления.























