Жизнь современного человека все меньше связана с физическим движением, активным отдыхом и здоровым питанием.
Вы еще так молоды, а чувствуете себя развалиной – при любом резком движении начинает кружиться голова, постоянно подташнивает, шумит в ушах, мучают невесть откуда взявшиеся головные боли, все время клонит в сон, а заснуть как раз не получается, немеет шея, голова, пальцы рук, появляются невыносимые боли где угодно – в животе, груди, шее, сердце.
Знакомые симптомы? Будьте осторожны – все это может оказаться признаками шейно-грудного остеохондроза.
Шейно-грудной остеохондроз: описание болезни
В действительности остеохондроз шейного отдела и грудного отдела позвоночника – это не болезнь. Речь, скорее, идет о патологии, характеризующейся специфическими нарушениями обменных процессов в хрящах межпозвонковых дисков, которые впоследствии поражают расположенные поблизости ткани.
Слово «остеохондроз» произошло от двух греческих слов: «ὀστέον» — кость и «χόνδρος» — хрящ и, таким образом, дословно означает разрушение костных тканей и хрящей, которое может наблюдаться в любом суставе, но наиболее часто поражает именно позвоночник.
Без хрящей тело человека (как и другого позвоночного) существовать не может. Именно хрящи соединяют позвонки между собой и одновременно выполняют роль амортизатора, принимающего на себя основную нагрузку во всей системе опорно-двигательного аппарата. Именно благодаря хрящам наше тело является упругим, мы можем двигаться, удерживать ту или иную позу, поднимать тяжести и, собственно говоря, жить. До тех пор пока хрящи здоровы, никакая нагрузка нашему позвоночнику не страшна.
Но ткань, из которой состоит хрящ, очень сильно изнашивается, а вот способность ее к самостоятельному восстановлению в силу возраста, неправильного образа жизни и других неблагоприятных внешних условий со временем начинает ослабевать.
При повреждении хряща возникают серьезные проблемы у всего организма. Под давлением позвонков без надлежащей амортизации межпозвоночный диск смещается, в дальнейшем деформируется его оболочка, разрастается костная ткань, сужается просвет между позвонками, сдавливаются сосуды и спинномозговые нервы, в результате чего возникает их воспаление и сильные болевые ощущения. На позвонках появляются специфические наросты, сдавливающие мышцы.
В результате нарушаются функции самого хряща, он опускается и не может выполнять свою основную роль. Наросты на позвонках иногда сдавливают позвоночные артерии, из-за чего система кровообращения начинает работать неправильно, кислород не поступает в кровь, поражается спинной и головной мозг.
Все это – общее описание процессов, получивших наименование остеохондроз и характерных в том числе и для шейного и грудного остеохондроза. Вместе с тем особенности анатомического строения шейно-грудного отдела позвоночника определяют специфику остеохондроза шейного и грудного отдела. Шея – это орган, соединяющий череп с грудной клеткой, при этом последняя является гораздо менее подвижной, поэтому и подвержена остеохондрозу значительно меньше, чем шея (хотя в грудном отделе насчитывается двенадцать позвонков, а в шейном – только семь).
Врачи отмечают, что остеохондроз шейного и грудного отдела позвоночника становится все более распространенным заболеванием, особенно среди людей, ведущих малоподвижный образ жизни. Симптомы, такие как боль в шее и спине, головные боли, онемение рук и ограничение подвижности, могут значительно ухудшить качество жизни пациента. Диагностика включает в себя клинический осмотр, рентгенографию и магнитно-резонансную томографию, что позволяет точно определить степень поражения и выбрать оптимальную тактику лечения. Врачи подчеркивают важность комплексного подхода, который может включать медикаментозную терапию, физиотерапию и лечебную физкультуру. Также значительное внимание уделяется профилактическим мерам, таким как правильная осанка и регулярные физические нагрузки, что помогает предотвратить развитие заболевания и его осложнений.

Основные причины появления заболевания: кто подвергается опасности
Главной причиной возникновения остеохондроза шейного и грудного отдела позвоночника является дефицит движения и неправильное питание, в результате чего возникает излишний вес и ожирение, ослабляется иммунитет. Дополнительную опасность создает длительное статическое нахождение в одной и той же позе (перед экраном компьютера, за школьной партой или письменным столом), особенно если при этом мы не заботимся о правильной осанке.
Медики установили прямую связь между вероятностью возникновения остеохондроза и перенесенными сердечно-сосудистыми заболеваниями, нарушением работы щитовидной железы, простудами, а также регулярным переохлаждением. Кроме того, эта патология является естественным результатом старения организма и прогрессирующим обезвоживанием.
Наконец, предрасположенность к остеохондрозу может передаваться по наследству.
Как видно из сказанного, подавляющую часть факторов, повышающих риск заболевания, мы в состоянии контролировать.
Как проявляет себя шейно-грудной остеохондроз: симптомы заболевания
Симптомы шейно-грудного остеохондроза отличаются таким многообразием, что возникает сомнение в правильности применения самого слова «симптомы» к этой патологии. Достаточно сказать, что по описанной пациентом клинической картине врачи нередко ставят диагнозы от вегето-сосудистой дистонии, стенокардии, нарушений функций кровообращения головного мозга и до инфаркта миокарда.
Но если все же попытаться систематизировать возможные признаки шейно-грудного остеохондроза, то ими могут быть:
- онемение ног, рук или плеч, снижение их подвижности или нарушение чувствительности, ощущение ползающих по телу «мурашек»;
- скачки артериального давления;
- расстройство функции сна – постоянная сонливость или, наоборот, тяжелая бессонница;
- головокружение, ощущение звона в ушах или посторонних мельканий перед глазами;
- эмоциональная угнетенность, беспричинно плохое настроение, тревожность, апатия, быстрая утомляемость.
На фоне указанных выше признаков мужчины могут испытывать также ослабление половой функции.
Боли при шейно-грудном остеохондрозе также могут проявляться в самых разных и, казалось бы, мало связанных с шеей и грудной клеткой областях. Об остеохондрозе грудного и шейного отдела могут свидетельствовать такие симптомы, как боль или жжение в грудной клетке (обычно больше при вдохе, чем при выдохе), шее, плечах и руках.
Но, помимо того, пациенты с диагностированным остеохондрозом шейно-грудного отдела могут жаловаться и на другие болезненные симптомы – в области сердца, в животе, зубные и очень часто сильные головные боли.
Таким образом, определить заболевание иногда бывает достаточно сложно, необходимо тщательное обследование и очень подробный и внимательный опрос пациента. Крайне важно установить, что болезненные ощущения разнообразной интенсивности и локализации вызваны именно сужением канала спинного мозга и, соответственно, нарушением кровообращения головного мозга и патологическими изменениями в спинном мозге.
Остеохондроз шейного и грудного отделов позвоночника вызывает множество обсуждений среди людей, страдающих от этой проблемы. Симптомы, такие как боль в шее и спине, головные боли, онемение рук и ограниченная подвижность, становятся причиной обращения к врачам. Многие отмечают, что симптомы могут усиливаться при длительном сидении или неправильной позе, что особенно актуально в условиях офисной работы. Диагностика обычно включает рентген, МРТ и КТ, что позволяет врачам точно определить степень поражения. Лечение часто комбинирует медикаментозную терапию, физиотерапию и лечебную физкультуру. Некоторые пациенты делятся положительным опытом использования мануальной терапии и массажа, которые помогают облегчить состояние. Однако важно помнить, что подход к лечению должен быть индивидуальным, и консультация со специалистом необходима для достижения наилучших результатов.

Остеохондроз шейного и грудного отдела: диагностика
Перед тем как начинать лечить остеохондроз шейно-грудного отдела позвоночника, необходимо правильно поставить диагноз. А учитывая, что он имеет достаточно расплывчатые признаки и симптомы, прежде всего, нужно исключить сходные по клинической картине патологии и заболевания, чтобы не заниматься лечением здорового органа.
Больше всего симптомы остеохондроза в рассматриваемых отделах позвоночника похожи на картину, наблюдаемую при сердечно-сосудистых заболеваниях – гипертонии, сердечных приступах, вегето-сосудистых расстройствах и проблемах кровообращения.
Болезненные ощущения в области груди легко спутать с пневмонией, туберкулезом, плевритом, боли в животе – с пищевыми расстройствами или нарушением работы желудочно-кишечного тракта. Также необходимо разобраться, не являются ли боли следствием перенесенной травмы, и исключить вероятность опухолей.
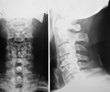
На первоначальном этапе огромное значение имеет тщательный осмотр и внимательный опрос пациента – это позволит избежать потери драгоценного времени и средств на проведение излишних исследований. Далее в обязательном порядке следует рентгенография.
До сегодняшнего дня именно этот вид исследования позволяет получить самую достоверную информацию относительно патологий в позвоночнике.
Рентгенологическое исследование проводится в разных проекциях – прямой и нескольких боковых. Снимок позволяет увидеть аномально низкую высоту хрящей между позвонками, уменьшенное расстояние между позвоночными отростками и разрастание костной ткани.
Во время рентгена больному в обязательном порядке нужно предложить открыть рот, поскольку при таком положении на снимке особенно наглядно видны патологии шейного отдела позвоночника.
Компьютерная, а также магнитно-резонансная томография (сканирование ядерно-магнитно-резонансным методом) – более современный, но, к сожалению, доступный не в любом медицинском учреждении метод диагностики. С его помощью степень и локализацию патологии в позвоночнике можно определить значительно четче.
Дополнительную информацию для правильной постановки диагноза и исключения сходных по клинической картине заболеваний можно получить также при помощи других приемом, в том числе ультразвукового исследования позвоночника, крупных стволов сосудов и сердца, электрокардиографии (регистрация электрической активности сердца), допплерографии (исследование кровотока в сосудах), электроэнцефалографии (исследование работы головного мозга) и других.
Как вылечить шейно-грудной остеохондроз
Лечение шейно-грудного остеохондроза грудного отдела позвоночника может осуществляться разными способами – медикаментозно, с помощью нетрадиционной медицины либо физиотерапевтическими методами (массаж, физические упражнения и т. п.).
Выбор того или иного способа зависит, прежде всего, от состояния больного, а также от его личных предпочтений. Грамотное комбинирование различных методик, совмещенное с коррекцией неправильного образа жизни, дает наиболее высокий результат .
Какой бы метод лечения вы не выбрали, сначала необходимо поставить диагноз. Это может сделать только врач на основании рентгеновского снимка или магнитно-резонансного сканирования!

Лечение с помощью современной медицины
Мероприятия, применяемые современной медициной при диагностировании шейно-грудного остеохондроза, подразделяются на три основных вида – устранение симптомов заболевания (прежде всего – снятие болевых ощущений), общее укрепление организма и, собственно, лечение патологии.
Для облегчения самочувствия пациенту, помимо обезболивающих препаратов, таких как, например, «Кетанов», «Кетолонг» и пр. назначают также нестероидные противовоспалительные средства («Ибупрофен», «Индометацин», «Диклофенак», «Нимесулид», «Волтарен» и др.), а также стероидные гормоны, оказывающие общее регулирующее действие на организм.
Учитывая специфику и локализацию болевого синдрома, подбирается наиболее эффективная форма препарата – таблетки, мази, компрессы или инъекции. При особенно интенсивных болях, локализующихся именно в районе позвоночника, назначается паравертебральная новокаиновая блокада.
Помочь организму мобилизовать внутренние резервы для преодоления патологии могут антиоксиданты, витаминные и иммуностимулирующие препараты («Токоферол», «Мексидол», «Берлитион» и др.). Расстройства нервной системы, сопровождающие протекание остеохондроза, купируют с помощью транквилизаторов и других препаратов, оказывающих общее успокаивающее действие на центральную нервную систему и способствующих снятию ощущения тревожности и подавленности.
При нарушениях мозгового кровообращения и других проявлениях церебрально-сосудистой недостаточности назначается «Актовегин», «Пирацетам», «Агапурин», «Трентал», никотиновая кислота, «Ксантинол» и другие препараты специфического действия.
Для снятия патологического напряжения мышц используются препараты типа «Толперизона» или «Мидокалма». Наконец, для улучшения регенерирующей способности пораженной хрящевой ткани применяются специальные препараты, такие как «Глюкозамин», «Хондроитина сульфат».
Лечебная гимнастика и массаж для лечения
Остеохондроз шейного и грудного отдела связан с патологическим напряжением соответствующей группы мышц, поэтому облегчить симптомы и заменить медикаментозное лечение может специальная лечебная гимнастика. С помощью таких упражнений на фоне принудительного расслабления мышц шейного отдела позвоночника достигается вполне конкретный эффект – расширяются межпозвоночные промежутки, высвобождаются защемленные нервы, и в результате уходит боль. Помимо того, регулярная лечебная гимнастика оказывает общеукрепляющее действие на мышечный каркас грудного и шейного отдела позвоночника, восстанавливает нарушенное кровообращение.
Необходимый для терапевтического эффекта комплекс упражнений покажет специалист. После необходимой для любой гимнастики разминки начинают разрабатывать руки, затем – плечевой пояс, спину и грудную клетку. В последнюю очередь в гимнастику вовлекаются мышцы шеи.
Гимнастические упражнения, как правило, выполняются в вертикальном положении, но если симптомы заболевания проявляются в головокружении или других нарушениях вестибулярного аппарата, можно выполнять гимнастику сидя.
Для разработки верхних конечностей необходимо расслабиться и покачивать руку так, чтобы в движении были задействованы суставы плеча, локтя и запястья. Начинать упражнение нужно с той руки, где болевые ощущения выражены сильнее.
Чтобы правильно нагрузить мышцы шеи, сначала необходимо в течение 10 секунд ладонями сдавливать лоб, скулы и щеки. Затем голову наклоняют в обе стороны, вперед (прижимая подбородок ко лбу) и назад (запрокидывая голову) настолько, насколько это возможно, по ощущениям пациента.
Движения головой должны быть последовательными, а не круговыми. Если при выполнении упражнения ощущается сильная боль, необходимо немедленно остановиться.
Еще одна крайне полезная при остеохондрозе процедура – лечебный массаж. По сути, он является определенной заменой лечебной физкультуре. Массажные движения (поглаживание, разминание, легкие удары и растирание) должны затрагивать всю группу мышц, пораженную шейно-грудным остеохондрозом. Последовательность работы с такими мышцами – та же, что и при лечебной физкультуре: верхние конечности, плечи, поясница, спина, грудная клетка и в завершении – шея.
Если гимнастические упражнения начинают с той стороны, которая поражена больше, то при массаже, напротив, сначала разрабатывается «здоровая» сторона.
Нельзя, массируя шею, затрагивать паравертебральную (серединную) линию позвоночника. Движения должны быть направлены на область, расходящуюся по обе стороны от третьего-седьмого шейных позвонков.
Нельзя назначать массаж пациентам, у которых патология имеет острые формы, при наличии гипертонии и других заболеваний сердечно-сосудистой и кровеносной систем, при любых обострениях и воспалительных процессах, после инсульта или инфаркта миокарда, при туберкулезе, при наличии кожных и онкологических заболеваний, а также во время беременности.
Шейно-грудной остеохондроз: осложнения
В целом шейно-грудной остеохондроз не относится к опасным патологиям. Более того, эта патология считается чуть ли не естественным спутником современного человека. Недаром говорят, что остеохондроз – это не болезнь, а образ жизни. Однако, если игнорировать первые признаки заболевания и не начать вовремя реагировать на них, разрушительные процессы в хрящевой ткани могут обернуться по-настоящему серьезными осложнениями.
Запущенный остеохондроз может привести к смещению диска и развитию дисковой грыжи . Чаще всего такое осложнение характерно для остеохондроза поясничного отдела, но в грудных позвонках тоже случается.
Кроме того, остеохондроз может затронуть не только хрящевую ткань, но и сам позвоночник: при серьезном разрушении костной ткани человек рискует полностью утратить подвижность верхних конечностей.
В качестве опасных последствий остеохондроза также возможна утрата контроля над органами таза, серьезные нарушения пищеварения и другие заболевания.
Все это говорит о том, что первые признаки остеохондроза ни в коем случае нельзя игнорировать (не говоря уже о том, что похожие симптомы могут свидетельствовать о более опасной патологии).
Профилактика остеохондроза шейного и грудного отдела
Лечение шейно-грудного остеохондроза грудного отдела позвоночника – процедура длительная, болезненная и дорогостоящая. Жить с такой патологией не только неприятно, но и опасно, поэтому лучше всего с молодого возраста настраиваться на активный образ жизни и заниматься профилактикой.
Неутешительная статистика свидетельствует о том, что в настоящее время остеохондрозом в том или ином виде поражено 85% населения Земли.
Профилактические мероприятия применительно к остеохондрозу, по сути, ничем не отличаются от общих правил здорового образа жизни.
- Учимся правильно сидеть за столом. Во время сидения мышцы шеи, плеч и грудной клетки не должны находиться в постоянном напряжении, иначе развития патологии не избежать. Отсюда и правила: удобное кресло с комфортной спинкой и подлокотниками и возможностью регулировать высоту с учетом собственного роста, высота стола – около 70 см, правильное расположение монитора – условная средняя горизонтальная линия на экране должна находиться ниже уровня глаз. Клавиатура, напротив, должна быть слегка «утоплена»: угол между плечом и предплечьем во время работы должен составлять примерно 120 градусов. Ноги располагаем на полу и ногу на ногу не кладем. Спина – прямая.
- Обязательно во время работы за компьютером делать перерывы минимум 1-2 раза в час. Во время таких перерывов нужно не просто откинуться на спинку кресла, а встать и походить, а еще лучше – сделать комплекс упражнений для шеи, плеч и рук. Также хорошо встать к стене и полностью выпрямиться так, чтобы затылок, лопатки и ягодицы были прижаты к вертикальной линии (если есть возможность – такое же упражнение можно выполнить не стоя, а лежа на твердой поверхности – ориентируясь на горизонтальную линию).
- Ходить тоже нужно приучить себя прямо, не сутулясь и не дергаясь – плавно и пружинисто, по-кошачьи.
- Здоровый сон – единственный способ дать позвонкам надлежащий отдых и расслабиться после тяжелого дня. Используем не только ортопедический матрац, но и ортопедическую подушку. Она должна быть небольшой и умеренно твердой.
- Крайне не рекомендуется спать на раскладушках, в гамаках или приобретать слишком мягкие матрацы. Кровать должна быть жесткой и строго горизонтальной.
- Питание должно быть сбалансированным. Есть можно все, но в меру. Слишком жирная пища, белый хлеб, острые и соленые блюда, а также сладости – в минимальных количествах. Лучшие друзья хрящей – витамины группы В, С и Е. Прекрасная профилактика остеохондроза – кисломолочные продукты.
- Активный отдых в любых формах. Очень полезны пешие прогулки, велоспорт, фитнес, а еще лучше – плавание, позволяющее максимально расслабить мышцы и разработать плечевые и другие суставы. Бег – хороший вид спорта, но при соблюдении определенных условий. К ним относится, прежде всего, правильная обувь, но не только. Бегать по асфальту не очень полезно. Если вблизи вашего дома нет специально оборудованной беговой дорожки или хотя бы незаасфальтированных тропинок и особенно если вам за 40 и ваши хрящи уже проявляют явные признаки изношенности – лучше заменить бег ходьбой. Именно спортивная ходьба позволяет задействовать максимальное количество мышц, укрепить сердце и разработать систему дыхания, не причиняя вреда организму.
Мышцы и связки также поможет укрепить специальная физкультура, которую можно использовать не только для лечения, но и для профилактики остеохондроза. От обычных занятий в спортзале такие упражнения отличаются специальной направленностью на определенную группу мышц и ориентацией на их разработку, а не переутомление.
- Встаньте прямо, положите руки на пояс. Двигайте тазом вперед и назад.
- Встаньте на колени, вытяните руки в перед. Наклоняйте корпус вперед и медленно возвращайтесь в исходное положение.
- Лягте на спину, согнув ноги в коленях. Подтягивайте ноги к груди и возвращайтесь в исходное положение.
- Лягте на бок. Поднимите голову, стараясь прижать ее к плечу. Задержите положение на 5 секунд и вернитесь в исходное положение. Повторите упражнение на другом боку.
- Лягте на живот, положите руки на затылок. Медленно запрокидываем голову назад, увеличивая сопротивление с помощью рук.
- Лягте на спину, голова – на жесткой подушке. Ритмично и резко вдавливаем голову в подушку и удерживаем в напряженном положении 5 секунд.
Итак, остеохондроз – это не болезнь и не расплата человечеству за прямохождение. Это в первую очередь – естественный результат старения организма, который, тем не менее, можно ускорить или, наоборот, замедлить в зависимости от того, как именно мы живем. Берегите свое тело смолоду, двигайтесь, ешьте в меру и сбалансированно, не злоупотребляйте алкоголем, высыпайтесь, как можно реже засиживайтесь за компьютером до утра – и вам не придется лечить шейно-грудной остеохондроз!
Вопрос-ответ
Какие симптомы при шейном и грудном остеохондрозе?
Наблюдается дискомфорт, покалывание в шее, груди, животе, периодическая болезненная пульсация в ухе или виске, боль при кашле и чихании. После длительного нахождения в вынужденной позе появляется ощущение сдавливания.
Как отличить шейный остеохондроз от грудного?
Шейного отдела позвоночника- характерны резкие боли в области шеи, отдающие в затылок и руки, усиливающиеся при движениях, охлаждении, нагрузке. Грудного отдела позвоночника — становится причиной болей, опоясывающих грудную клетку (усиливаются при дыхании), боли в области сердца, онемение в руках.
Какие обследования нужно пройти при шейном остеохондрозе?
Рентгенография шейного отдела позвоночника, КТ. МРТ, при необходимостиДуплексное сканирование сосудов шеи и головного мозга. Для оценки кровотока, выявления сужения артерий. Консультация офтальмолога (выявление признаков внутричерепной гипертензии, спровоцированной вертеброгенной патологией)
Какие органы могут болеть при грудном остеохондрозе?
Патология является частой причиной возникновения боли в спине или в грудной клетке (межреберная невралгия), а также причиной защемления нервов. Опасность заболевания заключается в стертых симптомах, нередко маскирующихся под совершенно другие болезни сердца, легких и желудка.
Советы
СОВЕТ №1
Регулярно выполняйте упражнения для шеи и спины. Простые растяжки и укрепляющие упражнения помогут улучшить гибкость и снизить напряжение в мышцах, что может уменьшить симптомы остеохондроза.
СОВЕТ №2
Следите за осанкой во время работы и отдыха. Правильная осанка помогает снизить нагрузку на позвоночник. Используйте эргономичную мебель и делайте перерывы для разминки каждые 30-60 минут.
СОВЕТ №3
Обратите внимание на свой образ жизни. Здоровое питание, отказ от курения и умеренные физические нагрузки способствуют укреплению позвоночника и общему улучшению состояния здоровья.
СОВЕТ №4
Не игнорируйте симптомы. Если вы заметили постоянные боли в шее или спине, обратитесь к врачу для диагностики и лечения. Раннее вмешательство может предотвратить развитие серьезных осложнений.








