Всё о поражениях сонных артерий
Обезопасить себя от инсульта не так уж трудно. Нужно просто уделять внимание этой проблеме, пока она не встала перед Вами в полный рост. Правильный выбор – это регулярные диагностические мероприятия. Ведь своевременное выявление сужения (стеноза) сонной артерии – это залог успешного лечения. Любой путь, даже самый долгий, начинается с первого шага. И первым шагом в профилактике инсульта должно стать эффективное обследование сосудов головного мозга и сонной артерии.
Среди множества современных диагностических методов для исследования можно выделить три основных:
- Ультразвуковые методы исследования (УЗИ);
- Мультиспиральная Компьютерная Томография с контрастным усилением (МСКТ-ангиография);
- Ангиография или Цифровая Субтракционная Ангиография (ЦСА).
Помимо этих методов, наиболее интересна методика оценки адекватности кровоснабжения мозга – однофотонная эмиссионная компьютерная томография (ОФЭКТ)
Врачи подчеркивают важность качественного обследования сосудов головного мозга для своевременной диагностики и предотвращения серьезных заболеваний. Современные методы, такие как магнитно-резонансная ангиография и ультразвуковое дуплексное сканирование, позволяют получить детальную информацию о состоянии сосудов, выявить атеросклероз, стеноз или аневризмы. Специалисты отмечают, что раннее выявление патологий сосудов может значительно повысить шансы на успешное лечение и снизить риск инсульта. Регулярные обследования особенно рекомендованы пациентам с факторами риска, такими как гипертония, диабет или наследственная предрасположенность. Врачи призывают не игнорировать симптомы, такие как головные боли или головокружение, и обращаться за медицинской помощью для проведения качественной диагностики.

Ультразвуковые методы исследования (УЗИ)
С помощью высокочастотных ультразвуковых волн можно выявить наличие атеросклеротической бляшки в артерии, приблизительно оценив расположение и размеры бляшки. Случается, что стенозы сонных артерий выявляются случайно, когда УЗИ назначается в связи с обследованием по другому поводу (головная боль, внезапные потери сознания, обморочные состояния и др.). Ультразвуковое обследование сосудов мозга может проводиться тремя методами:
- ультразвуковая допплерография;
- ультразвуковое дуплексное сканирование;
- цветовое допплеровское сканирование.
Ультразвуковая допплерография (УЗДГ)
Данное обследование сосудов головы является достаточно недорогим, простым в выполнении и при этом информативным методом обнаружения различного рода нарушений. В его пользу говорит и тот факт, что необходимые УЗИ-аппараты имеются во многих поликлиниках нашей страны. Но так как сегодня на вооружении у врачей есть более эффективная диагностическая техника, ультразвуковая допплерография используется не так часто, как раньше.
На проведение УЗГД, как правило, требуется совсем немного времени – порядка 20 минут. При этом можно получить информацию о скорости и направлении кровотока по исследуемому участку сосуда, а также об объеме движущейся крови. Это позволяет выявить нарушения кровообращения и оценить состояние сосудистой стенки, обнаружить стеноз или закупорку сосудов.
Обследование сосудов головного мозга вызывает у людей разнообразные мнения и эмоции. Многие отмечают, что это исследование стало для них настоящим открытием, позволяющим выявить скрытые проблемы, которые могли бы привести к серьезным заболеваниям. Пациенты подчеркивают важность ранней диагностики, особенно в свете увеличения случаев инсульта и других сосудистых заболеваний.
Некоторые делятся положительным опытом прохождения процедуры, отмечая высокий уровень профессионализма врачей и современное оборудование, которое делает обследование максимально комфортным и безопасным. Люди также отмечают, что результаты обследования помогают не только в диагностике, но и в выборе правильной стратегии лечения.
В то же время, есть и те, кто испытывает страх перед процедурой, опасаясь возможных негативных последствий. Однако большинство пациентов, прошедших обследование, уверены, что лучше пройти эту процедуру и быть спокойным за свое здоровье, чем игнорировать потенциальные риски. В целом, обследование сосудов головного мозга воспринимается как важный шаг к сохранению здоровья и активной жизни.

Ультразвуковое дуплексное сканирование (УЗДС)
Эта методика считается наиболее современной и максимально информативной с точки зрения диагностирования различных нарушений кровотока. УЗДС включает в себя две методики оценки состояния сосудов в режиме реального времени:
Процедуру в обязательном порядке назначают всем пациентам, страдающим поражением сонной и других артерий, вен, а также иными сосудистыми патологиями. Обследование занимает порядка 20-25 мин. может быть назначено больным независимо от возраста и является полностью безопасным, а потому может проводиться столько раз, сколько это необходимо.
Схема выполнения ультразвукового обследования сонных артерий
Дуплексное сканирование с цветовым картированием (Цветовое дуплексное сканирования, ЦСД)
Этот вид обследования сосудов головного мозга относится к ультразвуковым технологиям 3-го поколения. В отличие от УЗДС, методика дает возможность вывести на монитор цветное, а не черно-белое изображение, что существенно облегчает диагностику. По времени ЦСД занимает не более 45 мин.
Если с помощью ультразвукового исследования было выявлено наличие атеросклеротической бляшки в сонной артерии, а степень сужения просвета артерий составляет более 50%, врач назначает следующее, более детальное и точное обследование, чтобы определить тактику Вашего лечения.

Мультиспиральная Компьютерная Томография с контрастным усилением (МСКТ-ангиография)
На сегодняшний день это одна из наиболее распространенных методики оценки состояния внутренних органов посредством лучевой диагностики. Процедура заключается во введении контрастного вещества в локтевую вену через автоматический шприц. Благодаря МСКТ-ангиографии всего за 5-10 мин. доктор сможет с высочайшей точностью определить наличие тех или иных заболеваний сосудистой системы – артериального расширения (аневризмы), стеноза (сужения), окклюзии (полной закупорки). Кроме того, обнаружит сосудистую опухоль, аномалию строения сосуда и так далее.
Минимальное количество времени, требуемого для проведения диагностики, существенно снижает лучевую нагрузку на больного. МСКТ-ангиография является информативной и точной методикой, позволяющей получить трехмерное изображение тканей и органов с высокой степенью разрешения.
Так выглядит компьютерный томограф
Единственным недостатком метода является статичность, т.е. невозможно получить изображение в режиме реального времени. При этом нельзя увидеть процесс кровенаполнения сосуда и оценить, в каком направлении движется кровь
Сонные артерии на компьютерном томографе в режиме 3D-реконструкции
Здоровая сонная артерия на МСКТ
Пораженная сонная артерия на МСКТ
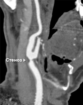
Цифровая Субтракционная Ангиография
Ангиография — это метод исследования кровеносных сосудов различных органов (мозга, сердца, лёгких, почек и др.) с введением в них контрастного вещества. Эти безвредные для организма специальные вещества позволяют увидеть сосуды под рентгеном. Данный метод обследования существует уже более 80 лет и при этом до сих пор остается «золотым стандартом» в диагностике поражений сосудов. Ангиография позволяет ответить на все вопросы, относящиеся к поражению артерий. Единственный «минус» исследования — необходимость пункции (прокола) артерии. Как правило, для диагностики состояния сосудов шеи, в том числе сонных артерий, выполняется пункция либо лучевой артерии на правом запястье, либо общей бедренной артерии в зоне паховой складки. Первый способ более комфортен для пациента, т.к. не ограничивает его в движениях по палате или больнице, в то время как после пункции бедренной артерии требуется строгий постельный режим в течение не менее 6 часов для профилактики кровотечения.
Сужение (стеноз) в сонной артерии, образовавшееся за счет атеросклеротической бляшки. Вид при ангиографии
За четыре часа до ангиографии нельзя принимать пищу. Пациент укладывается на ангиографический стол. В артерию под местным обезболиванием вводится специальный катетер, через который вводиться контрастное вещество. Все действия внутри сосуда контролируются с помощью рентгенотелевидения. Врач в режиме реального времени отслеживает прохождение окрашенной контрастным веществом крови по артерии и выявляет возможные проблемы, связанные с состоянием сосудов. Это позволяет поставить самый точный диагноз, так как катетер подводится врачом непосредственно к интересующей артерии.
Катетеризационная лаборатория для проведения ангиографии
Значимое сужение артерии — сужение, которое существенно снижает уровень кровотока. Как правило, это сужение более 70–75% от общего диаметра артерии. При этом врач должен также учитывать и структуру самой атеросклеротической бляшки, которая может не приводить к значимому сужению, но быть опасной в плане миграции своих частиц в сосуды головного мозга.
Однофотонная Эмиссионная Компьютерная Томография (ОФЭКТ)
Этот современный метод функциональной нейровизуализации отличается высоким уровнем информативности при диагностике целого ряда неврологических заболеваний. В случае атеросклероза сонной артерии благодаря трехмерному изображению метаболического статуса тканей и перфузии можно установить, насколько нарушено кровоснабжение головного мозга. Полученные данные позволяют дополнить информацию о структурно-морфологических изменениях в тканях, полученную методами КТ и/или МРТ
Карта ОФЭКТ у пациента, перенесшего инсульт
(желтым и зеленым цветами обозначены участки мозга, которые не получают кровь в полном объеме из-за сужения внутренней сонной артерии)
Карта ОФЭКТ у этого же пациента, спустя 6 месяцев после стентирования суженной внутренней сонной артерии.
Детальное обследование Ваших сосудов с использованием новейших и самых эффективных на сегодняшний день методов диагностики позволит врачу поставить Вам точный диагноз. В случае необходимости будут немедленно назначены оптимальные лечебные мероприятия для профилактики развития инсульта головного мозга.
Вопрос-ответ
Что лучше УЗИ или допплерография?
УЗИ и УЗДГ проводятся на одном и том же аппарате, но в отличие от УЗИ допплерография позволяет обнаружить более специфические нарушения, благодаря тому, что ультразвук проникает через неподвижные ткани, но отражается от структур, которые находятся в движении.
Что лучше сделать МРТ или УЗИ головного мозга?
МРТ дает более информативные результаты и может визуализировать даже самую мелкую патологию головного мозга или сосудов. Приоритетным методом обследования головного мозга у взрослых пациентов всегда будет МРТ головного мозга. Она в разы более точная и информативная по сравнению с ультразвуком.
В чем разница между допплерографией и ультразвуковым исследованием сосудов?
Сосудистое УЗИ обеспечивает получение изображений вен и артерий тела. Допплеровское ультразвуковое исследование обычно является частью сосудистого ультразвукового исследования . Допплеровское ультразвуковое исследование — это специальная ультразвуковая техника, которая оценивает движение материалов в организме.
Что покажет доплер головы и шеи?
Допплерография сосудов головы и шеи с высокой точностью оценивает проходимость крупных артерий и вен. Она показывает их структуру при атеросклерозе, остеохондрозе, помогает выявить причину перепадов артериального давления, энцефалопатии, частых головокружений или потери сознания.
Советы
СОВЕТ №1
Перед обследованием сосудов головного мозга обязательно проконсультируйтесь с врачом. Он поможет определить, какие именно исследования вам нужны, исходя из ваших симптомов и медицинской истории.
СОВЕТ №2
Обратите внимание на выбор клиники или медицинского центра. Убедитесь, что учреждение имеет современное оборудование и квалифицированных специалистов, чтобы гарантировать высокое качество обследования.
СОВЕТ №3
Не забывайте о подготовке к обследованию. Некоторые методы могут требовать предварительной подготовки, такой как отказ от пищи или жидкости. Уточните все детали у врача заранее.
СОВЕТ №4
После получения результатов обследования обязательно обсудите их с врачом. Он поможет вам правильно интерпретировать данные и предложит дальнейшие шаги для поддержания здоровья сосудов головного мозга.






