Особенности строения и расположение парных органов почек обуславливает сложную диагностику возможных отклонений. Выявить инородные образования, которые могут развиваться на протяжении жизни или из-за определенных перенесенных заболеваний, в случае с почками затруднено — из-за того, что почки расположены за брюшной полостью. Паренхиматозную кисту почки также практически невозможно заметить, в том числе на УЗИ, до тех пор, пока опухоль не укрупнится до определенных размеров. Паренхиматозная киста левой почки что это такое и чем отличается от опухоли на правой стороне? Этот вопрос интересует многих наших читателей, и далее мы ответим на него со всеми подробностями.
Определение паренхиматозной кисты правой почки
Паренхиматозная киста правой почки — что это такое? Паренхиматозная опухоль является подвидом доброкачественных опухолей, поражающих почки. Этот вид заболевания связан, как правило, с возрастными недугами и изменениями работы мочеполовой системы, поэтому регистрируется преимущественно у пожилых пациентов.
Статистические данные говорят о том, что паренхиматозная киста левой почки доброкачественного характера диагностируется у пациентов среднего и старшего пожилого возраста. После 50 лет наступает период повышенного риска развития данного вида кисты. Более 50% людей в этой возрастной категории являются пациентами с кистой левой почки в паренхиме. Больший процент из них составляют мужчины.
Точную причину этой половой градации медицина пока не может объяснить, как не может объяснить и точную причину развития данного вида кисты на почках. По данным проведенных исследований и диагностик можно сделать вывод, что паренхиматозная киста правой почки начинает развиваться в организме из-за гормональных сбоев и возрастных перепадов, а также из-за ослабления иммунной системы организма и износа органов. Однако с точностью это утверждать медики не берутся.
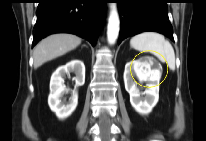
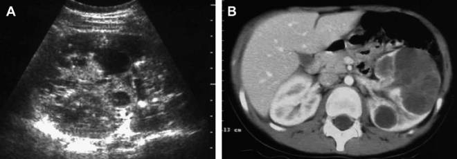
Паренхиматозная киста левой почки представляет собой доброкачественное образование, заполненное жидкостью, которое возникает в тканях почки. Врачи отмечают, что такие кисты могут быть бессимптомными и часто обнаруживаются случайно при ультразвуковом исследовании. Однако в некоторых случаях пациенты могут испытывать дискомфорт в области поясницы, а также боли, которые могут иррадиировать в бок или живот.
Специалисты подчеркивают, что важно различать простые кисты, которые, как правило, не требуют лечения, и сложные образования, которые могут потребовать дальнейшего обследования. Врачам важно проводить регулярный мониторинг состояния пациента, чтобы избежать возможных осложнений. В целом, при отсутствии симптомов паренхиматозные кисты не представляют серьезной угрозы для здоровья, но требуют внимательного отношения и контроля.

Паренхиматозная киста левой почки что это такое?
Почки представляют собой парные органы овальной формы, которые расположены вне зоны брюшной полости. Левая и правая почка прощупываются методом пальпации, если слегка нажать на зону под ребрами. Любые мутации и патогенные образования также можно обнаружить методом обследования этой зоны тела. Паренхиматозная киста левой почки что это такое? Почки отвечают за фильтрацию всех жидкостей в организме и транспортировку их через мочеточные каналы из организма.
Благодаря почкам из воды и других жидкостей, которые мы употребляем, отфильтровываются соли, камни, бактерии, токсины, инфекционные вкрапления и многое другое. На почках лежит ответственность за чистоту и эффективное выведения из организма всех лишних и инородных веществ. Киста паренхимы левой почки появляется на почках в том случае, если в процессе работы органов произошел сбой или они были подвержены скрытому заболеванию врожденного характера.
Паренхиматозная киста левой почки что это такое с точки зрения механизма развития?
С возрастом почки теряют часть здоровых тканей, становятся слабее и хуже фильтруют жидкость, легко подвергаются воспалительным процессам и инфекционным заболеваниям. Именно на ослабленных почках и начинают формироваться кисты паренхимы правой почки или левой стороны органа. Кисты представляют собой небольшие мешочки или капсулы из мягкой ткани, которые заполняют полости или поврежденные впадины на почках и формируются там, прикрепляясь каналами или жгутиками к здоровым частям органов.
Зрелые и пожилые люди больше всего подвержены интрапаренхиматозной кисте правой почки. поскольку почки в этом возрасте с большей вероятностью могут ослабнуть в результате воспалительных процессов, перенесенных недугов и повреждений. Медики считают, что больший процент кист данного типа спровоцированы генетическими заболеваниями, которые появляются еще в плаценте и протекают в скрытой форме на протяжении всей жизни. Интрапаренхиматозная киста левой почки может также иметь генетическое происхождение и появляться у людей с предрасположенностью к данному типу доброкачественных образований.
Симптомы при паренхиматозной кисте
Киста паренхиматозного типа протекает бессимптомно и даже в процессе увеличения в размерах практически никак не проявляется. Паренхиматозная киста почки что это такое с точки зрения симптомов? На запущенных стадиях роста и развития почечной кисты больной человек может ощущать тянущие боли в пояснице или внизу живота, а также общую слабость и дискомфорт в боку, где находится поврежденный орган. Однако все эти первичные симптомы люди с кистой часто принимают за возрастные изменения и последствия заболеваний органов тазового пояса: защемление седалищного нерва, усталость от физических нагрузок, воспаление мочеполовой системы, воспаление мочеточных каналов, межпозвоночную грыжу.
Несмотря на слабую симптоматику кисты паренхимы, определить ее наличие можно по следующим признакам:
- Боль локального характера. Болевые ощущения, покалывания или простреливающие боли в боку имеют, как правило, локальный характер и наблюдаются с левой или правой стороны, в зависимости от того, какая почка повреждена доброкачественной опухолью.
- Почечная гипертония. У больных с паренхиматозной кистой можно диагностировать так называемый синдром почечной гипертонии, когда при воспалениях или кистозных образованиях на почках у человека поднимается артериальное давление, наблюдается одышка или боли в сердце.
- Нарушение оттока мочи. При доброкачественном образовании на почках у больного человека может наблюдаться ухудшение оттока мочи, а также боли при мочеиспускании, покалывания в области мочевого пузыря, наличие крови или гнойных вкраплений в моче.
- Паренхиматозная опухоль больших размеров провоцирует тупые и тянущие боли в нижней части живота, которые вызваны преимущественно тем, что разросшаяся киста начинает придавливать и угнетать соседние органы брюшной полости, ухудшать их функционирование.
Наиболее явным признаком появления кисты большой величины является увеличение ее в размерах и возможность методом пальпации определить место поражения. Особенно большие поликистозные опухоли видны невооруженным взглядом, если больной не имеет лишнего веса.
Паренхиматозная киста левой почки — это доброкачественное образование, которое представляет собой заполненную жидкостью полость в почечной ткани. Часто такие кисты не проявляют себя и обнаруживаются случайно при ультразвуковом исследовании. Однако в некоторых случаях могут возникать симптомы, такие как боль в боку, дискомфорт в области почек или изменения в мочеиспускании. Люди, столкнувшиеся с этой проблемой, отмечают, что важно регулярно проходить обследования, чтобы контролировать размер кисты и исключить возможные осложнения. В редких случаях кисты могут вызывать воспаление или инфекцию, что требует медицинского вмешательства. В целом, большинство пациентов с паренхиматозными кистами живут нормальной жизнью, не испытывая значительных неудобств.

Нужно ли лечить паренхиматозную кисту?
Учитывая специфику развития и прогрессирования паренхиматозной опухоли, а также тот факт, что медицина не может дать четких ответов на вопрос о том, какие симптомы явно свидетельствуют о заболевании, киста может проявляться в разных формах и прогрессировать на протяжении многих лет. Медицине известны случаи, когда паренхиматозная киста развивалась на протяжении десятков лет жизни человека, начав увеличиваться и проявлять признаки своего патогенного вмешательства только тогда, когда больной человек достиг зрелого возраста.
Любой вид кист на почках не является хорошим признаком и требует внимания. Даже малейшие доброкачественные образования на почках могут со временем развиться в большие опухоли, провоцировать воспаления, нарушать работу внутренних органов и трансформироваться в злокачественные раковые образования. При незнании паренхиматозная киста левой почки что это такое, при задержке с лечением опухоль может разорваться.
Патологии развития паренхиматозной кисты
В процессе развития кисты паренхиматозного типа могут происходить патологические изменения и ухудшения протекания заболевания. Наиболее распространенными среди патологических нарушений принято считать:
- Увеличение количества кистозных тел на почке по мере ее роста и прикрепления к тканям органов. В редких запущенных случаях киста почек может увеличиваться в количестве и полностью покрывать тело органа кистозными опухолями. Со временем такая патология может спровоцировать воспаление тяжелого типа или привести к полной потери работоспособности органа.
- Патологией кисты почек принято считать ее аномальное увеличение в размерах. Медицине известны случаи, когда паренхиматозная киста достигала 10 и более сантиметров в диаметре. Паренхиматозная киста левой почки что это такое, когда опухоль увеличивается? При таких размерах киста гарантированно нарушает работу внутренних органов, приводит к воспалениям и инфекционным заболеваниям органов брюшной полости.
- Паренхиматозная киста почки может разрываться в процессе своего роста, что приводит к протеканию жидкости из тела опухоли в брюшную полость или в зону мочеточных каналов. При разрыве кисты больной человек испытывает сильные режущие боли внизу живота или в пояснице. Дополнительными признаками разрыва кисты служат приступы лихорадки, тошноты, расстройства желудка, повышение артериального давления.
- Киста паренхимы часто провоцирует развитие в мочеполовой системе опасных инфекций и воспалений. Симптоматика таких состояний неспецифична и может приводить к ошибочной диагностике заболевания и несвоевременному лечению истинного источника недуга.
- Патологические изменения в кисте паренхимы нередко вызывают сопутствующие воспаления и деформацию мочеточных каналов, мочевого пузыря или надпочечников. В связи с этим больной может испытывать существенные режущие боли при мочеиспускании, а также страдать от воспаления мочеточных каналов.
При выявлении малейших симптомов заболевания, а также при появлении признаков проблем с мочеполовой системой, больной обязан немедленно обратиться к доктору. Врач назначит необходимое обследование, УЗ-сканирование органов брюшной полости и определит оптимальное лечение кисты паренхимы правой почки или левой стороны органа.

Вопрос-ответ
Что такое паренхиматозная киста левой почки?
Паренхиматозная киста почки — доброкачественное образование, появившееся в толще паренхимы — важнейшем элементе почечной ткани, структуры которого участвуют в образовании мочи, обеспечении водно-электролитного баланса в организме, выводе токсинов, продуктов метаболизма и др.
Чем грозит киста левой почки?
Осложненная киста левой почки может стать причиной перитонита, сепсиса, при больших размерах — вызвать нарушение оттока желчи, непроходимость кишечника и т. Д.
Какие симптомы при кисте почки?
Именно поэтому при кистах почек появляются такие симптомы как колебания артериального давления, отеки, головные боли. Образования большого размера нарушают уродинамику, сокращают размер лоханки, приводят к сдавлению мочеточника. Из-за этого появляются учащенное позывы к мочеиспусканию.
Как беспокоит киста почки?
Признаки кисты почек В некоторых случаях возникают следующие симптомы кисты почки: тупая или ноющая боль внизу спины с левой стороны или справа, артериальная гипертензия (при образовании больших размеров), клиника воспалительного процесса (при осложненном течении болезни).
Советы
СОВЕТ №1
Если вы заметили симптомы, такие как боль в области поясницы, изменения в мочеиспускании или отеки, не откладывайте визит к врачу. Раннее обращение может помочь в диагностике и лечении паренхиматозной кисты.
СОВЕТ №2
Регулярно проходите медицинские обследования, особенно если у вас есть предрасположенность к заболеваниям почек. Ультразвуковое исследование может помочь выявить кисты на ранних стадиях.
СОВЕТ №3
Обратите внимание на свой образ жизни: соблюдайте режим питья, правильно питайтесь и избегайте избыточного потребления соли и белка. Это поможет поддерживать здоровье почек и снизить риск образования кист.
СОВЕТ №4
Если у вас уже диагностирована паренхиматозная киста, обсудите с врачом возможные методы наблюдения или лечения. Не пренебрегайте рекомендациями специалиста и следите за изменениями в состоянии здоровья.






