Печень человека является важным органом пищеварения (крупная пищеварительная железа), кровообращения и обмена веществ. Физиологически в печени почти нет нервных окончаний, поэтому заболевания протекают чаще всего без явных болевых симптомов и узнаем мы о них зачастую несвоевременно. Киста печени чаще всего образуется у людей от 30 до 50 лет, в основном у женщин. Опасность болезни в том, что может произойти нагноение кисты или ее надрыв, что приведет к серьезным проблемам в организме человека. Своевременная диагностика, лечение и профилактика имеют большое значение для здоровья, если возникла такая болезнь как киста печени. Что же такое киста на печени, как проводится ее лечение и от чего она появилась?
Опухоль печени – это новообразование, которое может быть злокачественным и доброкачественным. Киста печени – доброкачественная полостная опухоль, которая заполнена жидкостью. Стенки кисты выстланы цилиндрическим или кубическим эпителием. Эта заболевание выявляется в основном среди пациентов зрелого возраста (30-55 лет) и чаще встречается у женщин.
Строение печени. Увеличить.
Наиболее часто причинами опухоли является:
- травматические повреждения печени;
- лечение гормональными препаратами;
- генетической предрасположенности, наследственность;
- заражения организма паразитами.
Какие бывают кисты печени
В зависимости от природы возникновения существуют разные виды кистозных опухолей. По способу образования кисты подразделяются на:
Печень не имеет нервных окончаний, поэтому ее болезни долго не дают о себе знать. Они протекают до того незаметно, что часто обнаруживаются тогда, когда в лечении уже нет смысла. По официальным данным, 89% случаев болезней печени на поздних стадиях заканчиваются смертью пациента. Врач-гастроэнтеролог Попов В.Р. рассказал, как можно вылечить печень. Читать далее »
- паразитарные (среди них выделяют альвеококковую и эхинококковую);
- непаразитарные (истинная и ложные).
Истинная киста печени — это врожденная опухоль, развивающаяся еще в утробе и проявляющаяся у новорожденного ребенка. Еще эти образования называют врожденными, развиваются на фоне патологии желчных протоков. Если нет динамики роста врожденной опухоли, то она, как правило, не опасна. Есть также солитарная истинная киста печени, располагающаяся в правом сегменте. Часто эта опухоль имеет ножку, из-за которой может свисать в брюшную полость. К солитарным кистам относятся дермоидные, многокамерные цистаденомы и ретенционные кисты.
Лечение поликистоза всегда комплексное и включает симптоматическое лечение препаратами, хирургическое лечение, а также диету и народные методы
Поликистоз печени носит врожденный характер. Он вызван мутацией генов. При поликистозе опухоли расположены на всем органе и его поверхности и растут постоянно на протяжении всей жизни и со временем это заболевание может привести к развитию печеночно-клеточной недостаточности, печеночной комы и летальному исходу.
На момент рождения печень уже поражена, опухолями маленького размера. Со временем они растут и вытесняют нормальную структуру органа, развиваются первые признаки печеночной недостаточности. В США практикуются специальные генетические тесты, которые выявляют поликистоз и помогают в генетическом консультировании пар, которые скоро станут родителями.
Предлагаем к просмотру информационно-ознакомительное видео. Часть 1.
Кистофиброз или врожденный фиброз печени – заболевание врожденного характера, при котором поражена печень и система воротной вены. Наблюдается у детей раннего возраста и характеризуется значительным разрастанием соединительной ткани, наличием множества желчных микрокист. При фиброзе значительно увеличена селезенка, присутствует варикоз вен пищевода и могут быть кровотечения из них. При фиброзе возникают стойкие нарушения функций печени, способствующие возникновению цирроза, печеночной недостаточности и другим опасным заболеваниям.
Типы кист холедоха.
Киста холедоха – расширение желчного протока печени. Это заболевание может быть врожденным или формируется в течение жизни. Редко в результате непроходимости желчных протоков может наблюдаться воспаление печени и цирроз.
Ложная киста — это приобретенное образование, которое может быть травматическим и воспалительным, образуются после травм, операций, воспалений, поэтому стенками полости этих кист служат фиброзно-измененные ткани самой печени.
Опухоль может появиться в любом отделе печени, в глубоких слоях левой или правой доли печени, в том числе и на поверхности. Киста левой доли печени чаще всего ложная, так как физиологически локализуется именно в левой доле.
Предлагаем к просмотру информационно-ознакомительное видео. Часть 2.
Врачи отмечают, что кисты на печени могут возникать по различным причинам, включая генетическую предрасположенность, инфекции и паразитарные заболевания. Существует несколько видов кист, среди которых простые, паразитарные и сложные. Симптомы могут варьироваться от отсутствия проявлений до болей в правом подреберье, тошноты и желтухи. В большинстве случаев кисты не требуют лечения и наблюдаются динамически. Однако при увеличении размера или возникновении осложнений, таких как разрыв или инфекция, может потребоваться хирургическое вмешательство. Важно, чтобы пациенты проходили регулярные обследования и консультировались с врачом для определения оптимальной тактики лечения.

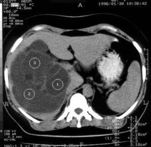
Кисты инфекционного происхождения
Нажмите чтобы увеличить.
Паразитарные кисты (эхинококковая и альвеококковая), их еще называют гидатидными, возникают на фоне заражения организма личинками паразита. Эхинококком заражаются от домашних животных, поскольку они являются его переносчиками.
Возбудитель болезни – черви Echinococcus granulosus и Echinococcus multilocularis. Заражаются, как правило, при недостаточной гигиене при работе с животными, при употреблении плохо вымытых продуктов
Из кишечника эхинококк попадает в печень и может мигрировать в сердце, мозг, почки, кости. Кистозные опухоли становятся заметными при диагностике уже через 3 недели после попадания в организм человека. Альвеококк встречается реже, так как его переносчиками являются дикие животные (лисы). Лечение паразитарных кист обязательно с применением антибактериальной терапии. Кисты печени могут протекать как с осложнениями (разрывы, кровотечения, воспаления) так и без осложнений. В случае кровоизлияния в полость опухоли, содержимое становится геморрагическим, а также гнойным и сливокообразным.
Симптомы кисты печени
Заболевание часто сопровождается болями в правом подреберье, болью в области печени при физических нагрузках, тошнотой, асимметрией живота, дискомфортом в эпигастральной области, вздутие кишечника, отрыжка, изжога, понос. Часто при этих симптомах пациент не догадывается обратиться к врачу для обследования и занимается самолечением, что нередко негативно сказывается на течении болезни.
По мере разрастания кисты симптоматика меняется, и возникают следующие симптомы: потеря аппетита, снижение веса, живот становится ассиметричным, так как опухоль увеличивается в размерах и, соответственно, увеличивается печень, в редких случаях может развиться желтуха. Но важно отметить, что если в печени развивается одна или две небольшие кисты, то никаких симптомов человек не будет ощущать. В этом случае диагностировать кисту можно только после прохождения УЗИ.
По размерам опухоли классифицируются так:
- гигантскими называют кисты размером от 10 до 25 см и более;
- большими считаются кисты от 3 до 10 см;
- средние –это от 1 до 3 см;
- Кисты менее 1 см считаются малыми.
Киста на печени — это полостное образование, которое может возникать по различным причинам, включая инфекционные заболевания, травмы или наследственные факторы. Люди часто отмечают, что кисты могут быть бессимптомными, но в некоторых случаях проявляются болями в правом подреберье, тошнотой и дискомфортом. Важно понимать, что существуют разные виды кист, такие как простые и сложные, и их лечение зависит от размера и характера образования. В большинстве случаев, если киста не вызывает симптомов и не увеличивается в размерах, лечение не требуется. Однако при наличии симптомов или подозрении на осложнения может понадобиться хирургическое вмешательство. Регулярные обследования и консультации с врачом помогут контролировать состояние и избежать возможных осложнений.

Диагностика и лечение
Самый популярные способ диагностики кисты печени – это ультразвуковое исследование (УЗИ). С помощью УЗИ печени и брюшной полости определяется состояние органа, определяется размер образования, количество, в случае множественного поражения. Для исследования природы кисты проводится пунция (биопсия). Таким способом исследуют содержимое жидкости кисты. Для диагностики кисты используют также компьютерную томография (КТ) и магнитно-резонансную томографию (МРТ).
Диагностическую лапароскопию также применяют для исследования печени и образований на ней. Серологический анализ крови проводят в случае подозрения на паразитарную кисту с целью установления вида паразита. Этот анализ крови диагностирует вирусные и инфекционные заболеваний, помогает определить стадию воспалительного процесса и выявить действие антител в плазме крови.
Если у пациента диагностировали небольшую кисту печени, то лечение начинается с регулярного наблюдения у гастроэнтеролога и терапевта. Медикаментозное лечение кисты печени, к сожалению, не позволяет вылечить болезнь, и не предотвращает развитие осложнений, в основном оно направлено на лечение симптомов, уменьшение болевых ощущений, воспалительных процессов.
Отметим, что существует относительно новый и современный метод лечения – склерозирующая терапия, при котором полость опухоли заполняют особым раствором, в результате чего стенки опухоли постепенно слипаются.
Хирургический метод лечения кисты применяется когда:
Моя жизненная история о том, как я перестала зависеть от мужа-пьяницы. Эта история не про развод. Я расскажу, как спасла семью от страшного проклятья!Читать интервью >>
- ярко выраженные клинические симптомы ухудшает качество жизни пациента;
- происходит осложнение заболевания (нагноение кисты, разрыв, кровотечение);
- хирургическим путем удаляют гигантские и большие размеры кист (от 10 см и более);
- происходит сдавление желчных путей нарушается желчеток;
- повреждаются органы и ткани воротной вены с портальной гипертензией;
- кисты возникает вновь после пункционной аспирации.
Специфика удаления кисты печени
При этом заболевании вмешательства могут быть различными. Может проводиться удаление стенок кисты. Либо кисту не вырезают, а точно вскрывают и удаляют содержимое путем «высасывания» (аспирация) с дальнейшей склерооблитерацией полости. В критических случаях единственным выходом является резекция и пересадка печени. Когда кистозное образование относительно небольшое – 5-6 см в диаметре, чрескожная пункционная аспирация наиболее эффективна. Вскрытие и наружное дренирование применяют при абсцессе или разрыве кисты.
Кисты в печени растут медленно, но неуклонно, и со временем начинают влиять на функции печени. Будьте внимательны в случае диагностирования такого заболевания, его обязательно нужно лечить
После хирургического вмешательства обязательно назначение восстановительной терапии, также необходимо соблюдение диеты, при которой из рациона в необходимо исключить соленую, жареную, копченую, консервированную пищу, газированные напитки, острое и сладкое. Необходимо ежедневно употреблять фрукты, овощи, продукты, богатые клетчаткой, рыбу, кисломолочные продукты, так как на печень неблагоприятно действует нехватка микроэлементов и витаминов.

Вопрос-ответ
Отчего может появиться киста в печени?
Они возникают на фоне травмы, воспалительного процесса или после оперативного вмешательства на тканях печени. Кроме того, образования могут быть одиночными и множественными. В зависимости от происхождения выделяют непаразитарные и паразитарные кисты. Последние представлены, преимущественно, эхинококками.
Что нельзя делать при кисте в печени?
Диета при кисте печени подразумевает отказ от жирных, жареных, консервированных, соленых, копченых продуктов, крепкого кофе, газированных напитков, мороженого, острых соусов, приправ, пряностей. Необходимо употреблять овощи (особенно морковь, пастернак, свеклу), фрукты (в первую очередь – цитрусовые), пить соки.
Можно ли жить с кистой в печени?
Большинство кист печени не требует лечения. Однако, если кисты становятся большими и болезненными, их может потребоваться дренировать или удалить хирургическим путем. Кисты также могут быть удалены хирургическим путем, если они препятствуют попаданию желчи в кишечник.
Какой размер кисты на печени опасен?
Так, при размере более 7 см киста сдавливает паренхиму, нарушается функция печени. Возникает тошнота, рвота, вздутие живота, возможно нарушение пищеварения, появляется кожный зуд, желтуха, потеря веса. В большинстве случаев появляются боли в правом подреберье.
Советы
СОВЕТ №1
Обратитесь к врачу для точной диагностики. Если у вас есть подозрения на кисты в печени, важно пройти медицинское обследование, включая УЗИ или КТ, чтобы определить их размер и тип, а также исключить другие заболевания.
СОВЕТ №2
Следите за своим питанием. Правильное питание может помочь поддерживать здоровье печени. Увеличьте потребление свежих овощей, фруктов и цельнозерновых продуктов, а также уменьшите количество жирной и жареной пищи.
СОВЕТ №3
Регулярно проходите медицинские осмотры. Если у вас уже была диагностирована киста на печени, важно регулярно проверяться у врача, чтобы отслеживать изменения в ее состоянии и избежать возможных осложнений.
СОВЕТ №4
Избегайте алкоголя и токсичных веществ. Употребление алкоголя и воздействие токсичных химикатов могут усугубить состояние печени, поэтому старайтесь минимизировать их влияние на ваш организм.





