Трещина ребра: симптомы и лечение
Ребра выполняют жизненно важные функции: помогают дыханию и защищают внутренние органы грудного отдела. Трещина ребра грозит нарушением дыхания, повреждением внутренних органов и другими серьезными осложнениями. Из статьи вы узнаете, как определить этот недуг и как лечить трещины ребра.
Для начала необходимо узнать, что представляет собой трещина ребра. Это частичное нарушение целостности кости, то есть неполный перелом без смещения костных отломков.
Причины трещины ребра – различные травматические воздействия на область грудной клетки (удар, столкновение), значительные травмы при прямом попадании твердого предмета в область грудины, повреждение тканей и органов механического характера или нарушение целостности кожи, тканей и органов. Часто возникает вследствие ДТП, падений с высоты, ранений. Это основные и распространенные факторы, объединенные как травматические трещины ребра.
Патологические процессы в организме также могут стать причиной возникновения трещины в ребре у пожилых людей, при беременности. Это может быть опухоль в грудной клетке, заболевания крови, воспалительный процесс в ребре, инфицирование грудной клетки или костной ткани, гнойное воспаление. Все это называют патологическими трещинами ребра (неполными переломами). У детей подобная травма возникает намного реже, чем у взрослых из-за отсутствия мышечной массы и более эластичной грудной клетки.
Врачи подчеркивают, что лечение трещины ребра в домашних условиях требует осторожности и внимательности. Первым шагом является обеспечение покоя и минимизация движений, чтобы не усугубить травму. Рекомендуется использовать холодные компрессы для уменьшения отека и боли в первые дни после травмы. Обезболивающие препараты, такие как ибупрофен или парацетамол, могут помочь справиться с дискомфортом. Важно следить за дыханием: глубокие вдохи могут быть болезненными, но их необходимо выполнять, чтобы избежать осложнений, таких как пневмония. Врачи также советуют избегать физической активности и тяжелых нагрузок до полного заживления. Если боль усиливается или появляются другие симптомы, такие как одышка или кровотечение, необходимо обратиться за медицинской помощью.

Осложнения трещины ребра
Обычно серьезных последствий не приносит такая травма, как трещина ребра. Осложнения могут выражаться в качестве периодических болей на месте ушиба. В некоторых случаях повреждается легкое, происходит кровоизлияние внутрь грудной клетки. К распространенным осложнениям также относят воспаление легочной ткани и частичное разложение легочной ткани.
Во избежание серьезных последствий обратитесь к врачу. Многие пострадавшие не знают при трещине ребра к какому врачу обращаться. Квалифицированную помощь вам окажет врач-травматолог.
Симптомы трещины ребра
Имеет трещина ребер симптомы следующего характера, по которым можно определить, что это трещина ребра, а не другая травма:
- Длительная боль в травмированной области. Появление кашля, особенно у людей, страдающих хроническими заболеваниями нижних и верхних дыхательных путей. Боль от трещины ребра от сильного кашля только усиливается, при выдохе ослабевает. Боль может длиться в течение 5 суток;
- Нехватка воздуха, одышка;
- Паника, усталость, страх, мигрень;
- Расстройство сна;
- Появление отека, припухлости, гематомы вследствие подкожного кровоизлияния;
- Возможна тошнота, кровоизлияние в грудной клетке;
- Нарушение ритма дыхания.
Вне зависимости от места повреждения симптомы при трещине ребра сзади и симптомы при трещине нижнего ребра ничем не отличаются.
Трещина ребра — это довольно болезненная травма, и многие люди ищут способы облегчить своё состояние в домашних условиях. В первую очередь, рекомендуется обеспечить покой и избегать резких движений, чтобы не усугубить боль. Некоторые советуют использовать холодные компрессы на область повреждения, что помогает снизить отёк и облегчить дискомфорт.
Также популярны методы, такие как использование эластичного бинта для поддержки грудной клетки, хотя важно не слишком туго перевязывать, чтобы не нарушить дыхание. Многие отмечают, что прием обезболивающих средств, таких как ибупрофен или парацетамол, значительно помогает справиться с болевыми ощущениями.
Однако стоит помнить, что самолечение не всегда безопасно. Важно следить за симптомами и при ухудшении состояния обратиться к врачу. Люди делятся опытом, что правильный подход к лечению и внимательное отношение к своему организму могут ускорить процесс выздоровления.

Диагностика трещины ребра
Никакой глобальный вред здоровью трещина ребра не несет, но обратиться к врачу следует незамедлительно для того, чтобы не допустить повреждения легкого. Когда есть подозрения на травму трещина в ребре симптомы и лечение определяются врачом.
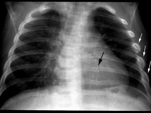
Диагноз трещина ребра врач травматолог может поставить только после медицинского осмотра. Он заключается в установке причины, определения места травмы, трещина ребра на рентгене должна быть отчетливо видна, получении послойного изображения внутренней структуры костей, наблюдении за дыханием, работой сердца и проверки общего состояния пострадавшего. Важно убедиться, что нет никаких других травм.
Во время диагностики важно определить точную травму. Часто перелом и трещина ребра имеют схожие симптомы. Перелом характерен тем, что при пальпации может слышаться хруст осколков кости, возможно смещение обломков. Важно определить точный диагноз: трещина или ушиб ребра. Точный ответ можно сказать только после проведения рентгеновского исследования. Не стоит опасаться данного назначения: вред рентгена для организма при подобном снимке ребер практически отсутствует (если, конечно, у вас нет никаких противопоказаний).
Трещина ребра МКБ 10 – код, который поставит врач после проведения диагностики согласно международной классификации болезней.
Лечение трещины на ребре
У травмы трещина ребра симптомы и лечение очень схожи в случае переломов кости. Точно узнать, как лечить трещину ребра, вы можете у врача. Но лечить трещину ребра в домашних условиях тоже можно, госпитализация не требуется.
Терапия при таком диагнозе изначально сводится к обезболиванию и приему противовоспалительных средств. Боль снимается при трещине ребра Диклофенаком, Ибупрофеном, Аспирином, Напроксеном. В первый день прикладывайте холодные компрессы на 15-20 минут с промежутками в 30-40 минут. Это поможет убрать местные воспалительные процессы. Полностью ограничьте физические нагрузки.
Трещина ребра требует тугого бинтования, поэтому не делайте глубокие вдохи, не кашляйте. Дополнительно принимайте препараты с кальцием и витамином D. Пострадавших всегда интересует, трещина в ребре сколько заживает? Если вы будете полностью соблюдать рекомендации лечащего врача, то на лечение уйдет 2-3 недели, полное восстановление возможно за 6-7 недель.
- Соблюдение правил дорожного движения, аккуратность на дороге;
- 2 раза в год профилактический осмотр у врачей разной направленности;
- Регулярные физические нагрузки;
- Диагностика и терапия всех инфекционных процессов в организме;
- Избежание травмоопасных участков.

Эффективность лечения перелома ребра народной медициной
Ребра – это плоские парные кости дугообразной формы, которые защищают грудную клетку от внешнего воздействия, а так же являются местом прикрепления мышц. У здорового человека имеется 12 пар ребер. Эти кости необычны, и лечение перелома также необычно. Перелом – полное или частичное нарушение целостности костной и хрящевой структуры, лечение которого требует особых мер. Важно подчеркнуть, что перелом ребер может быть опасен для жизни – обломки костей могут повредить важные органы, и лечение должно быть под контролем врача.
Лечение: коротко о главном
Алгоритм лечения перелома ребер полностью зависит от степени тяжести заболевания, и в некоторых случаях оно может проводиться полностью в домашних условиях. Дома лечатся те пациенты, у которых выявлен перелом одного или двух ребер, в противном случае лечение проходит в стенах больницы. Пациент должен соблюдать диету, вести щадящий образ жизни, носить специальный корсет или повязку, принимать все лекарственные препараты, которые прописал лечащий врач.
Диетическое питание
Существуют продукты, которые способствуют восстановлению костной и хрящевой ткани и ускоряют заживление поврежденных ребер. Однако сколько бы человек не употреблял в пищу правильных блюд, во время болезни необходимо особое питание. Перелом – это сильный стресс для организма, поэтому важно полноценно питаться, делая акцент на «полезных» продуктах. Человек, перенесший перелом, должен употреблять в пищу желатин в виде желе, холодцов, заливных блюд. Аналог желатина – агар-агар – присутствует в восточных сладостях. Чай с пастилой, зефиром, рахат-лукумом станет по-настоящему лечебным. Крепкий, насыщенный говяжий бульон обладает аналогичными свойствами, поэтому его употребление ускорит процесс заживления сломанных ребер.
При травме перелом может и не произойти, если в организме нет недостатка витаминов и микроэлементов. Еще одним помощником является кальций – главный микроэлемент, без которого невозможно нормальное функционирование опорно-двигательного аппарата. Кальцием богаты кисломолочные продукты, которые следует употреблять в достаточном количестве. Кроме продуктов питания, дополнительно следует принимать препараты кальция. Альтернативой промышленных препаратов кальция может быть яичная скорлупа, которую легко приготовить в домашних условиях. Для этого скорлупу вареных яиц тщательно промывают, очищают от пленок, перемалывают на кофемолке.
Традиционно в лечении любых переломов применяется мумие – этот минеральный препарат является добавкой, которая стимулирует восстановление хрящей и образование костной мозоли.
Щадящий режим
Человек, который перенес травму и лечится дома после перелома ребер, должен соблюдать особый охранительный режим. Он заключается в минимизации физической и психической нагрузке. В среднем, нетяжелый перелом ребер полностью заживает около 3-4 недель, поэтому в течение этого времени пациент должен отказаться от излишней активности. Лечение и восстановление после травмы происходит быстрее при «тихой паузе» – промежутке, когда человек соблюдает постельный режим.
Фиксирующий корсет и повязка
При лечении перелома ребер в домашних условиях часто применяются специальные корсеты, тугие бинтовые повязки или полоски из лейкопластыря. Корсет может быть гипсовым или эластичным, их модель и материал зависит от тяжести и локализации перелома. Первый применяют при травмах средней тяжести, корсет из эластичного материала используется тогда, когда необходимо сократить объем движений. Тугое бинтование применяют реже, еще реже используют ленты из лейкопластыря для фиксации отломков ребер. Любой перелом требует полной иммобилизации поврежденных костей.
Польза физических упражнений
В первое время после перелома ребер человек должен исключить физические нагрузки, но через некоторое время доктор советует начинать наращивать объем движений, постепенно доведя его до былого. Врач ЛФК подбирает индивидуальный комплекс упражнений, которые пациент может выполнять в домашних условиях. Лечебная гимнастика направлена на восстановление мышечного корсета.
Народная медицина
Наши предки столетиями собирали рецепты лечения разных заболеваний, в том числе и перелома ребер. Эти средства отлично подходят для применения в домашних условиях, ведь в их состав входят простые ингредиенты. Картофель в народе считается хорошим обезболивающим средством, поэтому кашицу их сырого овоща рекомендуется наносить в виде компресса на область перелома.
Следующий рецепт сложнее в приготовлении, но эффективнее. Мазь из медного купороса и еловой смолы улучшает процесс восстановления структуры кости и хряща. 20 граммов смолы нужно смешать с небольшой мелко порезанной луковицей, добавить 15 граммов медного купороса и разбавить растительным маслом до мазеобразной консистенции. Смесь нужно нагреть на медленном огне, остудить и наносить на пораженный участок. Мазь получается жгучей, но именно она способна быстро вернуть человека «в строй».
Психологическая составляющая
Не секрет, что половину успеха составляет настрой. В лечении в домашних условиях есть существенный плюс – дома и «стены помогают». Находясь в привычной обстановке, человек лучше себя чувствует, он спокойнее и увереннее, а, значит, процесс выздоровления происходит гораздо быстрее. Позитивный настрой – это залог успешного выздоровления. Лечение любой болезни зависит от мыслей пациента. Если он уверен, что в скором времени недуг отступит, то так и будет. Сколько будет болеть человек? Ровно столько, сколько он будет пестовать в себе хворь.
При лечении перелома ребер в домашних условиях следует полностью следовать рекомендациям врача. Важно соблюдать диету, носить корсет необходимое время, сократить двигательную активность, принимать медикаменты. Только тогда человек быстро выздоровеет и вернется к нормальной повседневной жизни. Любой перелом – это серьезное испытание для организма, и чтобы быстрее справится с болезнью и восстановиться, нужно верить в успех и неотступно следовать рекомендациям врачей. Лечение болезни это слаженная работа доктора и пациента.
Krasgmu.net — PDA версия
Что делать при переломе ребер
Среди всех травм грудной клетки наиболее часто встречается перелом ребер. Переломом ребер называется нарушение целостности хрящевой и/или костной части. Чаще ломаются 6-9 ребра. Как правило, переломы без осложнений не нуждаются в иммобилизации и значительных врачебных вмешательствах.
Обычно при переломах ребер ощущается резкая боль. Особенно четко она проявляется при ощупывании травмированного места, а также при глубоком вдохе или кашле.
В публикации представлена информация о том, что необходимо делать при переломе ребер, какую первую помощь необходимо оказать.
Перелом ребер – довольно частое травматологическое заболевание. Что делать при трещине или переломе ребра. В домашних условиях лечить перелом ребра можно при помощи тугого бинтования грудной клетки.
Грудная клетка представлена 12 грудными позвонками, с которыми с помощью суставов соединены 12 пар ребер. Спереди расположена грудина, к ней примыкают хрящевые части ребер.
В среднем переломы ребер составляют 15% от всех видов повреждений костей. Механизм травмы при данной патологии может быть как прямым, так и непрямым. Примером непрямого механизма является перелом ребер в боковых отделах при сжатии грудной клетки в передне-заднем направлении. Ввиду того, что ребра хорошо соединены друг с другом, смещение отломков в значительных объемах не происходит.
Симптомы и признаки переломов ребер
Сразу же после перелома пострадавший жалуется на затрудненное дыхание, которое он характеризует как невозможность вздохнуть, и сильные боли, локализующиеся в месте повреждения. При кашле боль усиливается и принимает резкий характер. Поэтому все поведение больного носит щадящий характер: он медленно передвигается, снимает одежду, поверхностно дышит, чтобы уменьшить объем дыхательных движений. В случае, если при переломах ребер в процесс вовлекаются и легкие, то начинается кровохарканье, а также возможно развитие подкожной эмфиземы в области перелома. Подробная информация в материале неотложная помощь при легочном кровотечении.
Диагностика переломов ребер
При обращении пострадавшего к врачу оцениваются и уточняются условия и характер получения травмы (на какой бок упал, с какой высоты, чем был нанесен удар и тому подобное). При осмотре обращается внимание на участие грудной клетки в акте дыхания, а именно равномерность правой и левой половин.
Нередко в области перелома обнаруживается болезненная припухлость. Врач просит пострадавшего сделать глубокий вдох. При этой попытке на высоте вдоха возникает резкая боль, в связи с чем больной прекращает продолжение вдоха. Данный симптом получил название прерванного вдоха. Стоит отметить, что при ушибах ребер этот симптом отсутствует.
При пальпации врач выявляет болезненность, в точке максимальной болезненности — деформацию в виде ступенек, что указывает на перелом.
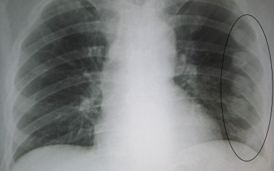
В случае, если у врача возникли подозрения на наличие осложнений, то помимо осмотра и пальпации выполняется ультразвуковое исследование органов грудной клетки и брюшной полости. Лучшим методом является рентгенография.
Осложнения переломов ребер
Основные осложнения: пневмоторакс (скопление газов в плевральной полости), ранение и ушиб легкого и сердца, разрыв межреберной артерии, приводящий к внутреннему кровотечению. Качественный материал о симптомах внутреннего кровотечения поможет избежать ошибок.
Кроме того, возможно поражение органов брюшной полости и забрюшинного пространства (селезенка, почки, печень). Поэтому для того, чтобы избежать диагностических ошибок, минимальные манипуляции должны включать в себя изучение состояния органов грудной клетки, пульса, артериального давления, анализ крови и мочи.
Особое внимание уделяется множественным переломам, так как они создают огромную угрозу жизни пострадавшего, приводя к развитию острой дыхательной недостаточности и плевропульмонального шока.
Лечение переломов ребер
При удовлетворительном состоянии пострадавшего, переломах не более двух ребер и отсутствии осложнений возможно проведение лечения на дому. Сразу оговоримся: лечение перелома ребер в домашних условиях, без соблюдения предписания врача, не приведет ни к чему хорошему. В остальных случаях больного обязательно госпитализируют.
Первая медицинская помощь начинается с введения обезболивающих препаратов (например, промедол). Во время транспортировки необходимо туго забинтовать грудную клетку. У пожилых людей подобную манипуляцию проводить не стоит, ввиду высокого риска развития пневмонии.
Терапевтическое лечение заключается в применении спиртово-прокаиновой блокады, которая заключается во введении в место перелома прокаина и спирта, после чего боль полностью исчезает. Обязательным является назначение отхаркивающих препаратов (бромгексин, туссин), дыхательной и лечебной гимнастики.
Сращение ребер происходит в течение одного месяца.
В случае, если сращение не происходит в течение длительного времени, то ребра фиксируют пластмассовой шины. Для этого разогревают специальную полиэтиленовую пластину в горячей воде и накладывают на грудную клетку в области перелома, моделируя ее форму по контуру поверхности тела. Затем посредством прокалывания кожи полуовальной хирургической иглой фиксируют швами шину. Шину удаляют через 3 недели.
В случае если перелом ребер произошел слева или справа от грудины, прибегают к скелетному вытяжению. Суть данной процедуры заключается в том, что с помощью иглы под местной анестезией вокруг грудины проводят проволоку, обладающую антикоррозивными свойствами, и перекидывают к блоку. Вытяжение выполняют в течение двух – трех недель.
Выделяют так называемые окончатые переломы, которые характеризуются переломом ребра в нескольких местах, что приводит к потере его меньшей части. Эффективным методом лечения в этой ситуации является остеосинтез, который проводится при помощи специального аппарата, благодаря которым фиксируется свободная часть. Посредством сшивания таким образом даже половины сломанных ребер по двум линиям обеспечивается хорошая фиксация подвижного сегмента.
Вопрос-ответ
Как болит трещина в ребре?
Главным признаком трещины ребра является «болезненность на протяжении» – при надавливании на любой участок ребра боль возникает в том месте, где произошла трещина ребра. Для подтверждения диагноза назначают: компьютерную томографию, рентгенография грудной клетки.
Какую мазь использовать при ушибе ребер?
Диклофенак и Индовазин, которые успешно убирают очаг воспаления, Express синяк и Синяк-off гель – они помогают снять отек, Мази при ушибах ребер снимут болевой синдром и отечность: Финалгель, Вольтарен, Лиотон, Фастум-гель и Апизатрон убирают болевые ощущения, Ещё
Что помогает при трещине ребра?
Вызвать скорую, обеспечить комфортное положение полусидя, приложить лед на область перелома, наложить на грудную клетку тугую повязку: она должна ограничивать движение ребер при дыхании, это поможет избежать смещения отломков.
Сколько времени заживает трещина в ребре?
Продолжительность восстановительного периода В зависимости от характера, тяжести травмы, возраста и общего состояния здоровья пациента, для полного восстановления может потребоваться от 3-4 недель до полугода.
Советы
СОВЕТ №1
При подозрении на трещину ребра важно обеспечить покой и минимизировать движения, чтобы избежать дальнейшего повреждения. Используйте подушки для поддержки и комфорта во время отдыха.
СОВЕТ №2
Для уменьшения боли и отека можно применять холодные компрессы на область повреждения. Делайте это в течение 15-20 минут несколько раз в день, чтобы облегчить состояние.
СОВЕТ №3
Обратите внимание на свое питание. Убедитесь, что ваш рацион богат кальцием и витамином D, которые способствуют заживлению костей. Включите в меню молочные продукты, рыбу и зелень.
СОВЕТ №4
Следите за своим состоянием. Если боль усиливается или появляются новые симптомы, такие как одышка или сильная боль при дыхании, обязательно обратитесь к врачу для профессиональной оценки и лечения.







