Кистозно-глиозные изменения головного мозга что это? Давайте разбираться. Глиоз головного мозга – патология, которая выражается в виде активного роста количества глиальных тканей. В следствии глиоза в мозге человека появляются рубцы, спайки.
Головной и спиной мозг состоят из нейрональной, эпендимальной и глиальной тканей. Первая из них образует серое вещество, где находятся нейроны, которые осуществляют продукцию и передачу нервных импульсов. Эпендимальная ткань располагается в области желудочков головного и центрального канала спинного мозга. Эти клетки вырабатывают и осуществляют резорбцию спинномозговой жидкости. Нейроглия – соединительнотканные элементы, которые обеспечивают питание нейронов.
Некоторые патологические процессы способны приводить к масштабному разрастанию глиозных структур, что вызывает стихийное поражение нейронов. Это опасный процесс, который требует незамедлительного обращения к врачу. Какую симптоматику вызывает глиоз? Можно ли остановить патологический процесс? Стоит детальнее рассмотреть особенности данного заболевания.
Основные причины
Медики выделяют следующие провоцирующие факторы, которые способны привести к развитию кистозно-глиозных изменений головного мозга:
- инфекции головного мозга (энцефалиты, менингиты);
- черепно-мозговые травмы (в их числе травмирование мозга ребенка во время рождения);
- выполнение хирургических манипуляций;
- воспаление тканей мозга, спинномозговой жидкости;
- нарушение мозгового кровотока вследствие атеросклеротических изменений сосудов, развития гипертонии;
- инсульты и инфаркты мозга;
- хронический алкоголизм;
- патологии, которые вызывают атрофические нарушения мозга (рассеянный склероз, острый диемиеолинизирующий энцефалит);
- старение нервной ткани. Это приводит к постепенному угасанию трофической функции и ухудшению мозгового кровотока. Как результат нейроны погибают, а их место занимает нейроглия;
- наследственная предрасположенность. При нарушениях жирового обмена возможно поражение нервной системы;
В редких случаях причиной глиоза становятся патологические процессы во время внутриутробного развития. У таких детей в течение первых 5-6 месяцев отмечается постепенное замещение нейронов клетками нейроглии. Ребенок с глиозом редко доживает до 3-летнего возраста.
Глиоз может развиваться на фоне разных этиологических факторов. Однако их объединяет одно – глиоз вызывает значительное повреждение нейрональной ткани, снижая число здоровых нейронов.
Важно! Глиозные изменения головного мозга относят к защитной реакции организма, который стремится создать барьер между здоровой тканью и патологическим очагом.
Кистозно-глиозные изменения головного мозга представляют собой патологические процессы, которые могут возникать в результате различных заболеваний, травм или воспалений. Врачи отмечают, что такие изменения часто связаны с повреждением нейронов и развитием глиоза — реакции нервной ткани на повреждение. Последствия могут варьироваться в зависимости от локализации и степени изменений. Некоторые пациенты могут испытывать неврологические симптомы, такие как головные боли, нарушения координации, проблемы с памятью и вниманием. Важно отметить, что кистозно-глиозные изменения могут быть как следствием, так и причиной более серьезных заболеваний, таких как инсульт или опухоли. Поэтому ранняя диагностика и комплексное обследование играют ключевую роль в определении дальнейшей тактики лечения и реабилитации пациентов. Врачи подчеркивают необходимость регулярного мониторинга состояния таких пациентов для предотвращения возможных осложнений.

Классификация глиоза
Согласно характеру разрастания и локализации очагов глиоз принято делить на следующие типы:
- Аргинальный. Очаги глиоза расположены под оболочками мозга.
- Изоморфный. Волокна нейроглии располагаются относительно правильно.
- Анизоморфный. Характерно хаотичное расположение разрастающихся тканей нейроглии.
- Периваскулярный. Нейроглия окружает склерозированные сосуды.
- Диффузный. Характерно поражение обширной части спинного и головного мозга.
- Волокнистый. Волокна нейроглии имеют более выраженные признаки, нежели клеточные составляющие.
- Субэпендимальный. Очаги глиоза сформированы в подэпендимальной области мозга.
Симптоматика заболевания
Симптомы, которые возникают на фоне глиозных изменений, определяются провоцирующими факторами. Начальные этапы глиоза характеризуются бессимптомным течением. Затем пациенты отмечают появление следующей симптоматики:
- интенсивные головные боли, которые возникают во время умственной деятельности и попыток сосредоточиться. Это характерный симптом посттравматических глиозных изменений в височной доле мозга, которая отвечает за ассоциативное восприятие;
- перепады артериального давления. Сдавливание сосудов и атрофия тканей вызывает сужение просвета и ухудшение самочувствия;
- головокружение и приступы. Если глиоз развивается на фоне перенесенных травм или оперативного вмешательства, то возможно развитие судорожного синдрома в постоперационный период. Разрастание нейроглии приводит к усилению симптоматики: пациенты отмечают снижение скорости реакции, кратковременную потерю слуха и зрения. Продолжительность приступов обычно не превышает 1,5 минут.
По мере прогрессирования глиоза головного мозга возникает нарушение координации движений, паралич конечностей, снижение интеллекта вплоть до развития слабоумия. В некоторых случаях появляются эпилептические припадки. При отсутствии терапии глиоза на поздних стадиях наступает полная нетрудоспособность, разрушение личности. Пациенты перестают осознавать себя в окружающем мире, не контролируют мочеиспускание и акты дефекации.
Кистозно-глиозные изменения головного мозга представляют собой патологические процессы, которые могут возникать в результате различных заболеваний или травм. Люди, сталкивающиеся с этой проблемой, часто выражают беспокойство о последствиях, таких как ухудшение когнитивных функций, потеря памяти или изменение поведения. Важно отметить, что такие изменения могут быть следствием воспалительных процессов, инсультов или травм, что делает диагностику и лечение особенно актуальными. Многие пациенты отмечают, что своевременное обращение к врачу и комплексное обследование помогают выявить причины и предотвратить дальнейшее прогрессирование. Однако не все знают, что глиоз может также быть адаптивной реакцией мозга на повреждения, что делает понимание этого процесса еще более сложным. Обсуждения в медицинских кругах подчеркивают необходимость индивидуального подхода к каждому случаю, чтобы минимизировать негативные последствия и улучшить качество жизни пациентов.

Диагностические мероприятия
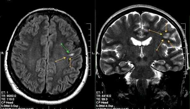
Для постановки диагноза применяют методики нейровизуализации: МРТ И КТ головного мозга. Оба метода позволяют определить локализацию, размеры, количество очагов кистозно-глиозной трансформации. Однако МРТ позволяет точно определить наличие мелких образований. Использование КТ с контрастом необходимо для диагностики отклонений, которые имеют сосудистый генез.
Важно! МРТ позволяет диагностировать глиоз белого вещества, расположенного в лобных долях. Болезнь невозможно определить при помощи иных методик.
Среди дополнительных исследований выделяют:
- проведение УЗИ сосудов и сердца;
- определение уровня липидов в кровяном русле;
- определение уровня глюкозы;
- ЭЭГ позволяет определить нарушения, которые связаны с активностью мозга, наличие судорожной готовности;
- в некоторых случаях – исследование ликрова.
Эти методики позволяют выявить этиологические факторы, которые вызывали развитие глиоза.
Особенности терапии
Глиоз не является отдельной патологией, поэтому препаратов для устранения отдельных глиальных очагов не существует. Традиционная медицина предполагает комплексную терапию патологического состояния, которая направлена на улучшение самочувствие пациента и устранение глиозных изменений.
На начальных стадиях глиоза организм способен самостоятельно справиться с негативными изменениями. Поэтому врачи рекомендуют отказаться от вредных привычек, придерживаться правил здорового образа жизни, ввести умеренную физическую активность. При появлении головной боли, признаков нарушения мозгового кровотока рекомендуют использовать средства, которые укрепляют стенки сосудов, восстанавливают их эластичность. Также при глиозе показаны препараты, способные улучшить активность и проводимость нервных волокон. При атеросклеротических изменениях сосудов проводят лечение, направленное на борьбу с атеросклерозом.
В тяжелых случаях глиоза показано хирургическое вмешательство. Показания к операции:
- эпилептические припадки;
- повышенная судорожная готовность;
- нарушение функциональности внутренних органов.
При мультифокальных множественных поражениях мозга хирургическая терапия противопоказана. В подобных случаях пациенту назначают пожизненное консервативное лечение.

Последствия глиоза
Замещение нейронов клетками нейроглии приводит к следующим патологическим состояниям:
- энцефалиты;
- нарушение мозгового кровотока;
- изменение работы внутренних органов;
- рассеянный склероз;
- гипертонический криз.
Профилактические мероприятия
Предотвратить разрастание нейроглии помогут следующие меры профилактики:
- Отказ от употребления жирных продуктов.
- Обеспечение поступления в организм достаточного количества углеводов.
- Введение в рацион продуктов, которые питают нейроны головного мозга.
- Проведение регулярного планового обследования.
Глиоз – опасная патология, поэтому при развитии первых признаков заболевания необходимо обратиться к специалисту. Только эффективное лечение, направленное на устранение провоцирующего фактора позволяет, нормализовать состояние больного.
Вопрос-ответ
Чем опасен глиоз головного мозга?
Множественные очаги глиоза вызывают нарушение деятельности ЦНС, усиливая клинические проявления основного заболевания. Чаще причинами возникновения нескольких (более 3) пораженных участков становятся инсульты, инфаркты, атеросклероз и сдавление сосудов головного мозга.
Как лечить кистозно-глиозные изменения?
Ответ: Кистозно-глиозные изменения не лечатся, так как это не болезнь, а структура головного мозга. Подобные изменения возникают вследствие тяжелой гипоксии, чаще в родах или внутриутробно. Учитывая задержку речевого развития, необходимо сделать ребенку ЭЭГ.
Может ли глиоз вызвать потерю памяти?
Реактивный глиоз, безусловно, будет способствовать снижению когнитивных способностей и потере памяти , которые являются отличительными признаками патологии AD. Поэтому нацеливание новых и возможных методов лечения на эти клетки на различных моделях является подходящим решением для поиска новых путей улучшения жизни пациентов с AD.
Можно ли остановить глиоз?
Недуг не подлежит лечению, потому как это – не самостоятельное заболевание, а следствие патологических процессов в организме.
Советы
СОВЕТ №1
Если вам поставили диагноз кистозно-глиозные изменения, не паникуйте. Обязательно проконсультируйтесь с неврологом, который сможет объяснить вам суть изменений и предложить индивидуальный план наблюдения или лечения.
СОВЕТ №2
Регулярно проходите медицинские обследования и нейровизуализацию (МРТ или КТ), чтобы отслеживать динамику изменений в головном мозге. Это поможет выявить возможные осложнения на ранних стадиях.
СОВЕТ №3
Обратите внимание на свой образ жизни. Здоровое питание, регулярные физические нагрузки и отказ от вредных привычек могут способствовать улучшению общего состояния и замедлению прогрессирования заболеваний мозга.
СОВЕТ №4
Поддерживайте эмоциональное здоровье. Стресс и тревога могут негативно влиять на ваше состояние. Рассмотрите возможность занятий йогой, медитацией или психологической поддержкой для улучшения психоэмоционального фона.



