Все материалы на сайте публикуются под авторством, либо редакцией профессиональных медиков, но не являются предписанием к лечению. Обращайтесь к специалистам!
Наши далекие предки о такой патологии, конечно, не догадывались, хотя гемангиома позвоночника, наверняка, могла иметь место во все времена. Активное изучение опухоли началось с применения в медицинской практике лучей Рентгена, благодаря которым стало возможным обнаружение ее в позвонках у пациентов, предъявляющих жалобы на боли в спине, и лечение. Но это событие произошло около ста лет назад (20-е годы прошлого века), поэтому гемангиому позвоночника можно считать относительно молодой болезнью. Лечить эту сосудистую опухоль эффективными методами научились и того позже (80-е годы прошлого столетия)
«Добрый» характер и агрессия
Костные опухоли из всех мест локализации чаще всего выбирают позвоночный столб. Гемангиома в этом плане не входит в число исключений. Это доброкачественное образование особенно «любит» тело позвонка, поэтому его нередко называют гемангиомой тела позвонка или еще проще – гемангиомой позвонка, заодно указывая какого (l1, l2, l3, l4, th12). Перечисленные в скобках позвонки поражаются чаще других. А вообще в плане «зарождения» опухоли из отделов позвоночника наиболее уязвим грудной (Th1 – Th12) сегмент (в числе всех аналогичных поражений он забирает до 80%), за ним со значительным отставанием следует поясничный (l1 – l5). На долю шейного отдела и крестцово-копчикового сегмента остается совсем немного (около 1%) – гемангиомы не «любят» эти места. Между тем, даже внутри отдела опухоли не всем уровням отдают предпочтение в равной мере (не всех одинаково «любят»). Опухоль грудного отдела чаще «ищет» позвонки от 3 до 12 (Th3 – Th12), теряя «интерес» к шейному отделу. В поясничном отделе опухоль стремится обосноваться на первых четырех поясничных позвонках (l1, l2 l3, l4), обычно оставляя без внимания пятый (l5), а также крестец и копчик.
Кроме локализации, для гемангиомы позвоночника характерны такие черты:
- Опухоль имеет «добрый» характер, медленно растет, не перерождаясь в злокачественное новообразование, обычно протекает без лечения, потому что в большинстве случаев о ее присутствии никому неведомо. Здесь следует отметить, что доброкачественное течение характерно не всем гемангиомам позвоночника, среди них встречаются довольно агрессивные формы, которые будут рассмотрены ниже;
- Данной патологии больше подвержены женщины, чем мужчины;
- Излюбленный возраст гемангиомы у взрослых людей – второе-третье десятилетие жизни, в детском возрасте заболевание диагностируется крайне редко, но, в принципе, полностью не исключается;
- Чаще всего патологический процесс затрагивает один позвонок, хотя известны случаи многоуровневого расположения опухоли (гемангиоматоз);
- Большинство этих сосудистых опухолей протекает годами без всяких симптомов и обнаруживается случайно при проведении совсем по другому поводу модных ныне исследований, коими являются КТ и МРТ.
Но если эта опухоль так хороша и безобидна, может быть, вообще не стоит уделять ей внимание, тем более, что в человеческой популяции их всего от 1 до 10%? Однако, как показало время, не все сосудистые образования этой категории остаются всегда «хорошими» — 3-4 % (по данным других источников – от 10 до 15%) из них протекают с симптомами, нарушающими качество жизни пациента. «Плохими» гемангиомы становятся тогда, когда приобретают опасные размеры. Поражая все тело позвонка, они ведут себя агрессивно по отношению к «соседям» (сдавливают спинной мозг) и провоцируют компрессионные переломы.
Гемангиома позвоночника представляет собой доброкачественную опухоль, возникающую в теле позвонка. Врачи отмечают, что данное образование чаще всего не вызывает симптомов и обнаруживается случайно при проведении рентгенографии или МРТ. Однако в некоторых случаях гемангиома может приводить к болевым ощущениям или даже к компрессии спинного мозга.
Лечение гемангиомы зависит от ее размера и симптоматики. Врачами рассматриваются различные подходы: от наблюдения за состоянием пациента до более активных методов, таких как радиочастотная абляция или эмболизация. В крайних случаях, когда опухоль вызывает серьезные проблемы, может потребоваться хирургическое вмешательство. Важно, чтобы лечение проводилось под контролем опытного специалиста, который сможет оценить риски и выбрать оптимальную стратегию.

Причины появления гемангиомы позвонка
Основной причиной развития гемангиомы позвоночника современная наука видит в неполноценности структурного строения стенок сосудов отдельных позвонков. При чем, опухоль, найденная у взрослых и даже пожилых людей, не воспринимается, как новое образование, возникшее в данном возрасте, закладка будущей гемангиомы происходит еще в эмбриональном периоде при формировании сосудов. Именно тогда что-то пошло не так, сосудистые стенки оказались дефектными, не способными полноценно выполнять свои функциональные обязанности.
Различные, абсолютно незначительные для здоровых сосудов, жизненные ситуации могут негативно сказываться на состоянии неполноценных элементов и тогда малейшие повреждения их стенок становятся причинами начала роста опухоли:
- Легкие травмы, которые сам пациент даже не заметил;
- Подъем тяжестей;
- Занятия спортом и другие нагрузки на позвоночник;
- Профессиональная деятельность и просто активный образ жизни, исходящий от темперамента человека (очень подвижные люди).
Подобные обстоятельства приводят к тому, что слабые стенки некачественных кровеносных сосудов периодически разрываются, образуя участки кровоизлияний. Вышедшая в костную ткань кровь приводит в повышенную «боевую» готовность систему микрофагов, которая отвечает активацией функции некоторых своих клеток — гигантских многоядерных остеокластов, разрушающих костную и хрящевую ткань.
Кровь, между тем, не может изливаться бесконечно, для прекращения ее вытекания включаются механизмы остановки кровотечения, активно формируются тромбы (тромбоз). В это время остеокласты, разрушая костную ткань в месте кровоизлияния, освобождают участки для формирования новых сосудов (реканализация), которые, к несчастью, опять оказываются неполноценными. И все повторяется…
Виды и формы
Прежде чем приступить к описанию симптомов этой сосудистой опухоли, хотелось бы познакомить читателя еще и с видами гемангиом позвоночника, поскольку они, в основном, определяют дальнейшее развитие событий.
В зависимости от гистологического строения они бывают:
- Капиллярными, состоящими из тонкостенных мелких сосудов;
- Кавернозными, представляющими собой расширенные кровеносные сосуды;
- Рацематозными в виде артериальных или венозных конгламератов;
- Смешанными, самыми распространенными и включающими в себя признаки и 1, и 2 вида (в центре позвонка – каверна, по периферии – капиллярное сосудистое образование).
Кроме этого, классифицируют опухоли еще и по топографическим признакам, где выделяют 5 типов, например, к первому типу относят опухоли, поражающие весь позвонок (гемангиома позвонка), ко второму причисляют образование, локализованное только в теле позвонка (гемангиома тела позвонка), к третьему и четвертому причисляют изолированные и комбинированные поражения, пятый тип включает эпидуральные опухоли. Однако такие тонкости вряд ли будут интересны читателю, поэтому в дальнейшем речь будет идти о гемангиоме позвонка, подразумевающей любой из типов, а не об опухоли какого-то конкретного маленького участка.
Большего внимания заслуживают опухоли, которые имеют богатую клиническую симптоматику. В связи с этим выделяют неагрессивные гемангиомы тела позвонка и агрессивные, но вот предугадать заранее «плохое» поведение опухоли только по ее наличию (данные рентгенографии) не представляется возможным.
Гемангиома позвоночника — это доброкачественная опухоль, которая возникает в теле позвонка и чаще всего не вызывает симптомов. Многие люди даже не подозревают о ее наличии, так как она может быть обнаружена случайно при проведении рентгенографического исследования или МРТ. Однако в некоторых случаях гемангиома может вызывать боль или другие неврологические симптомы, если начинает сжимать окружающие ткани. Лечение зависит от размера и симптоматики образования. В большинстве случаев достаточно наблюдения, но при наличии выраженных симптомов могут быть рекомендованы методы, такие как радиочастотная абляция или хирургическое вмешательство. Важно помнить, что своевременная диагностика и консультация с врачом помогут избежать осложнений и выбрать оптимальную стратегию лечения.

Симптомы и диагностика
Сопоставляя клинические симптомы и радиологические данные заболевания, тоже выделяют 2 типа неагрессивных и агрессивных опухолей (асимптоматичные и симптоматичные гемангиомы). Это значит, что неагрессивная опухоль тоже может давать клинические проявления, однако их выраженность значительно слабее симптомов, сопровождающих агрессивную форму.
Чаще всего встречаются агрессивные опухоли грудного отдела (на уровне Th3 – Th9). Эти образования, в отличие от неагрессивных форм, растут быстро. Захватывая дуги и отростки, нарушая структурную целостность позвонка, словом, приобретая опасный размер, они приводят к сдавлению спинного мозга и развитию компрессионных переломов. что не может не сказаться на самочувствии пациента. Боль в спине в таком случае будет главным симптомом (болевой синдром), который чаще всего обусловлен «баллонизацией тела позвонка и раздражением сосредоточенных на близлежащих участках нервных рецепторов.
Еще хуже обстоят дела, если агрессивная гемангиома проникает в эпидуральное пространство, вовлекает в патологический процесс спинной мог и проходящие нервы. В таких случаях количество симптомов в клинической картине заметно прибавляется:
- Переломы тел позвонков с компрессией спинного мозга, сопровождаемые болью в спине;
- Корешковый синдром, включающий многочисленные симптомы (стягивающая боль, онемение, парез, имитация сердечной патологии, заболеваний легких и желудочно-кишечного тракта);
- Миелопатические синдромы (онемение ног. нарушение функции тазовых органов, появление патологических рефлексов и др.).
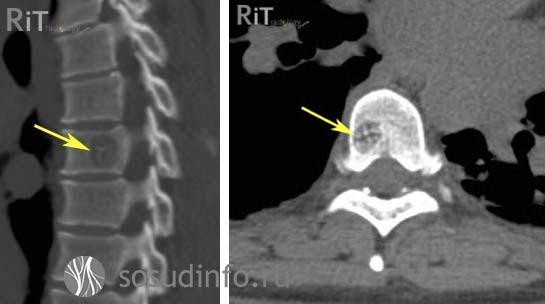
Для поиска гемангиомы тела позвонка используют:
- Обзорную рентгеновскую спондилографию, выявляющую структурные изменения в пораженном позвонке;
- Довольно информативную в этом плане компьютерную томографию (КТ);
- Значительные надежды при диагностике опухоли возлагают на магнитно-резонансную томографию (МРТ) – этот метод предоставляет наибольший объем информации в отношении патологического процесса.
гемангиома позвоночника на рентгеновском снимке
Что касается клинических проявлений гемангиомы различных уровней, то ее течение больше зависит от формы и вида, то есть, характеристик самой опухоли, нежели от того, расположена она на уровне Th12 или l1, L2… Между тем, при этом можно заметить, что симптомы болезни (боль, онемение и т.д.) не поднимаются выше (к шейному отделу), а вот тазовые органы и ноги, находящиеся ниже поражения, в иных случаях страдания испытывают.
Лечение гемангиомы позвоночника, операция
В поисках эффективного лечения гемангиомы тела позвонка в разные периоды прошлого и нынешнего столетия пробовались всевозможные методики:
- Открытая операция. Долгое время на гемангиому позвонка, кроме операции, никакой «управы» не находилось. Однако первые хирургические вмешательства не отличались радикальностью, поэтому особых успехов не приносили. Из-за технических трудностей сама опухоль не удалялась, а риск профузного кровотечения оставался высоким.
- Лучевая терапия. В 30-х годах прошлого столетия лечить сосудистую опухоль пробовали, подобно другим новообразованиям, с помощью самых прогрессивных по тем временам методов, используя рентгеновские лучи. Лучевая терапия останавливала рост и развитие опухоли, однако и этот метод не обещал полного избавления от болезни, хотя длительное время оставался единственно действенным. Но все же развитие неврологических осложнений, низкая эффективность лечения (при распространении патологического процесса на весь позвонок) и дозы (30гр), полученные в ходе процедур, заставляли искать иные пути воздействия на образование.
- Алкоголизация. Такой метод, как алкоголизация гемангиомы позвонка, был введен в практику сравнительно недавно – 20 лет назад (1994). Он представляет собой склерозирование гемангиомы медицинским спиртом, который называют «чистым» (96°). Однако новшество оказалось небезопасным (отдаленные осложнения), поэтому как-то не очень прижилось.
- Метод искусственного тромбирования (эмболизация). Он был впервые использован в 1968 году и предусматривал введение синтетических эмболизирующих веществ, приводящих к окклюзии сосудов. Здесь тоже имели место свои трудности, например, ферменты крови быстро разрушали искусственные эмболы.
Чрескожная пункционная вертебропластика. Наконец-то в 80-х годах французскими врачами П. Галибером и Х. Дерамоном был найден новый способ воздействия на гемангиому позвонка – чрескожная пункционная вертебропластика. Эта методика предусматривает пункцию тела позвонка под контролем компьютерной томографии и введение рентгеноконтрастного цемента (смесь костного цемента с контрастирующим веществом). Общепринятая подготовка (как к обычной операции), ранняя активизация больного после вмешательства (до 5 часов), минимум осложнений (в большинстве случаев они обусловлены техническими ошибками), исчезновение болевого синдрома и другой симптоматики в первые часы после операции делают этот метод лечения наиболее приемлемым, а поэтому популярным.
Пациентов с подобной патологией, ожидающих хирургического вмешательства, хотелось бы несколько воодушевить тем, что ежедневно и ежечасно ведется поиск новых технических перспектив проведения операции и изготовления цемента: разрабатываются новые виды материалов, совершенствуются методики.

Щадящий режим
В заключение, несколько советов хотелось бы дать людям, имеющим в позвоночнике сосудистое образование, которое врачи пока не собираются лечить оперативным путем, но обещают наблюдать и контролировать. Такие пациенты, как правило, получают рекомендации, когда пройти плановое обследование (КТ), как вести себя, как оберегать опухоль, чтобы она не преподносила «сюрпризов», однако у них все равно периодически возникают вопросы.
Гемангиома позвонка, пусть она маленькая, не растущая, не проявляющая симптоматики, тем не менее, является образованием патологическим, да еще и наполненным кровью, поэтому имеет ряд противопоказаний к назначению различных процедур и лечебных мероприятий.
- Не применять народные средства, игнорировать советы знакомых, основанные на их личном опыте, слушать только врача.
- Максимально уменьшить физические нагрузки на позвоночник.
- При назначении физиотерапевтических процедур и мануальной терапии для лечения другой патологии знать, что они могут быть противопоказаны при гемангиоме позвоночника и предупредить об этом врача.
- Оберегать гемангиому от тепловых воздействий и в домашних условиях – всякие прогревания, греющие душу, не очень полезны опухоли.
- Исключить из своей практики часто очень любимый массаж позвоночника, особенно, следует щадить грудной и поясничный отделы, ведь именно там чаще локализуются гемангиомы. Что касается шейного отдела, то легкое поглаживание ему, может быть, и не причинит особого вреда, но и осторожность в данном случае не помешает.
Людям, у которых замаячила невеселая перспектива «лечь под нож» (как они сами это называют), в категорической форме врачи запрещают физиотерапевтические и тепловые процедуры на все отделы позвоночника, массаж, физические нагрузки. Коль операция неизбежна, то лучше слушать врачей, а не заваривать в домашних условиях всевозможные корни, листья и стебли – они все равно не помогут.
Вопрос-ответ
Как лечат гемангиому в позвоночнике?
Лучевая терапия — воздействие на гемангиому радиоактивными лучами. Чрескожная вертебропластика — введение в поражённый позвонок костного цемента. Резекция позвонка — оперативное удаление поражённых участков кости и мягких тканей.
Что нельзя делать при гемангиоме позвонка?
Посещение бани, сауны, солярия, длительное пребывание под жарким солнцем, массаж в области локализации опухоли, мануальную терапию и ЛФК, Ещё
Можно ли вылечить гемангиому позвоночника без операции?
Сразу же представляется долгое и опасное лечение без гарантии выздоровления, осложнения и плохое самочувствие. Однако не все случаи такие тяжёлые. Так, гемангиома грудного отдела позвоночника лечится даже без операций, а ярко выраженные симптомы не дадут пропустить развитие болезни.
Как остановить рост гемангиомы в позвоночнике?
Наиболее распространенным методом лечения гемангиом является лучевая терапия, при которой используется мощное рентгеновское излучение, которое уничтожает клетки опухоли. Исследования показали, что высокие дозы лучевой терапии позволяют не только остановить рост опухоли, но и значительно снизить болевые проявления.
Советы
СОВЕТ №1
При подозрении на гемангиому позвоночника, не откладывайте визит к врачу. Своевременная диагностика с помощью МРТ или КТ поможет определить размер и расположение опухоли, что важно для выбора правильной стратегии лечения.
СОВЕТ №2
Обсудите с врачом возможные методы лечения. В зависимости от размера и симптоматики гемангиомы, могут быть предложены различные подходы, включая наблюдение, медикаментозное лечение или хирургическое вмешательство.
СОВЕТ №3
Следите за своим состоянием и обращайте внимание на любые изменения в симптомах. Боль в спине, онемение или слабость в конечностях могут указывать на прогрессирование заболевания и требуют немедленного обращения к специалисту.
СОВЕТ №4
Поддерживайте здоровый образ жизни, включая регулярные физические упражнения и сбалансированное питание. Это поможет укрепить позвоночник и общее состояние здоровья, что может снизить риск осложнений, связанных с гемангиомой.









