Магнитно-резонансная томография (МРТ) — это сверхточный метод исследования органов и систем организма, практически не имеющий противопоказаний. Что показывает МРТ головного мозга? С ее помощью возможна послойная визуализация структуры органа, а также точная оценка качества нейронных мозговых импульсов.
МРТ мозга позволяет определить стабильность работы органа, выявить очаги воспалений и патологии, возникших в результате травм или болезней. Метод безболезненный и безопасный, его информативность и скорость проведения упрощает выявление и лечение ряда серьезных заболеваний.
Особенности процедуры
Что такое МРТ, и какова ее суть? Методика магнитно-резонансной томографии головного мозга основана на принципе воздействия электромагнитного поля на протоны водорода. Томограф создает магнитное поле, и оно воздействует на молекулы воды, которые есть в каждой клетке живого организма. Под действием электромагнитного поля протоны приходят в движение, что и регистрируется специальным приемником. Затем данные выводятся на экран монитора с помощью специальной программы, визуализируются.
Что показывает МРТ сосудов головного мозга? С ее помощью послойно изучается состояние органа, а минимальная толщина срезов в 3–4,5 мм позволяет увидеть малейшие изменения в его структуре. Современное оборудование выдает не только плоские, но и трехмерные изображения исследуемого отдела. Кроме того, во время диагностики можно получить максимально точные снимки мягких тканей, не затемненных костными образованиями черепа.
Магнитно-резонансная томография (МРТ) головы и сосудов головного мозга является важным инструментом в диагностике различных заболеваний. Врачи отмечают, что данное исследование позволяет получить детализированные изображения структур мозга, что помогает выявить опухоли, инсульты, а также дегенеративные изменения. МРТ также эффективно используется для оценки состояния сосудов, что критично при подозрении на атеросклероз или аневризмы. Специалисты подчеркивают, что благодаря высокому разрешению изображений, можно обнаружить даже небольшие патологии, которые могут быть упущены при других методах визуализации. Кроме того, отсутствие ионизирующего излучения делает МРТ безопасным для пациентов, что особенно важно при необходимости многократных исследований. Врачи рекомендуют проводить МРТ при наличии симптомов, таких как головные боли, нарушения координации или изменения в зрении, чтобы своевременно диагностировать и начать лечение.

Виды МРТ мозга
По способу диагностики есть несколько видов МРТ головы:
- обследование без контрастирования;
- диагностика с контрастированием;
- магнитно-резонансная томография в ангиорежиме.
Какой вариант лучше? Это решает лечащий врач, так как к каждому из них имеются четкие медицинские показания.
Какие процессы происходят в черепной коробке, покажет МРТ головного мозга без контрастирования — обзорная томография. Она поможет определить и предупредить такие серьезные проблемы, как кровоизлияние в мозге, инфаркт и инсульт. Диагностика может показать, есть ли аневризма или опухоль в тканях, и подробно описать последствия травм и причину частых мигреней.
В некоторых случаях необходимо точно диагностировать наличие или отсутствие опухолей и метастазов в тканях мозга. Чтобы повысить эффективность обследования, назначают МРТ головного мозга с контрастированием. Перед сеансом пациенту вводят в вену нетоксичное вещество, оно проникает во все сосуды, включая те, которые пронизывают мозг. Накапливаясь в мозговой ткани, оно в разы улучшает визуализацию, так как его цвет контрастирует с живыми тканями. Участки же, где есть опухоль и метастазы, наполняются кровью и отчетливо видны на экране томографа.
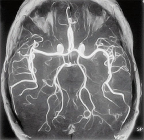
Что покажет томограмма в ангиорежиме? С ее помощью врач оценивает состояние кровеносных сосудов в головном мозге и области шеи. Обследование помогает выявить причины головных болей, локализацию артериальных стенозов, сосудистых мальформаций и аневризм. С его помощью на ранних стадиях диагностируют инсульты и другие серьезные болезни мозга.
МРТ артерий головного мозга и шеи безопасна, неинвазивна, после нее нет необходимости в длительной реабилитации пациента.
Показания к МРТ головы
Что показывают результаты МРТ головного мозга, и в каких случаях необходимо это обследование? Диагностика помогает выявить различные заболевания центральной нервной системы. Ее назначают при:
- травмах черепа и мозга;
- эпилепсии, нейродегенеративных патологиях;
- опухолях в гипофизе и мостомозжечковом узле;
- инсультах, инфарктах;
- пред- и послеинфарктных состояниях и инсультах;
- подозрениях на опухоли мозга или сосудистую патологию органа;
- угрозе мозгового кровоизлияния;
- речевых нарушениях;
- рассеянном склерозе и ишемии;
- нарушенных функциях слуха и зрения;
- болях в области затылка и шеи;
- воспалении во внутреннем ухе;
- снижении чувствительности мышц и эпителия лица и прочее.
Обзорную МР-томографию проводят при регулярных приступах мигрени, нарушенной координации, спутанности сознания. Она помогает точно диагностировать наличие очагов патологии даже в случаях, когда другие способы диагностики не принесли результата.
Учитывая, что показывает МРТ головного мозга, это обследование назначают довольно часто. Процедура настолько безвредна, что ее назначают даже лицам юного возраста. Она необходима, если у ребенка наблюдается задержка речевого и психического развития, бывают обмороки и судороги, особенно на фоне ухудшения слуха и зрения.
МРТ головного мозга и сосудов головного мозга позволяет получить трехмерную картину всей системы кровообращения головы. Она показывает тончайшие срезы сосудистых стенок и позволяет на ранних стадиях выявить тромбоз вен и другие серьезные сосудистые патологии. Диагностику назначают при:
- воспалении стенок сосудов или геморрагическом васкулите;
- приступах мигрени и высоком внутричерепном давлении;
- подозрении на синдром Такаясу (воспаление аорты неизвестной этиологии);
- пороках развития сосудов и аневризме;
- недостаточности сосудов головного мозга;
- атеросклерозе;
- инсультах, инфарктах и т. д.
Стоит отметить, что обзорную МРТ назначают для определения возможных патологий. Сосудистый анализ и диагностика с контрастированием позволяют выявить узконаправленную патологию. Их проводят при наличии букета симптомов для более конкретной установки диагноза.
Магнитно-резонансная томография (МРТ) головы и сосудов головного мозга является важным инструментом в диагностике различных заболеваний. Люди часто отмечают, что процедура безболезненная и не требует специальной подготовки, что делает её доступной для большинства пациентов. МРТ позволяет выявить такие состояния, как опухоли, инсульты, аневризмы и другие патологии сосудов.
Пациенты также ценят возможность получения детализированных изображений, что помогает врачам точно ставить диагноз и планировать лечение. Важно отметить, что МРТ не использует ионизирующее излучение, что делает её более безопасной по сравнению с рентгеном или КТ. Однако некоторые люди выражают беспокойство по поводу длительности процедуры и необходимости находиться в замкнутом пространстве. В целом, МРТ головы и сосудов является высокоинформативным методом, который играет ключевую роль в современной медицине.

Как проводится диагностика
Перед прохождением общей диагностики или МРТ мозга в сосудистом режиме пациенту разрешено вести привычный образ жизни. Непосредственно перед процедурой врачу сообщают обо всех перенесенных болезнях и операциях. Пациент обязан сказать о наличии протезов, металлических скоб, пластин и искусственных клапанов сердца, а женщины обязаны предупредить о возможной беременности.
Сколько длится диагностика МРТ? В среднем этот процесс продолжается около часа. Все зависит от того, что показывает текущая МРТ головного мозга и как себя чувствует пациент во время процедуры. В редких случаях процессу может помешать приступ клаустрофобии, возникающий у обследуемого. Если предупредить врача о возможных проблемах, он назначит перед процедурой прием успокоительных лекарств.
Во время диагностирования из карманов одежды и с тела пациента убирают все лишнее: заколки, булавки и пирсинг, съемные зубные протезы и слуховые аппараты, часы и ювелирные украшения. Интересен факт, что изображение лица могут исказить брекеты и пломбы пациента, хотя сами по себе они не влияют на томограф и результаты обследования.
Ход МРТ-диагностики в общих чертах выглядит так:
- Пациента укладывают на подвижный стол, затем его тело фиксируют с помощью валиков и ремней.
- Вокруг головы пациента располагают аппаратуру с проводами, посредством которой и осуществляется подача и прием радиоволновых импульсов.
- Во время диагностики человек находится один в кабинете, но врач-радиолог слышит и видит его и контролирует все, что происходит вокруг.
- Чтобы обеспечить обследуемому максимальный комфорт и оградить от гудения и стуков аппарата МРТ, врач выдает ему беруши или наушники.
- Снизить волнение помогает то, что во время обследования разрешено присутствовать родственникам или друзьям пациента. Также для создания спокойной расслабляющей атмосферы разрешается включать релаксирующую музыку.
Врач-диагност контролирует ход обследования до мельчайших шагов. Если необходимо, то во время диагностики он меняет частоты радиоволн, корректирует количество и качество снимков, а также переносит их на флеш-накопитель и другие носители.
По окончании процедуры радиолог анализирует полученные фото, интегрирует результаты и направляет их лечащему врачу. Если результаты обследований требуют уточнения, врач может назначить повторную томограмму. Это безопасно для человека и не наносит вреда организму.
Есть ли противопоказания?
Несмотря на отсутствие строгих запретов, метод МРТ-диагностики, показанный при ряде патологий мозга, имеет некоторые противопоказания. Его не проводят, если:
- В суставах, костях или мягких тканях пациента, например, в мозге, полости черепа или глазницах, есть инородные импланты из ферромагнетиков. Во время диагностики они нагреваются, смещаются и могут повредить близлежащие ткани и кости. Кроме того, они могут создать на МРТ-снимках «артефакты», искажающие результаты обследования.
- У больного установлен прибор регистрации ритмов сердечных сокращений или другое электронное приспособление.
- Если назначается МРТ с контрастированием, а у обследуемого есть аллергия на контрастное вещество.
- Когда женщина беременна и не закончился первый триместр вынашивания.
В редких случаях диагностику отменяют, если вес пациента больше 120 кг, а окружность самого широкого участка туловища больше 1,5 м. Тогда используют томографы открытого типа, но они дают низкокачественные снимки, что усложняет постановку правильного диагноза.
В исключительных случаях обследование отменяют, если человек перевозбужден и его тело невозможно зафиксировать. Также МРТ теряет актуальность, если пациент с тяжелыми патологиями подключен к аппаратам для поддержания жизнедеятельности.
МРТ — уникальная методика, позволяющая проводить диагностику, даже если все остальные способы противопоказаны или не дали результата. Она проста, эффективна и позволяет получить точную картину происходящего даже в тех случаях, когда другие методы постановки диагноза неинформативны.

Вопрос-ответ
Какие диагнозы может показать МРТ головного мозга?
Магнитно-резонансная томография головного мозга — это метод диагностики сосудистых заболеваний, в том числе нарушений мозгового кровообращения, а также причин головных болей, головокружений и т. Д. Во время проведения исследования не используется рентгеновское излучение.
Какие болезни видно на МРТ головного мозга?
МРТ поможет определить расположение тромба, объем поражения головного мозга. Самое главное – МР-томография головного мозга позволяет отличить ишемический инсульт от геморрагического, что значительно влияет на тактику лечения и может спасти пациента от тяжелых последствий и гибели, энцефалит, менингит.
Что выявляет МРТ артерий головного мозга?
МРТ вен и артерий головного мозга может диагностировать ишемический и геморрагический инсульты: в первом случае патологические изменения видны почти сразу после приступа, во втором — в отдаленном периоде. Для повышения информативности процедуры иногда проводится сканирование с контрастом.
Что нельзя увидеть на МРТ головного мозга?
Наличие металлических элементов в исследуемой области (протезы, клипсы, осколки). Неадекватное поведение пациента (паническая атака, психомоторное возбуждение). Состояние наркотического или алкогольного опьянения. Невозможность сохранять неподвижность в течение исследования (например, вследствие сильной боли).
Советы
СОВЕТ №1
Перед проведением МРТ головы и сосудов головного мозга обязательно проконсультируйтесь с врачом. Он поможет определить необходимость исследования и объяснит, какие именно проблемы могут быть выявлены с помощью данной процедуры.
СОВЕТ №2
Убедитесь, что у вас нет противопоказаний к проведению МРТ, таких как наличие металлических имплантатов или кардиостимуляторов. Если у вас есть сомнения, обсудите их с медицинским персоналом перед обследованием.
СОВЕТ №3
Перед процедурой постарайтесь расслабиться и не переживать. МРТ может занять от 20 до 60 минут, и важно оставаться неподвижным, чтобы получить качественные изображения. Если у вас есть проблемы с клаустрофобией, сообщите об этом врачу заранее.
СОВЕТ №4
После получения результатов МРТ обязательно обсудите их с вашим врачом. Он поможет вам правильно интерпретировать данные и предложит дальнейшие шаги в случае выявления каких-либо отклонений.




