Из этой статьи Вы узнаете:
- неприятный запах изо рта – причины, лечение,
- как избавиться от неприятного запаха изо рта,
- средство, лекарство от запаха изо рта в домашних условиях.
Неприятный запах изо рта является симптомом ряда заболеваний и связан с жизнедеятельностью патогенных микроорганизмов (бактерий). Плохой запах изо рта имеет профессиональное название «Галитоз». Ниже мы расскажем о том, почему пахнет изо рта, и как специалисты проводят лечение галитоза.
Неприятный запах изо рта у ребенка имеет такие же причины, как и у взрослых, поэтому все сказанное ниже будет в равной мере относиться и к детям. Запах изо рта у грудничка – это тоже следствие недостаточной гигиены полости рта вместе с неправильным режимом кормления (по первому требованию).
Плохой запах изо рта: причины
Причины неприятного запаха изо рта наиболее часто связаны с невылеченными заболеваниями зубов и десен, а также хроническими заболеваниями миндалин и желудочно-кишечного тракта. Ниже мы рассмотрим все основные причины, а также расскажем, как убрать запах изо рта в каждом конкретном случае:
Неприятный запах изо рта, или халитоз, является распространенной проблемой, с которой сталкиваются многие люди. Врачи подчеркивают, что основными причинами могут быть недостаточная гигиена полости рта, заболевания десен, кариес и даже некоторые заболевания внутренних органов. Специалисты рекомендуют уделять внимание регулярной чистке зубов, языка и использования зубной нити. Также важно посещать стоматолога не реже двух раз в год для профессиональной чистки и диагностики возможных заболеваний. В некоторых случаях причиной запаха могут быть проблемы с пищеварением, поэтому при стойком халитозе стоит обратиться к гастроэнтерологу. Врачи советуют также следить за режимом питья, так как недостаток жидкости может способствовать сухости во рту и усилению запаха. Правильное питание, включающее свежие фрукты и овощи, может помочь улучшить состояние полости рта и снизить неприятные ощущения.

1. Мягкий микробный налет и твердые зубные отложения –
Зубные отложения – это наиболее частая причина запаха изо рта. При недостаточной гигиене в области шеек зубов часто можно заметить скопления мягкого микробного зубного налета (рис.1), которые видны не вооруженным глазом. Такой зубной налет образуется очень быстро, достаточно 1 раз пропустить чистку зубов.
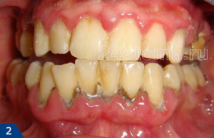
Если мягкий налет вовремя не удаляется с зубов, то он минерализуется солями кальция, содержащимися в слюне, и в результате превращается в твердые зубные отложения – их еще называют зубным камнем (рис.2-3). Твердые зубные отложения могут быть как наддесневыми (в этом случае их хорошо видно над поверхностью десны), и поддесневыми – в этом случае они расположены под десной и их может обнаружить только стоматолог.
И мягкие, и твердые зубные отложения состоят из колоний микроорганизмов, вырабатывающих продукты жизнедеятельности (сероводородистые соединения). Соответственно, при их наличии в полости рта – во рту всегда будет неприятный привкус, а при разговоре и дыхании будет ужасный запах изо рта. В силу привыкания человек может не замечать исходящего от него (при разговоре или дыхании через рот) неприятного запаха, однако другие люди всегда будут его чувствовать.
Как убрать неприятный запах изо рта в этом случае –
необходимо удалить твердые над- и поддесневые зубные отложения. Сделать это можно только у стоматолога. Существует два основных метода профессиональной гигиены полости рта у стоматолога:
Чистка зубов от налета и камня (фото До и После) –
2. Воспалительные заболевания десен –
Если у вас есть симптомы кровоточивости десен, болезненности при чистке зубов, отечность десневых сосочков, синюшность или покраснение краевой части десны, то такие симптомы говорят о наличии у вас гингивита (рис.5-6). Это заболевание всегда присутствует у людей с недостаточной гигиеной полости рта.
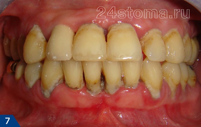
Если же кроме этих симптомов вас беспокоит подвижность зубов, гноетечение из под десны, оголение шеек зубов, то такие симптомы характерны для воспаления десен называемого пародонтитом (рис.7). Это заболевание является следствием вовремя не вылеченного гингивита, и характеризуется разрушением кости вокруг зубов, разрушением их прикрепления к десне и появлением со временем их подвижности.
Изначально причиной этих заболеваний является плохая гигиена полости рта, приводящая к скоплению на зубах мягкого микробного зубного налета и твердого зубного камня. С развитием воспаления десны – резко повышается количество патогенных микроорганизмов и выделяемых ими продуктов жизнедеятельности, что еще больше увеличивает неприятный запах. При пародонтите из под десны может выделяется серозно-гнойный экссудат, который вносит свой весомый вклад в появление неприятного запаха изо рта.
Как убрать неприятный запах изо рта, если у вас воспаление десен –
прежде всего нужно удалить причину воспаления десен – мягкий микробный зубной налет и твердые зубные отложения. Мы уже сказали выше, что сделать это можно при помощи ультразвука на приеме у стоматолога. Каких-либо домашних/ народных средств тут просто не существует.
После того, как врач вам снял зубные отложения – назначается противовоспалительная терапия (курс лечения 10 дней). Обычно комплекс состоит из средства для антисептических полосканий (0,05% раствор хлоргексидина) и противовоспалительного геля для десен (например, ХолисалГель). Проводить такое лечение можно и дома, но оно будет эффективно, только если стоматолог предварительно снял с ваших зубов все зубные отложения и научил правильно чистить зубы.
Неприятный запах изо рта — это проблема, с которой сталкиваются многие люди. Часто причиной является недостаточная гигиена полости рта, накопление бактерий на языке и зубах. Однако, иногда запах может свидетельствовать о более серьезных заболеваниях, таких как кариес, гингивит или проблемы с желудочно-кишечным трактом. Чтобы справиться с этой неприятностью, важно регулярно чистить зубы и использовать зубную нить. Полоскания антисептическими растворами также могут помочь. Не стоит забывать о регулярных визитах к стоматологу, который сможет выявить и устранить возможные причины. Кроме того, стоит обратить внимание на диету: некоторые продукты, такие как лук и чеснок, могут усиливать запах. Употребление достаточного количества воды и свежих фруктов поможет поддерживать дыхание свежим.

3. Пищевые остатки между зубами –
Наиболее часто гнилостный запах изо рта связан с неудовлетворительной гигиеной полости рта, например, когда человек не пользуется зубной нитью, чтобы прочистить межзубные промежутки от остатков пищи. Наверняка многие из вас чувствовали вонь изо рта у сослуживцев, которые перекусили на работе, но не почистили зубы.
Пищевые остатки между зубами невозможно удалить щеткой, жевательной резинкой или при помощи полоскания. Фрагменты пищи в межзубных промежутках тут же заселяются микроорганизмами, которые начинают пищу переваривать (т.е. происходит процесс гниения). Как следствие – неприятный запах.
Как избавиться от запаха изо рта, если страдает гигиена –
просто необходимо нормализовать гигиену полости рта. После каждого приема пищи необходимо очистить межзубные промежутки при помощи зубной нити. После того, как вы воспользовались зубной нитью – необходимо почистить зубы щеткой и пастой. Но если вы на работе или в гостях, то после зубной нити можно пожевать жевательную резинку в течение 10 минут.
Помните, что жевательная резинка без использования зубной нити – малоэффективна. Кроме того, зубы нужно чистить впервые 10 минут после еды, не позже. Также необходимо избегать перекусываний (перекусили – значит нужно почистить зубы), и употребления сладких напитков между основными приемами пищи.
Лучшее средство от запаха изо рта – это вылеченные зубы. А хорошая гигиена полости рта – это лучший пример того, как устранить запах изо рта в домашних условиях. О том как правильно чистить зубы вы можете прочитать в нашей статье:
→ Профилактика заболеваний зубов и десен
4. Кариозные дефекты зубов –
Кариозные дефекты заселены большим количеством патогенной микрофлоры, и
кроме этого в них происходит задержка остатков пищи. Пища, ткани зуба гниют в этих условиях, что и вызывает сильный запах изо рта. Если у вас есть невылеченные зубы, то устранить запах изо рта можно, только если вы их вылечите.
Чаще всего кариес образуется в межзубных промежутках. т.е. именно там, где застревают пищевые остатки, если вы пользуетесь регулярно зубной нитью. Эти кариозные дефекты долгое время не видны, и обнаружить их может только стоматолог при внимательном осмотре зубов. Поэтому, если вы не видите кариеса на своих зубах – это совершенно не означает, что у вас его нет.
Имплантация зубов с немедленной нагрузкой постоянным протезом all-on-4all-on-6 all-on-4 all-on-6 новые зубы и улыбка сразу Smile-at-Once пожизненная гарантия на имплантацию подробнее о технологиях

5. Гниение зубов под коронками –
Многие люди жалуются на то, что из под конкретного зуба под коронкой идет неприятный запах. Это не что иное, как симптомы гниения зуба под коронкой. Причинами начала гниения чаще всего являются: плохое прилегание края коронки к зубу и неудовлетворительная гигиена полости рта.
Как удалить запах изо рта, если зуб гниет под коронкой –
необходимо снимать коронку (мостовидный протез), и если зуб возможно восстановить, то его восстанавливают пломбировочным материалом и изготавливают новую коронку. Если процесс разрушения зашел слишком далеко, то зуб может быть удален.
6. Хронический тонзиллит –
Плохо пахнет изо рта и у людей, имеющих хроническое воспалением миндалин. Если у человека слабый иммунитет или в полости рта очень много инфекции – периодическое острое воспаление миндалин при простуде может перейти в вялотекущую хроническую форму воспаления с периодическими обострениями. Очень часто плохой запах изо рта можно встретить именно у людей с таким вялотекущим хроническим воспалением миндалин, либо после фолликулярной ангины (при которой в ткани миндалин формируются микроабсцессы с гноем).
Неприятный запах изо рта: лечение при тонзиллите подразумевает, что сначала все равно нужно всю стоматогенную инфекцию, т.к. очень часто причиной тонзиллита является именно инфекция, находящаяся неподалеку (в кариозных зубах, воспаленных деснах, зубных отложениях).
Во-вторых необходимо пройти консультацию у Лор-врача, который в случае необходимости назначит вам лечение, физиопроцедуры, возможно иммуностимулирующую терапию. Последняя может быть весьма эффективной, если причиной тонзиллита является сниженный иммунитет и частые простудные заболевания.
7. Заболевания ЖКТ –
Речь идет о таких заболеваниях как гастрит, язвенная болезнь желудка и двенадцатиперстной кишки. В период обострения этих заболеваний изо рта может чувствоваться крайне неприятный гнилостный запах, причем сам человек его обычно не чувствует, а вот окружающие отнюдь.
Как устранить неприятный запах изо рта на фоне гастрита… –
тут однозначно необходимо лечение у гастроэнтеролога, в зависимости от локализации воспаления, повышенной или пониженной кислотности могут быть назначены совершенно разные группы препаратов.
8. Дисбактериоз полости рта –
При частом использовании зубных паст и ополаскивателей, содержащих антибиотики и антисептики (например, триклозан, хлоргексидин) – нарушается естественный баланс микрофлоры в полости рта. Во время использования таких средств запаха изо рта, конечно, не будет. Однако как только вы перестанете ими пользоваться – нарушение состава микрофлоры может проявиться появлением неприятного запаха. Помните, что зубными пастами и ополпскивателями с триклозаном или хлоргексидином нельзя пользоваться больше 3х недель.
Прежде чем лечить дисбактериоз полости рта нужно сначала проверить отсутствие твердых зубных отложений, кариеса, воспаления десен, миндалин, ЖКТ… Если все это отсутствует, а гигиена в норме, то остается предположить только наличие дисбактериоза. Баланс микрофлоры и местный иммунитет в полости рта поможет восстановить такой препарат как «Имудон». Он выпускается в виде таблеток для рассасывания.
9. Дыхание через рот –
Кстати, предрасполагающим фактором к появлению плохого запаха изо рта является ротовое дыхание. Дыхание через рот приводит к постоянному пересушиванию слизистой оболочки полости рта, более быстрому формированию зубных отложений на зубах, способствует развитию дизбактериоза. Все эти факторы способствуют появлению неприятного запаха.
Запах изо рта: как избавиться от дыхания через рот…
если же у вас ротовое дыхание, то вероятно нужно обратиться к Лор-врачу, который поможет вам исправить искривление носовой перегородки и вылечить застарелый ринит, которые и могут быть причинами ротового дыхания.
10. Заболевания легких –
В некоторых случаях неприятный запах изо рта связан с инфекционным либо онкологическим заболеванием легких. Это встречается не так часто, но для полноты картины мы включили и этот пункт.
Как избавиться от запаха изо рта в домашних условиях –
Запах изо рта по утрам не всегда является признаком различных заболеваний, т.к. за ночь количество микроорганизмов в полости рта значительно увеличивается. Однако, если у вас утром «кошка во рту сдохла», то это не нормально, и нужно искать причины… И это наверняка будет что-то из того, что мы перечислили выше.
Лечение в домашних условиях (полоскания, спрей от запаха изо рта) будет носить только маскирующий запах характер, т.к. не позволит удалить причину неприятного запаха. Можно сколь угодно долго травить организм зубными пастами и ополаскивателями для полости рта с антисептиками и антибиотиками, но длительное применение таких средств приведет только к прогрессированию причин неприятного запаха. Поэтому посещение стоматолога для установления причины запаха – обязательно.
Как устранить запах изо рта в домашних условиях: средства для гигиены
Очень эффективны будут средства для гигиены полости рта, содержащие цинк, т.к. цинк нейтрализует сероводородистые соединения, появление которых и приводит к неприятному запаху. Примеры средств с цинком –
- зубная паста Elmex «Aronal»,
- ополаскиватель с содержанием цинка «CB-12» (хотя он неприлично дорогой).
При ксеростомии, т.е. когда имеется сухость слизистой оболочки из-за недостатка слюны или ротового дыхания – применяются специальные зубные пасты, которые содержат компоненты, длительно увлажняющие слизистую оболочку полости рта. Примером может быть зубная паста LACALUT Flora.
Важно : большинство же других ополаскивателей и зубных паст, позиционирующихся в качестве средств от запаха содержат преимущественно только антисептики, которые подавляют развитие бактерий, выделяющих сероводородистые соединения. Сам же запах в таких средствах маскируют дезодорирующие добавки. При длительном использовании антисептики приводят к дисбактериозу полости рта и появлению еще более стойкого запаха после отмены таких средств. Именно поэтому такие средства не рекомендуют применять более 2-3х недель.
Наиболее эффективные и безопасные средства орт запаха будут содержать такие активные компоненты как фтор и цинк. Подробный разбор ополаскивателей от кариеса, при воспалении десен – читайте в нашей статье Рейтинг 2016 средств для полоскания полости рта .
Запах ацетона изо рта: причины
Запах ацетона изо рта является симптомом, который позволяет предположить у ребенка или у взрослого такое заболевание как сахарный диабет. Поэтому если Вы почувствовали такой запах у ребенка изо рта или у себя, то необходимо срочно обратиться к эндокринологу на консультацию.
Надеемся, что наша статья на тему: Запах изо рта что делать – оказалась Вам полезной!
Вопрос-ответ
Какие основные причины неприятного запаха изо рта?
Неприятный запах изо рта может быть вызван различными факторами, включая плохую гигиену полости рта, наличие зубного налета и кариеса, заболевания десен, а также проблемы с желудочно-кишечным трактом. Некоторые продукты питания, такие как чеснок и лук, а также курение, также могут способствовать появлению запаха.
Как можно улучшить гигиену полости рта для устранения запаха?
Для улучшения гигиены полости рта рекомендуется регулярно чистить зубы дважды в день с использованием зубной пасты, содержащей фтор, а также использовать зубную нить для удаления остатков пищи между зубами. Полоскание рта антисептическим раствором и регулярные визиты к стоматологу также помогут поддерживать свежесть дыхания.
Когда стоит обратиться к врачу по поводу неприятного запаха изо рта?
Если неприятный запах изо рта сохраняется, несмотря на соблюдение гигиенических мер, или если он сопровождается другими симптомами, такими как боль в зубах, воспаление десен или проблемы с пищеварением, стоит обратиться к стоматологу или врачу. Это может указывать на наличие более серьезных заболеваний, требующих медицинского вмешательства.
Советы
СОВЕТ №1
Регулярно чистите зубы и язык. Убедитесь, что вы чистите зубы не менее двух раз в день, а также не забывайте про язык, на котором могут скапливаться бактерии, вызывающие неприятный запах.
СОВЕТ №2
Используйте зубную нить. Она помогает удалить остатки пищи и налет между зубами, где зубная щетка может не достать. Это значительно снижает риск появления неприятного запаха.
СОВЕТ №3
Пейте достаточно воды. Обезвоживание может привести к снижению слюноотделения, что способствует размножению бактерий. Регулярное употребление воды помогает поддерживать гигиену полости рта и свежесть дыхания.
СОВЕТ №4
Посещайте стоматолога регулярно. Профессиональная чистка зубов и осмотр помогут выявить и устранить проблемы, которые могут быть причиной неприятного запаха, такие как кариес или заболевания десен.













