Перелом ребер — распространенный вид травмы грудной клетки, обусловленный нарушением целостности костной и/или хрящевой ткани ребер вследствие воздействия внешних факторов. У маленьких детей и подростков наблюдается крайне редко из-за высокой степени эластичности структур костей, которая с возрастом уменьшается, приводя к частым переломам у пожилых людей.
До 15% от общего числа переломов костей приходится на переломы ребер, которые нередко сочетаются с повреждениями разной степени органов грудной полости – легких и сердца.
Содержание
Односторонний перелом ребра грудной клетки без осложнений неопасен для здоровья в отличие от серьезных двухсторонних травм, сопровождающихся множественными переломами нескольких ребер с повреждением париентальной плевры, легких, крупных сосудов или структур сердца, приводящих к осложнениям, например дыхательной недостаточности.
На долю неосложненных переломов приходится примерно 40%. Осложненные составляют до 60% от общего числа случаев.
В травматологической практике часто диагностируются нарушения целостности IV–VII ребер, на которых в отличие от вышерасположенных нет массивного слоя грудных мышц, и которые менее эластичны относительно ребер, находящихся ниже. Нередки переломы в боковых отделах VIII–X ребер, расположенных в самой широкой части грудной клетки.
Врачи отмечают, что переломы ребер являются распространенной травмой, часто возникающей в результате падений или дорожно-транспортных происшествий. Основными симптомами являются острая боль в области грудной клетки, особенно при дыхании, кашле или движении, а также возможная одышка. В некоторых случаях может наблюдаться синяк или отек в месте травмы.
Лечение переломов ребер, как правило, консервативное. Врачи рекомендуют покой, применение ледяных компрессов для уменьшения отека и болеутоляющие препараты для облегчения боли. Важно избегать глубоких вдохов и кашля, чтобы не усугубить травму. В редких случаях, при наличии осложнений, может потребоваться хирургическое вмешательство. В целом, врачи подчеркивают, что восстановление занимает время, и важно следовать рекомендациям специалистов для полного выздоровления.

Этиология
Причины переломов делятся на два вида:
- Механические. Перелом возникает в ребрах с нормальным минеральным составом под воздействием внешней механической силы, значительно превосходящей прочность трубчатых костей, к которым относятся ребра.
- Патологические. Провоцируются незначительными воздействиями на ребра, функционально и структурно измененные вследствие различных болезней или патологических состояний, приводящих к снижению прочности костей.
Причины механических переломов ребер:
- падение с высоты;
- прямой удар в грудь тупым предметом;
- дорожно-транспортное происшествие;
- травмы при занятиях спортом;
- сдавление грудной клетки.
Переломы ребер — это распространенная травма, которая часто возникает в результате падений или ударов. Люди, столкнувшиеся с этой проблемой, отмечают сильную боль в области грудной клетки, особенно при вдохе или кашле. Многие описывают дискомфорт, который мешает обычной деятельности, и подчеркивают важность своевременной медицинской помощи. Лечение обычно включает в себя покой, применение ледяных компрессов и обезболивающих средств. Врач может рекомендовать специальные повязки, хотя в большинстве случаев они не обязательны, так как ребра заживают самостоятельно. Пациенты также советуют избегать физических нагрузок и следить за дыханием, чтобы предотвратить осложнения. В целом, восстановление занимает несколько недель, и многие отмечают, что с правильным подходом к лечению можно быстро вернуться к привычной жизни.

Заболевания, способствующие патологическим переломам ребер:
- ревматоидный артрит ;
- остеопороз ;
- туберкулез костей;
- болезни крови;
- злокачественные опухоли костного мозга и костной ткани;
- метастазы от злокачественного новообразования в кости;
- генетические аномалии развития костной системы;
- врожденное отсутствие грудины либо приобретенное нарушение ее целостности или полное ее отсутствие после хирургического вмешательства.
В детском возрасте костная система еще недостаточно сформирована, поэтому у детей до пубертатного периода переломы ребер редкость. У них значительная часть костей состоит из хрящевой ткани, с возрастом замещающейся костной. У людей преклонного возраста по ряду причин из костей вымывается кальций и они становятся хрупкими. Это приводит к переломам даже тогда, когда человек оступился при ходьбе либо при незначительном ударе по груди.
Классификация
Относительно этиологии переломы ребер бывают:
- Травматические. Когда на здоровую кость осуществляется непродолжительное, но мощное внешнее воздействие.
- Патологические. Когда структура кости нарушается на фоне течения основного заболевания. В этом случае перелом может быть случайным.
Градация переломов относительно механизма травмы:
- Прямые. Место излома локализуется в точке непосредственного воздействия травмирующего фактора.
- Непрямые. С угловым смещением обломков. При ударе по ребру ближе к позвоночному столбу возникает нарушение его целостности по типу сдвига со смещением периферического отломка внутрь, при этом основной – центральный – осколок остается на месте.
- Отрывные. Со значительным смещением обломка относительно ребра. Подобные травмы характерны для IX и нижерасположенных ребер.
Относительно повреждения кожных покровов:
- Закрытые: неполные; полные.
- Открытые: первичнооткрытые; вторичнооткрытые.
Различие переломов относительно характера повреждений:
В зависимости от характера излома:
- Вколоченные.
- Продольные.
- Поперечные.
- Компрессионные.
- Косые.
- Зубовидные и другие.
Относительно имеющихся осколков, их численности и размеров:
- однооскольчатые;
- многооскольчатые;
- мелкооскольчатые;
- среднеоскольчатые;
- крупнооскольчатые.
Виды смещений осколков:
Относительно пространственной ориентации обломков:
- По ширине, или вбок (боковые).
- По длине.
- По оси (угловые).
- По периферии.
Градация переломов ребер относительно клинического состояния:

Механизм травмы
Механизм возникновения травмы бывает:
- Прямой. Характеризуется повреждением ребер в точке локализации травмирующего воздействия. При этом ребро, прогибаясь в грудную полость, ломается и повреждает ткань легких либо только листки плевры. Количество переломов одного ребра, как и число переломанных ребер зависят от площади травмирующей поверхности и силы удара. Двойные (окончатые) переломы возникают от сильных механических воздействий и большой площади поверхности травмирующего фактора. В результате травмы формируется «окно» – сегмент каркаса, отделившийся от грудной клетки.
- Непрямой механизм травмирования подразумевает сильное сжатие клетки, итогом которого становится перелом ребер с боков от площади действия травмирующей силы. Такие травмы получаются при ДТП либо падении на человека тяжелого груза с широкой поверхностью, к примеру железобетонной плиты. Для такого характера переломов используется термин «раздавленная грудная клетка».
Множественные двухсторонние травмы ребер, как правило, осложняются разрывом трахеи, какой-либо доли легкого и т. д. Для жизни опасны флотирующие переломы, при которых образуется отдельный от каркаса грудной клетки сегмент. Во время вдоха он западает внутрь, на выдохе – выпячивается наружу, приводя к дыхательной недостаточности.
Парадоксальное дыхание появляется при окончатых множественных переломах. Флотация магистральных сосудов и сердца заканчивается развитием нарушений сердечной деятельности вплоть до сердечной недостаточности. Летальность при таком варианте даже при условии оказания помощи в современных медицинских клиниках доходит до 40%.
Повреждение легкого и плевры часто осложняется пневмотораксом и гемотораксом. Первый приводит к накоплению воздуха в плевральной полости, из-за чего ткань легкого спадается, альвеолы перестают функционировать, средостение смещается в сторону здорового легкого. В итоге возникает расстройство кровообращения и дыхания. При подкожной эмфиземе воздух попадает в подкожную клетчатку, где скапливается. При гемотораксе между внутренним и наружным листками плевры скапливается кровь, поступающая из раны и поврежденных межреберных и других сосудов.
Симптомы перелома ребер
Пострадавшего беспокоит резкая боль в районе ребер, которая усиливается во время разговора, дыхания, поворота туловища, кашля. Ее интенсивность снижается в покое, когда больной лежит или сидит без движений. В месте перелома наблюдаются кровоподтеки, отек тканей. При пальпации выявляется зона с резкой болезненностью, иногда хруст под пальцами, свидетельствующий об наличии костных отломков. Больной принимает положение тела, при котором боль становится минимальной.
При множественных переломах, особенно боковых либо передних отделов ребер, состояние пострадавшего ухудшается из-за нарастания нарушений легочной вентиляции. На фоне поверхностного дыхания учащается пульс, кожа становится бледной или синюшной. Человек старается максимально ограничить себя в движениях. Местно выявляется деформация грудной клетки, ссадины или открытые раны.
Признаки перелома ребра с развитием пневмоторакса – боль в груди от малейшего движения и одышка, при затрагивании ткани легкого присоединяется кровохарканье. На пораженной стороне дыхание не прослушивается. Крепитация воздуха при пальпации, напоминающая поскрипывание, свидетельствует о наличии подкожной эмфиземы.
Чем старше пациент, тем вероятнее присоединение разных осложнений, одно из которых посттравматическая пневмония, развивающаяся спустя несколько дней после травмы. Возможна застойная пневмония, проявляющаяся характерными симптомами: кашлем, повышением температуры, одышкой и т. д. При гемотораксе появляется холодный пот, бледность, цианоз, спутанность сознания, снижение артериального давления.
Первая помощь при переломе ребер
Порядок действий во время оказания первой помощи пострадавшему до приезда скорой помощи:
- Если человек в сознании, то посадить его. Как правило, он сам инстинктивно принимает максимально удобное положение – сидя или полусидя с опорой на спину. Оградить от разговоров и движений. Если пострадавший из-за сильной травматизации не может сидеть, то следует обеспечить ему полулежачее положение, положив под спину и голову валик, сформированный из одежды или подручных средств.
- Обеспечить доступ свежего воздуха. Для этого нужно расстегнуть воротник рубашки, предотвратить скопление большого количества народа около пострадавшего.
- Уменьшить боль, положив на место травмы (при отсутствии открытой раны) лед либо другой холодный предмет, оказавшийся под рукой. Можно дать какой-либо таблетированный обезболивающий или нестероидный противовоспалительный препарат, например ибупрофен, нимику, парацетамол, анальгин.
Медицинская помощь, оказываемая бригадой скорой помощи:
- Обезболивание пациента путем инъекционного введения наркотических или ненаркотических обезболивающих препаратов. В зависимости от состояния пострадавшего делают укол диклофенака, кеторолака, промедола, трамадола или морфина.
- Иммобилизация грудной клетки для исключения межреберной мускулатуры из акта дыхания. Давящая повязка при переломе ребер накладывается непосредственно на грудную клетку. Каждый тур бинта наматывается внахлест на выдохе.
- Транспортировка пострадавшего до машины, как и до больницы, осуществляется в сидячем, в крайнем случае в полулежачем, положении на носилках. В карете пациенту дают дышать увлажненным кислородом через маску. Возможна венепункция с целью установки «капельницы».
Диагностика при переломе ребер
Чаще выявление травмы грудного каркаса у находящего в сознании пациента не является проблемой. Аускультация и пальпация дают возможность предположить наличие перелома. Для подтверждения диагноза требуется ряд обследований.
- анализы мочи и крови;
- микробиологическое исследование плевральной жидкости.
Инструментальные методы диагностики:
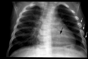
- обзорная рентгенография грудной клетки;
- рентгеноскопия легких;
- УЗИ плевральной полости;
- КТ и/или МРТ грудной клетки;
- плевральная пункция.
Лечение перелома ребер
Проводится отталкиваясь от степени травматизации, количества сломанных ребер, тяжести состояния больного и наличия осложнений. Лечение перелома ребра без осложнений проводится амбулаторно. Более тяжелые травмы требуют госпитализации в профильное отделение.
Схема лечения перелома ребер в травматологии:
- Обезболивание с помощью новокаиновой блокады или наркотических обезболивающих, используемых в крайнем случае и непродолжительное время.
- Гипсовая повязка – корсет.
- Круговая повязка из эластичных бинтов. Производится при плохой переносимости гипсового корсета.
- Иммобилизация осколков ребер специальными пластинами, которые помогают удерживать осколки в нужном положении. В этом случае требуется строгий постельный режим на время установки жесткого каркаса.
- Медикаментозная терапия состоит из курса НПВС или наркотических препаратов, принимаемых внутрь либо в виде инъекций. При присоединении инфекции – антибиотиков.
- Физиотерапия.
- Лечебная гимнастика.
Перечень дополнительных мероприятий, проводимых при осложненных переломах:
- Пункция плевральной полости при гемотораксе.
- Пункция или дренирование плевральной полости при пневмотораксе.
Операция может потребоваться в следующих случаях:
- Открытая рана.
- Повреждение крупных артерий и сосудов.
- Пневмоторакс.
- Гемоторакс.
- Разрыв трахеи, легкого, селезенки и т. д.
- Значительное смещение костных осколков.
Осложнения
- тампонада сердца;
- гемоторакс;
- обильные внешние и внутренние кровотечения;
- пневмоторакс;
- сердечная и дыхательная недостаточность;
- присоединение инфекционных осложнений, будь то загноение раны или сепсис;
- подкожная эмфизема;
- разрыв трахеи;
- разрыв легкого или сердца.
Вопрос-ответ
Как проверить, сломано ли ребро или нет?
Симптомы перелома ребер Резкая боль в груди, которая слабеет в состоянии покоя и усиливается при чихании, кашле, разговоре, дыхании. Поверхностное дыхание. Болезненность пальпации места перелома. Хруст сломанных костей.
Как отличить ушиб от перелома ребер?
Грудная клетка деформируется. В области перелома появляется припухлость, отек (гематома). Наличие специфического звука и тактильного ощущения, возникающего при смещении отломков костей друг относительно друга (крепитация). Ещё
Как лечат сломанные ребра?
Проводится первичная обработка краев раны, хирургом удаляются нежизнеспособные фрагменты тканей. Выполняется перевязка кровоточащих сосудов, вводятся антибиотики. Сильное смещение костных отломков. Производится сопоставление и фиксация отломков сломанных ребер.
Сколько дней заживает перелом ребер?
Прогноз Прогноз при неосложнённых переломах благоприятен и сращение происходит через 3-5 недель. При переломе нескольких рёбер трудоспособность восстанавливается через 6-8 недель.
Советы
СОВЕТ №1
Если вы подозреваете, что у вас перелом ребер, немедленно обратитесь к врачу. Самостоятельная диагностика может быть опасной, так как перелом может повредить внутренние органы. Врач проведет необходимые исследования, такие как рентген или КТ, чтобы подтвердить диагноз.
СОВЕТ №2
При переломе ребер важно соблюдать покой и избегать физических нагрузок. Это поможет уменьшить боль и ускорить процесс заживления. Постарайтесь не кашлять и не смеяться слишком сильно, так как это может вызвать дополнительную боль.
СОВЕТ №3
Для облегчения боли можно использовать обезболивающие препараты, такие как ибупрофен или парацетамол. Однако перед приемом любых медикаментов проконсультируйтесь с врачом, чтобы избежать возможных осложнений.
СОВЕТ №4
Следите за своим дыханием. Глубокое дыхание помогает предотвратить пневмонию, которая может развиться из-за ограниченной подвижности. Практикуйте глубокие вдохи несколько раз в день, чтобы поддерживать легкие в хорошем состоянии.



