Герпесная ангина чаще всего поражает детей. Заболевание представляет собой одну из разновидностей ангин, но имеет свои отличительные признаки и способы лечения.
Характерные симптомы недуга – воспаление глотки, миндалин и небной части. Герпесная ангина у детей обычно проявляется в возрасте 3-10 лет, и редко поражает грудничков. После перенесенного заболевания у малышей формируется иммунитет к вирусу и повторный риск заражения им маловероятен.
Е.Малышева: Освободите свой организм от опасных для жизни паразитов, пока не поздно! Чтобы очистить свой организм от паразитов нужно просто за 30 минут до еды. Сайт Елены Малышевой Официальный сайт malisheva.ru
Чтобы избавиться от паразитов нужно каждый день. Советы Е.Малышевой Советы Елены Малышевой об избавлении от ПАРАЗИТОВ за 7 дней. Методика профилактики Лечение дома Народный способ parazitovnet.com
МИНЗДРАВ: Вы удивитесь сколько ПАРАЗИТОВ из вас выйдет если выпить. Чтобы ПОЛНОСТЬЮ избавиться от ПАРАЗИТОВ нужно каждый день перед сном. Интервью с врачом Официальный сайт minzdrav.ru
Клиническая картина
Проникая в организм, возбудитель заболевания сразу же поражает лимфатические узлы, затем кровеносную систему, а оттуда, с током крови попадает в полость рта. Здесь он начинает активно развиваться и размножаться.
Следует знать! Герпесная ангина получила свое название из-за того, что при наблюдении через цифровой микроскоп ее признаки напоминают обычный герпес.
Признаки недуга разнообразны и зависят от иммунитета ребенка. Чем слабее защитные силы, тем ярче будет проявляться герпангина. Можно выделить несколько общих симптомов заболевания, характерных практически для каждого случая:
- резкие скачки температуры до 39-40°C;
- потеря аппетита;
- ломка в суставах;
- общая слабость;
- увеличение узлов лимфатической системы;
- проблемы в работе ЖКТ, проявляющиеся тошнотой и диареей;
- лихорадочное состояние.
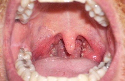
Характерный признак вирусного заболевания – множественные высыпания красного цвета в ротовой полости. По внешнему виду сыпь похожа на водянистые образования, которые начинают вскрываться через 3-4 часа после появления.
После вскрытия пузырьков на поверхности слизистой оболочки образуются эрозии и язвочки, заживающие длительное время (до 7-8 дней). При этом пораженный участок отекает. Ребенок чувствует боль и дискомфорт при глотании слюны и потреблении пищи. Симптомы недуга постепенно усиливаются, к болевым ощущениям присоединяется зуд и увеличение шейных лимфоузлов.
Полное выздоровление после перенесенного недуга наступает лишь на десятый день, если к основному заболеванию не присоединяется вторичная инфекция. Но даже после восстановления ребенок остается заразным для окружающих еще некоторое время. У детей с ослабленным иммунитетом нередко наблюдается рецидив ангины, сопровождающийся лихорадочным состоянием и сильной интоксикацией.
Иногда герпес в горле у ребенка проявляется атипичной формой без появления водянистых пузырьков и налета на слизистых тканях. При этом высыпания поражают руки и ноги малыша, представляя опасность для его здоровья. Ведь после вскрытия папул имеется высокий риск повторного подселения инфекции. В таком случае нельзя лечить недуг без консультации с врачом.
Многие наши читатели для лечения и избавления организма от ПАРАЗИТОВ, и глистов активно применяют широко известную методику на основе натуральных ингредиентов, открытую Еленой Малышевой. Советуем обязательно ознакомиться.
Иногда при герпесной ангине развивается везикулезный стоматит – сыпь возникает на языке, внутренней стороне шеек и деснах. Несмотря на высокую температуру, стоматит протекает без осложнений и завершается через 6 дней, не оставляя после себя шрамов и рубцов на тканях.
Врачи подчеркивают, что герпесная ангина у детей – это вирусное заболевание, вызываемое вирусом герпеса, которое может проявляться острыми симптомами. Среди основных признаков выделяют сильную боль в горле, затрудненное глотание, повышение температуры и появление пузырьков на слизистой оболочке рта и горла. Важно отметить, что лечение должно быть комплексным: врачи рекомендуют использовать противовирусные препараты, а также средства для облегчения боли и жаропонижающие. Специалисты также акцентируют внимание на необходимости обильного питья и соблюдения постельного режима. Профилактика включает в себя соблюдение гигиенических норм и укрепление иммунной системы ребенка. В случае появления симптомов важно обратиться к врачу для назначения адекватного лечения.

Причины
Основная причина ангины – вирус Коксаки типа А и В. Некоторые факторы провоцируют развитие недуга:
- теплое время года – возбудитель обычно активируется летом или в начале осени;
- присутствие в организме человека вируса герпеса;
- снижение иммунитета;
- проблемы в работе кишечника;
- перегрев или переохлаждение;
- переедание холодных продуктов;
- частые стрессовые ситуации;
- аллергические реакции.
Еще одна причина заболевания – посещение ребенком многолюдных закрытых помещений, например, школы или сада. Чем старше ребенок, заразившийся недугом, тем тяжелее у него будет протекать ангина.
Как лечить?
Лечение герпесной ангины, прежде всего, направлено на снятие симптомов, для улучшения общего состояния больного. Чтобы сгладить симптомы болезни применяют следующие группы препаратов:
- Антигистаминные средства, которые помогают снять отек и устранить токсины. Лекарства также уменьшают зуд в ротовой полости. Малышам старше 1 месяца дают Супрастин. Детям с 6 месяцев назначают Зиртек или Эриус.
- Противовоспалительные средства: Ибупрофен или Нимулид.
- Жаропонижающие, если температура выше 38,5°C держится более 3-х часов. В соответствии с возрастом ребенка, врач назначает: Парацетомол, Нурофен или Ибуклин. Если после приема лекарств температура продолжает держаться на высокой отметке, вызывают скорую помощь.
- отвары из лекарственных трав;
- солевые растворы;
- раствор марганцовки;
- Фурацилин;
- Фукорцин.
- Антибиотики. Назначаются только при запущенных стадиях ангины, если имеется риск инфекционных осложнений.
- Интерфероны. Применяют только в начале заболевания, в противном случае их эффективность будет невысокой. К препаратам данной группы относится: Вифирон, Генферон и т.д, выпускаемые в форме таблеток или свечей.
- Витамины. Поддерживают защитные силы организма и восполняют нехватку микроэлементов.
Полоскания помогут устранить неприятные симптомы недуга и облегчить боль. Детям до 3-х лет вместо полосканий выполняют орошение ротовой полости. Для этого приобретают специальное средство для полоскания рта или шприц. Антибактериальные препараты для полоскания рта:
При герпесной ангине не используют Ацикловир. Он действует только против возбудителя герпеса, а на энтеровирус Коксаки лекарство не оказывает никакого влияния.
Лечение герпесной ангины у детей проводят с помощью специальных аэрозолей для орошения глотки, обладающих обеззараживающим, обезболивающим и противовирусным действием:
Хороший результат при частом применении дают растворы таких ферментов:
Для закрепления противомикробной обработки назначают физиотерапевтические процедуры – УФО и свет неонового лазера.
Отзыв нашей читательницы — Виктории Мирновой
Недавно я прочитала статью, в которой рассказывается о средстве Intoxic для вывода ПАРАЗИТОВ из организма человека. При помощи данного препарата можно НАВСЕГДА избавиться от хронической усталости, мигреней, стрессов, постоянной раздражительности, патологий ЖКТ и многих других проблем.
Я не привыкла доверять всякой информации, но решила проверить и заказала упаковку. Изменения я заметила уже через неделю: из меня начали вылезать паразиты и глисты. Я ощутила прилив сил, меня отпустили постоянные мигрени, а через 2 недели пропали совсем. И я почувствовала как мой организм восстанавливается после изнурительного истощения паразитами. Попробуйте и вы, а если кому интересно, то ниже ссылка на статью.
Герпесная ангина у детей – это вирусное заболевание, которое вызывает воспаление горла и может сопровождаться высокой температурой. Родители часто отмечают, что у ребенка появляются болезненные язвы на слизистой, что затрудняет глотание и вызывает дискомфорт. Симптомы могут включать также головную боль, слабость и общее недомогание. Лечение обычно направлено на облегчение состояния: важно обеспечить ребенку обильное питье и использовать жаропонижающие средства при высокой температуре. Врач может рекомендовать полоскания антисептическими растворами и применение местных анестетиков для уменьшения боли. Профилактика включает в себя соблюдение гигиенических норм и укрепление иммунной системы. Родители должны быть внимательны к изменениям в состоянии ребенка и при необходимости обращаться к врачу.

Средства народной медицины
Можно дополнять традиционное лечение средствами народной медицины. Но нужно помнить, что народные средства не подходят для лечения герпесной ангины у детей младше 3 лет. Травяные отвары, мед и т.д. могут вызвать сильнейшую аллергическую реакцию и отек слизистой. Рассмотрим некоторые средства поподробнее:
- Герпесная ангина у ребенка успешно лечится луковым соком. Рецепт приготовления средства прост: 1 головку репчатого лука измельчают и выдавливают из нее сок. Его принимают 4 раза в сутки по одной чайной ложке.
Еще одно действенное средство в борьбе с недугом – настойка свеклы. Для этого овощ натирают на крупной терке и заливают стаканом кипятка. Растительный ингредиент и воду смешивают в одинаковых пропорциях. Лекарство накрывают крышкой и выдерживают при комнатной температуре 6 часов.
Настоем полощут горло от 6 раз в день.
к оглавлению ↑
Уход за больным
Грамотный уход за зараженным ребенком позволит снизить шанс развития осложнений. Он включает в себя следующие меры:
- Обеспечение постельного режима и спокойных игр.
- Изоляция больного от окружающих в целях предотвращения распространения инфекции.
- Обильное питье. Лучше если оно будет теплым, но не горячим.
- Ежедневное проветривание помещения, где находится ребенок.
- Сбалансированная пища. Продукты питания подаются в теплом, пюреобразном и жидком виде. Из рациона исключают острые блюда, копчености и газировку.
- Исключение согревающих компрессов.
Случается, что герпесная ангина проходит у детей через 2-3 дня после лечения. В этот момент родители ошибочно перестают давать ребенку медикаменты.
Но вирус может активироваться в любой момент. Останавливать лечение нельзя даже после исчезновения симптомов болезни. Отменять терапию следует только с разрешения врача.

Вопрос-ответ
Каковы основные симптомы герпесной ангины у детей?
Основные симптомы герпесной ангины у детей включают резкое повышение температуры, боль в горле, затрудненное глотание, наличие мелких пузырьков на слизистой оболочке рта и горла, а также общее недомогание и слабость. У некоторых детей могут наблюдаться также головная боль и увеличение лимфатических узлов.
Какое лечение рекомендуется при герпесной ангине у детей?
Лечение герпесной ангины у детей обычно включает симптоматическую терапию, такую как жаропонижающие и обезболивающие средства, а также обильное питье. В некоторых случаях врач может назначить противовирусные препараты. Важно также обеспечить ребенку покой и комфорт, а при необходимости обратиться к врачу для получения рекомендаций по дальнейшему лечению.
Как предотвратить герпесную ангину у детей?
Для предотвращения герпесной ангины у детей важно соблюдать правила личной гигиены, такие как регулярное мытье рук, избегание контактов с больными людьми и использование индивидуальных предметов личной гигиены. Также стоит укреплять иммунитет ребенка с помощью правильного питания, физической активности и закаливания.
Советы
СОВЕТ №1
Обратите внимание на первые симптомы. Герпесная ангина может начинаться с высокой температуры, боли в горле и общего недомогания. Если вы заметили эти признаки у ребенка, не откладывайте визит к врачу для получения точного диагноза и назначения лечения.
СОВЕТ №2
Следите за режимом питья. Обезвоживание может усугубить состояние ребенка. Убедитесь, что он получает достаточное количество жидкости, предпочтительно в виде теплых напитков, чтобы облегчить боль в горле и поддерживать водный баланс.
СОВЕТ №3
Используйте антисептические растворы для полоскания. Полоскания с солевым раствором или специальными антисептиками могут помочь уменьшить воспаление и облегчить боль в горле. Однако убедитесь, что ваш ребенок умеет полоскать горло и не проглатывает раствор.
СОВЕТ №4
Обеспечьте комфортные условия для отдыха. Убедитесь, что ребенок находится в спокойной обстановке, где он может отдохнуть и восстановиться. Поддерживайте оптимальную температуру в комнате и избегайте раздражающих факторов, таких как дым или сильные запахи.












