Ксантома, также известная как ксантелазма, морфологически представляет собой желтые бляшки в виде налета, характеризующиеся присутствием гистиоцитов. Ксантомы могут быть обнаружены также на различных участках кожи и в разнообразных слизистых оболочках. Это образование может присутствовать в пищеводе и других отделах желудочно-кишечного тракта.
Желудок является наиболее частым местом локализации ксантомы в желудочно-кишечном тракте (76%).
Впервые ксантома желудка была описана медиками в конце 19 века как «скопление макрофагов, изобилующих жирами, в слизистой желудка». С тех пор не было показано клинической значимости ксантомы желудка, хотя была отмечена корреляция с карциномой желудка.
Эпидемиология и патогенез
Согласно опубликованным данным эндоскопических исследований частота заболеваемости ксантомы желудка варьировала 0,02% до 7%. По данным аутопсии частота встречаемости этого заболевания составила в среднем 58%. Для азиатских групп населения ксантома желудка отмечалась выше среднего уровня, что, вероятно, связано с высокой частотой встречаемости хронического гастрита, взаимосвязанного с ксантомой. Ксантома желудка отмечается у людей всех возрастов, однако частота присутствия этого заболевания выше у старших групп населения. Средний возраст заболевания составил 60 лет. Были отмечены случаи поражения детей в возрасте 2–3 лет. В основном частота встречаемости у обоих полов не отличается.
Макрофаги обычно присутствуют в собственной пластинке слизистой оболочки кишечника. Они являются первой линей защиты врожденной иммунной системы для слизистого слоя от опасных патогенов. В случае повреждения кишечника эпителия (например, инфекции или воспаления кишечника) циркулирующие моноциты присоединяются к резидентным макрофагам кишечника и активно противодействуют патогенам посредством фагоцитоза. Ряд макрофагов в ксантоме накапливает липиды, источником которых являются клеточные мембраны поврежденных клеток слизистой. В результате образуются бляшки ксантомы желудка.
Ксантома желудка и пищевода представляет собой редкое, но важное заболевание, которое требует внимательного подхода к диагностике и лечению. Врачи подчеркивают, что ранняя диагностика играет ключевую роль в успешном управлении состоянием пациента. Основными методами диагностики являются эндоскопия и биопсия, которые позволяют точно определить наличие ксантомы и исключить другие патологии.
Что касается лечения, специалисты отмечают, что оно должно быть индивидуализированным. В некоторых случаях достаточно наблюдения, особенно если ксантома не вызывает симптомов. Однако, при наличии выраженных проявлений или осложнений, может потребоваться хирургическое вмешательство. Врачи акцентируют внимание на важности комплексного подхода, включая коррекцию сопутствующих заболеваний и изменение образа жизни, что может значительно улучшить прогноз для пациентов.

Клинические проявления
Ксантома желудка обычно протекает бессимптомно. Жалобы симптоматичных пациентов обычно не связаны с этим образованием. Так как образование желудочных ксантом, судя по всему, вызвано процессами заживления в ответ на повреждение тканей, его наиболее часто отмечают у пациентов, которые были подвержены заболеванию, приведшему к повреждению слизистой. По этой причине ксантома часто сопровождается сопутствующими заболеваниями.
- Гиперпластические полипы желудка. В медицинской практике были отмечены случаи одновременного присутствия ксантомы желудка и гиперпластических полипов желудка. В одном исследовании было показано, что из 154 пациентов с ксантомой желудка 10,3% имели гиперпластические полипы. Несмотря на то, что одновременное присутствие ксантомы желудка и гиперпластических полипов остается без объяснения, было предположено, что это происходит в результате воспалительного ответа на локальное повреждение слизистой оболочки.
- Заражение Helicobacter pylori. В ряде исследований было показано возможная взаимосвязь между ксантомой желудка и заражением Helicobacter pylori. Такая взаимосвязь может быть результатом повреждения слизистой желудка. Было показано, что среди лиц с ксантомой желудка уровень инфицированности этой бактерией выше, чем у здоровых людей. Антигены на эту бактерию были идентифицированы в 69 из 145 образцов от лиц с ксантомой желудка.На основании этого сделано логичное предположение, что заражение Helicobacter pylori в ряде случаев может приводить развитию ксантомы желудка.
- Атрофия слизистой и кишечная метаплазия. По данным эндоскопических обследований пациенты с ксантомой желудка характеризовались статистически значимо большей частотой атрофии слизистой, чем пациенты без этого заболевания. Ряд проведенных исследованийвыявил взаимосвязь между ксантомой желудка и атрофическим гастритом и кишечной метаплазией. После проведения хирургических операций, связанных с билиарным рефлюксом, было замечено повышение частоты встречаемости ксантомы желудка. Спустя 23 года после такого рода операций на желудке частота встречаемости ксантомы желудка достигла 60%.
- Рак желудка. Ксантома желудка также может быть связана с раком желудка. Был описан случай пациента c ранней стадией рака желудка, у которого наблюдалась пролиферация клеток ксантомы. Также был описан случай светлоклеточной карциноидной опухоли желудка, который по эндоскопическим и микроскопическим характеристикам напоминал ксантому. Согласно одному из исследований, проведенному на 105 пациентах с раком желудка,в 47,6% случаев у них отмечалась ксантома желудка. Авторы этого исследования предположили, что ксантома желудка может служить предостерегающим знаком присутствия рака желудка. Такого рода взаимосвязь может быть объяснена наличием повреждения желудка при раке этого органа. Как повреждение, так и резекция желудка приводит к повышенному риску и рака желудка, и ксантомы желудка. Хронический гастрит сопровождает определенные заболевания, считающиеся предвестниками рака желудка и ксантомы желудка.
- Гиперлипидемия. Хотя химический анализ показал, что пенистые клетки холестерин, а иногда и нейтральные жиры, не было найдено взаимосвязи между ксантомой желудка и гиперлипидемией. Однако некоторые исследователи указывают в своих отчетах на возможное наличие такой взаимосвязи. Исследователи предположили, что повышенное содержание жиров в сыворотке крови может вызывать формирование ксантомы желудка.
- Другие виды ксантоматоза. Это заболевание может осложняться другими видами ксантом желудочно-кишечного тракта. Основную роль в этом играют ксантомы толстого кишечника. Ксантома пищевода встречается достаточно редко.
Методы диагностики
Ксантома желудка и пищевода — это редкое, но важное заболевание, которое вызывает интерес и беспокойство у пациентов и врачей. Люди, столкнувшиеся с этой проблемой, часто делятся своими переживаниями о симптомах, таких как дискомфорт в области живота и трудности с глотанием. Диагностика ксантомы обычно включает эндоскопическое исследование, которое позволяет визуально оценить состояние слизистой оболочки и взять биопсию для дальнейшего анализа. Лечение может варьироваться в зависимости от тяжести заболевания, и включает как медикаментозную терапию, так и хирургическое вмешательство в сложных случаях. Многие пациенты отмечают, что своевременное обращение к врачу и соблюдение рекомендаций специалистов значительно улучшают качество жизни и помогают избежать осложнений.

Эндоскопия
Так как ксантома желудка протекает бессимптомно, то это заболевание обычно диагностируется случайным образом при эндоскопическом обследовании. Обычно ксантома, обнаруживается в антральном отделе желудка, а ксантома угла желудка отмечается реже. При эндоскопическом обследовании желудка ксантома визуализируется как светло-желтые одиночные или множественные бляшки, варьирующие в размерах от 1 до 10 миллиметров в диаметре.
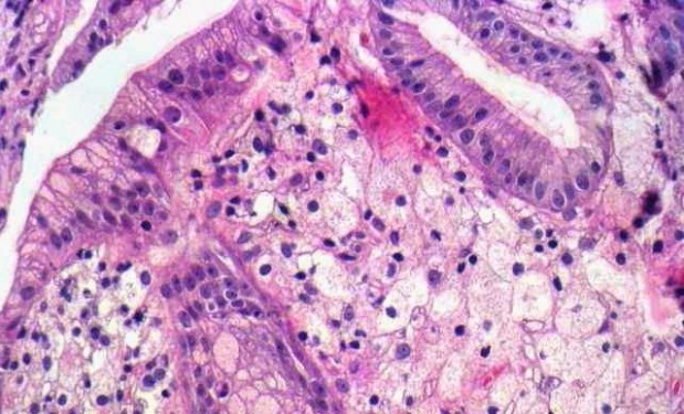
Гистологическое обследование
Ксантомы желудка, как и ксантомы с другой локализацией, состоят из крупных пенистых клеток, содержащих смесь липидов, включая холестерин, нейтральные жиры, липопротеины низкой плотности. Эти пенистые клетки представлены преимущественно гистиоцитами (оседлыми макрофагами). Однако также в этот процесс могут вовлекаться в плазматические клетки, клетки гладкой мускулатуры и шванновские клетки. Для дифференциального анализа должен применяться иммуногистохимический метод. Пенистые клетки в ксантоме желудка обычно характеризуются маркером CD68.

Дифференциальный диагноз
При некоторых заболеваниях участки пораженного желудочно-кишечного тракта характеризуются сходной с ксантомой желудка эндоскопической и гистологической картиной. Однако клиническая значимость такого рода образований отличается от бляшек при ксантоме желудка.Всвязи с этим проводится тщательный дифференциальный диагноз. Например, ксантогранулома является образованием, отличным от ксантомы желудка. При макроскопическом обследовании обнаруживается формирование многочисленных золотистых и желтоватых бляшек. Гистологическое обследование показывает, что эти бляшки преимущественно состоят из пенистых гистиоцитов, смешанных с воспалительными клетками.
Эластическая псевдоксантома является наследственным заболеванием соединительной ткани, характеризующейся дезинтеграцией и обызвествлением эластичных волокон. Пациенты с пластической псевдоксантомой могут характеризоваться желтыми подслизистыми бляшками. По причине повреждения сосудистой компоненты эти бляшки часто сопровождаются кровотечениями. Аденокарцинома перстневидных клетокжелудка также нуждается в дифференциальной диагностике от ксантомы желудка. Ксантома пищевода и ксантома желудка должны дифференцироваться от накопления липидов, субмукозной липомы или накопления гистиоцитов, не сопровождающегося формированием бляшек.
Лечение и прогноз
Рекомендации по лечению ксантомы желудка обычно не приводятся в медицинской литературе. Однако в ряде работ даются терапевтические рекомендации. Были выдвинуты предположения, что ингибиторы протонного насоса могут снижать кислотность внутри лизосом.Это предотвращает разрушение липидов. Также ингибиторы протонного насоса содействуют ускорению заживления слизистой и лечению инфекции, вызванной H. pyloriinfection. Эти препараты могут обеспечить защиту от формирования ксантомы.
В подавляющем большинстве случаев для лечения ксантомы желудка не применяется хирургическое вмешательство. Нормализация липидного обмена порой может помочь в борьбе с ксантомой желудка. Медикаментозная нормализация уровня липидов в крови и корректировка диеты могут использоваться в отдельных случаях.Необходимость в проведении отдельной хирургической операции по удалению ксантомы желудка обычно отсутствует. В любом случае требуется консультация врача и проведение адекватной диагностики для выбора оптимальной схемы лечения.
Ксантома желудка является доброкачественным образованием. Однако прогностические исследования не были проведены по этому заболеванию. До сих пор нет единого мнения относительно того, следует ли полностью избавляться от бляшек ксантомы желудка и следует ли отслеживать их динамику различными методами диагностики.Так как ксантома желудка может быть связана с потенциально опасными заболеваниями желудка, то остальная часть слизистой желудка должна быть проанализирована. Необходимо проведение биопсии в области ксантомы желудка для исключения риска злокачественных образований.
Заключение
Многие десятилетия ксантома желудка описывалась как доброкачественное заболевание. Так как это заболевание не обладает клиническими симптомами и признаками, то обычно оно обнаруживается во время эндоскопического обследования верхних отделов желудочно-кишечного тракта. Исследователями были предложены различные обоснования механизмов патогенного развития ксантомы. Наиболее часто специалисты интерпретируют это заболевание как восстановительную реакцию организма на локальную травму или воспаление. Такую точку зрения подкрепляет то, что ксантома желудка часто сопутствует заболеваниям, вызывающим повреждение желудка. Однако точный механизм развития этого заболевания по-прежнему предстоит выяснить.
Гистопатологические исследования являются важным диагностическим инструментом в определении этой болезни. Присутствие пенистых гистиоцитов в собственной пластинке слизистой оболочки желудка является главным диагностическим критерием. Для дифференциального диагноза используется иммуногистологическое обследование.
Клиническая значимость ксантомы желудка по-прежнему остается неустановленной. Однако существует ряд фактов, свидетельствующих о взаимосвязи между ксантомой желудка и повреждением этого органа. Так как повреждения желудка приводят к канцерогенезу, то необходимо уделять должное внимание лечению заболеваний, сопутствующих ксантоме желудка.
Вопрос-ответ
Как лечить ксантома желудка?
Ксантома желудка является доброкачественным процессом, который характеризуется образованием очагов липидных (жировых) отложений в слизистой оболочке желудка. Эти участки выявляются при фиброгастроскопии не так уж и редко, тем не менее, их роль трактуется неоднозначно.
Что такое ксантома пищевода?
Ксантома – это новообразование доброкачественного характера мягкой консистенции. Оно состоит из жировых клеток, но, в отличие от липомы, не ограничено капсулой. Кроме того, риск перерождения у этого образования практически отсутствует. И, тем не менее, игнорировать такое проявление не стоит.
Как вылечить ксантому?
Ксантелазмы удаляют хирургическим путем. В зависимости от показаний они могут иссекаться при помощи скальпеля, электрокоагуляции, криовоздействия, лазерным или радиоволновым способом.
Что такое ксантома ДПК?
Диффузная плоская ксантома (ДПК) принадлежит к гистиоцитозам II класса из дермальных дендритных клеток (Histiocyte Society). Главенствующую роль в формировании этого редкого заболевания играет аккумуляция в коже фагоцитирующих иммунные комплексы макрофагов.
Советы
СОВЕТ №1
Регулярно проходите медицинские обследования, особенно если у вас есть предрасположенность к заболеваниям желудочно-кишечного тракта. Раннее выявление ксантомы может значительно улучшить прогноз и облегчить лечение.
СОВЕТ №2
Обратите внимание на свою диету. Употребление продуктов, богатых клетчаткой, и уменьшение количества насыщенных жиров могут помочь снизить риск развития ксантомы и других заболеваний желудка и пищевода.
СОВЕТ №3
Если у вас появились симптомы, такие как дискомфорт в области желудка, затрудненное глотание или необъяснимая потеря веса, не откладывайте визит к врачу. Эти симптомы могут быть связаны с ксантомой и требуют своевременной диагностики.
СОВЕТ №4
Обсуждайте с врачом возможные методы лечения и их побочные эффекты. Понимание всех доступных вариантов поможет вам принять обоснованное решение о своем здоровье и выбрать наиболее подходящий подход к лечению ксантомы.


