Автор: Алеся Кузнецова
Дата публикации: 23 Июнь 2016
Дополнено: 26 Июнь 2016
Опубликовано в Здоровье
Пяточная шпора – заболевание опорно-двигательного аппарата, которое может развиться у людей обоих полов в любом возрасте. Примерно у каждого десятого человека на планете образуется пяточная шпора. Причин возникновения заболевания немало, симптомы шпоры в большинстве случаев болезненные, а лечение требует, кроме времени, еще и настойчивости. Хорошие новости в том, что развитие недуга можно предотвратить, а если до этого все-таки дошло – не беда, ведь он излечим, и даже домашнее лечение пяточной шпоры дает положительные результаты. В статье пойдет речь о том, что такое шпора на пятке, симптомы и лечение.
Содержание
Врачи отмечают, что пяточная шпора является распространенной проблемой, проявляющейся болями в области пятки, особенно при нагрузке. Симптомы могут варьироваться от легкого дискомфорта до сильной боли, что значительно снижает качество жизни пациента. Лечение в домашних условиях часто включает использование противовоспалительных препаратов, холодных компрессов и специальных стелек для обуви. Однако, по мнению специалистов, более эффективным методом является ударно-волновая терапия, которая помогает уменьшить воспаление и стимулировать регенерацию тканей. В дополнение к этому, народные рецепты, такие как компрессы из картофеля или уксуса, могут служить вспомогательными средствами, но не заменяют профессиональную медицинскую помощь. Врачи рекомендуют комплексный подход к лечению, включая физическую терапию и, при необходимости, хирургическое вмешательство.

Пяточная шпора: фото, симптомы
Пяточная шпора: что это такое?
Новобразование в виде шпоры на кости пятки, в научной терминологии плантарный фасциит, в народе получило называние, которое буквально отображает его суть – попросту пяточная шпора.
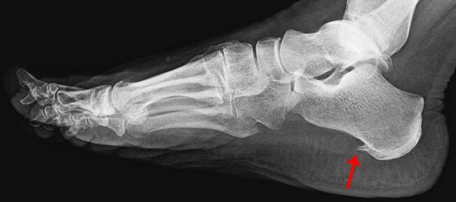
Внешне пяточная шпора (фото) не видна. Чтобы ее точно диагностировать, обязательно нужен рентген.
Вот фото пяточной шпоры на рентгеновском снимке.
Обычно костный вырост обнаруживают в том месте, где сухожилия прикреплены к пяточной кости. Размер пяточной шпоры всего от 3 до 12 мм, но, тем не менее, при надавливании на нее значительным весом возникает боль, которую трудно терпеть. Сам вырост не имеет нервных окончаний, а это значит, что болеть он не может. Но он воздействует на ткани ступни, а это как раз и есть причина боли и дискомфорта. Боль бывает настолько сильна, что больному приходится при ходьбе опираться на носок, так как полностью стать на ступню, пораженную пяточной шпорой, даже самой крошечной, невозможно. Если болезнь пустить на самотек, то больной постепенно начнет прихрамывать. А при продолжительном протекании заболевания развивается боковое плоскостопие. Шпора образуется на одной из ступней или на двух сразу. И это действительно проблема. На носках далеко не уйдешь, даже с помощью трости. Такое положение вещей способно изменить даже образ жизни: больному придется существенно ограничить передвижения, отказаться от ношения тяжестей. К счастью, природа пяточной шпоры исключительно доброкачественная. Тем не менее, болезнь нужно лечить и ни в коем случае не запускать, и раз уж образовалась шпора на пятке, лечение неизбежно.
Пяточная шпора — это распространённое заболевание, которое вызывает сильную боль в области пятки. Люди, страдающие от этого недуга, часто описывают дискомфорт при ходьбе, особенно по утрам. Симптомы могут включать жжение и острую боль, что значительно ухудшает качество жизни. Лечение в домашних условиях включает использование холодных компрессов, массаж и специальные упражнения для растяжки. Метод «ударно-волновая терапия» становится всё более популярным, так как помогает уменьшить воспаление и ускорить процесс заживления. Также многие обращаются к народным рецептам, таким как компрессы из картофеля или уксуса, которые, по мнению некоторых, облегчают симптомы. Однако перед началом лечения важно проконсультироваться с врачом, чтобы выбрать наиболее подходящий метод.

Почему образуются шпоры на пятках?
Статистика утверждает, что 80% из всех случаев заболевания диагностируют у женщин старше 40 лет. Также нередки случаи заболевания мужчин, молодых людей и даже детей.
Пытаясь определить причину образования шпоры на пятке, следует помнить, что сама по себе она не возникает. Пяточная шпора – это следствие или усугубление других заболеваний и естественных процессов в организме человека, а именно:
- – избыточного веса;
- – длительного ношения обуви, не соответствующей анатомическому строению стопы;
- – значительной методичной нагрузки на область пятки;
- – возрастных изменений организма;
- – плоскостопия;
- – искривления позвоночника;
- – ревматизма;
- – хронических скрытых инфекций;
- – травмы ступни, такие как растяжение мышц и связок;
- – нейродистрофических нарушений;
- – сосудистых заболеваний.
И хотя в списке упомянутые первопричины весьма разнообразны, условно их можно разделить на две группы: не зависящие от пациента и те, которые можно и нужно устранить при первых же симптомах недуга, а еще лучше – не допускать до того, чтобы они появились вообще.
Кто же рискует почувствовать на себе характерную боль в пятке и узнать не понаслышке, что такое пяточная шпора? В группе риска спортсмены, люди с большим весом или страдающие указанными заболеваниями, представители профессий, предполагающих «стоячую работу», модницы на высоких каблуках, или наоборот, женщины, предпочитающие обувь с плоской тонкой стелькой, а также все, кто согласен мириться с тесной, некачественной, неудобной обувью.
Пяточная шпора: симптомы
Понять, что на пятке образовалась шпора по симптомам очень легко. Самая распространенная ассоциативная пара в том, что касается диагностирования болезненных ощущений в задней части ступни: болит пятка – пяточная шпора. Но не все так однозначно. Во-первых, боль в пятке бывает очень разного характера, а во-вторых, болевой симптом может сигнализировать и о других заболеваниях, а именно: ревматоидный артрит, воспаление ахиллова сухожилия, подагра, синдром Рейтера, болезнь Бехтерева. Они не только диагностируются по-разному, но и требуют различных методов лечения. Не перечьте, если вам, кроме осмотра ноги, предложат пройти УЗИ, МРТ, рентген, а также различные анализы, вплоть до биохимического анализа крови.
Немаловажно также обратить внимание на характер боли. «У меня как будто гвоздь в пятке», «я хожу как на иголках», «кажется, что шило в пятку забилось», – так описывают свои ощущения люди, страдающие пяточной шпорой. По утрам резкие «стартовые» боли особенно ощутимы, днем боль ослабевает и постепенно нарастает к вечеру. Долго с такой болью мириться никто не сможет, но, конечно же, все зависит от индивидуального болевого порога. Примечательно, что размер шпоры не пропорционален интенсивности боли.

К какому врачу обратиться с пяточной шпорой?
Если у вас образовалась пяточная шпора, лечение стоит начинать с определения причин новообразования в ступне. Именно поэтому, распознав первые симптомы, прежде чем начать домашнее лечение шпор на пятках, советуем обратиться к врачу. На начальных стадиях развитие пяточной шпоры может протекать безболезненно. Но это только до поры до времени, и первые признаки дискомфорта в пяточной зоне ступни – достаточное основание для посещения медучреждения. С описанными симптомами первым делом нужно обратиться к ревматологу. Возможно, он и останется лечащим врачом в вашем случае. Но не исключено, что понадобится помощь специалистов иного профиля, и вас направят к эндокринологу, ортопеду, мануальному терапевту или хирургу. Все зависит от источника заболевания. Самое главное – определиться с диагнозом. После этого вы вольны выбрать лечение шпоры на пятке в домашних условиях, ограничившись вмешательством врачей только с целью консультирования. Как лечить шпоры на пятках правильно, поможет определиться врач.
Чтобы избавится от пяточной шпоры, лечение следует начать как можно раньше.
Лечение пяточной шпоры в домашних условиях
Пяточная шпора: народные рецепты лечения
Если у вас образовалась пяточная шпора, лечение народными средствами – один из путей к выздоровлению. Заметим, не самый короткий. Средств лечения пяточной шпоры предостаточно: от консервативного до оперативного, от медикаментозных до народных, как дедовских, так и новых. Тем не менее, многие принимают решение пяточную шпору лечить в домашних условиях. Решившись на самолечение, помните, что народные методы оправданы и наиболее эффективны на начальных стадиях образования пяточной шпоры. Мы собрали лучшие советы, как лечить пяточную шпору в домашних условиях.
Избавляться от пяточной шпоры в домашних условиях можно, применяя различные кремы и мази, накладывая компрессы, делая примочки и прогревающие ванночки, самомассаж. Особенно хорошие результаты наблюдаются при комбинировании этих методов.
Предлагаем несколько самых эффективных способов.
Лучшим компрессом в борьбе с пяточной шпорой является компресс на основе желчи, куриной или медицинской. Последняя приобретается в аптеке, она уже готова к применению. А желчь куриную нужно подготовить к использованию, смешав основной ингредиент с водкой и шампунем в таких пропорциях: 1 ч. л. шампуня, 20 г водки, 40 г куриной желчи.
Перед процедурой стопу следует распаривать в горячей воде в течение 20 минут. После этого ногу вытирают насухо и накладывают на больное место тампон, щедро пропитанный желчной смесью. Компресс закрепляют бинтом, оборачивают полиэтиленом. Сверху нужно надеть теплый носок из натуральной пряжи.
Держат пятку под таким компрессом не менее 8 часов, предпочтительно ночью, когда нога находится в состоянии покоя. Компресс следует накладывать ежедневно, до тех пор, пока полностью не исчезнут болевые ощущения при ходьбе.
Для растворения пяточных шпор в народной медицине используют примочки на основе уксуса. Они хороши тем, что действуют сравнительно быстро: уже через неделю каждодневного применения примочек с уксусом, можно избавиться от пяточной шпоры.
Применять уксус в качестве растворителя пяточных шпор следует осторожно. Во-первых, область вокруг пяточной шпоры необходимо смазать жирным кремом, а саму примочку разместить непосредственно на место образования шпоры. Таким образом, уксус будет действовать прицельно, не раздражая непораженную зону стопы. Во-вторых, первый сеанс с уксусной примочкой не должен длиться дольше одного часа. Последующие сеансы можно продлить настолько, насколько позволяет индивидуальная чувствительность вашей кожи, но не более чем до 6 часов.
Для облегчения болевых ощущений от пяточной шторы достаточно приготовить простую ванночку из двух доступных компонентов: соды и йода. В три литра горячей воды добавляют столовую ложку соды и 15 капель йода. Больную ногу держат в этой ванночке до остывания воды. Делать такие ванночки рекомендуют примерно в течении 2 недель.
Для приготовления медовой мази вам понадобится: 1 ст. л. натурального меда, 1 ч. л. соли, растертой в порошок, 50 мл йода. Все составляющие нужно размешать до однородной смеси. Тампон, смоченный в этой мази, наносят на пятку, обворачивают полиэтиленом, а сверху надевают носок из натуральной пряжи. Длительность процедуры – 15 минут. Количество сеансов – от 10 до 15 раз.
В аптеках продается много различных препаратов, разработанных специально для лечения пяточных шпор, например гидрокартизоновая или индометациновая мазь.
Если вам досаждает пяточная шпора, лечение димексидом – отличный вариант. Димексид – это нестероидный препарат, оказывающий противовоспалительный, а также обезболивающий эффект.
Прежде, чем приобрести аптечный препарат, проконсультируйтесь с врачом. Действующие компоненты могут иметь веские противопоказания.
При образовании шпоры на пятках лечение народными методами пользуется популярностью среди людей, недолюбливающих медучреждения, но ни в коем случае не стоит пренебрегать квалифицированной помощью, если ваши усилия безрезультатны.
Лечебная физкультура при шпорах на пятке
Ответ на вопрос «как вылечить пяточную шпору» не может быть односложным. Ведь эффективное лечение подразумевает целую систему действий. Лечебная физкультура – важная часть комплексного лечения пяточной шпоры. Эта часть комплекса направлена на растягивание и в конечном итоге укрепление плантарной фасции (особой соединительной ткани стопы). Вы можете заниматься в любое время, ограничений нет. Вместе с тем обязательны разминочные, легкие упражнения для разогрева мышц. Нельзя резко и агрессивно начинать физкультуру, противопоказано излишнее усердие. Тут как никогда нужна умеренность и осторожность. Комплекс упражнений не нужно разрабатывать индивидуально, он довольно типичен.
Упражнения при пяточной шпоре
Для этого упражнения сгодятся, на выбор: пластиковая бутылка, скалка или валик.
Подложите любой из этих предметов под стопу и перекатывайте от носка к пятке и наоборот.
Собирание мелких предметов пальцами ног
Удобно разместитесь в сидячем положении. Под ногами разбросайте мелкие предметы разной формы и величины: ручки, крышки, камушки, игральные кости. Ваша задача – перемещать их с места на место, захватывая и удерживая пальцами ног.
Выполняйте каждое упражнение по 3-5 минут утром и вечером. Самое главное –выполнять комплекс регулярно, ничего не делать через силу и доверять своим ощущениям.
Лечение пяточной шпоры в традиционной медицине
Терапия пяточной шпоры: медикаментозное лечение шпоры на пятке, ЛФК, физиотерапия, ортопедические стельки
Современная медицина предлагает очень эффективные методы лечения пяточной шпоры.
ЛФК, применяемая по выше описанным принципам, способна полностью устранить болевые ощущения, также она является одним из самых действенных способов профилактики недуга.
Физиотерапия назначается с целью активизации кровообращения в мягких тканях вокруг образования пяточной шпоры. Физиотерапия включает следующие методы: магнитотерапию, ультразвук (фонофорез), электрофорез, лазеротерапию.
Магнитотерапия воздействует магнитным полем на воспаленные участки стопы таким образом, что расширяет сосуды мягких тканей и способствует улучшению кровообращения.
Очень хорошо зарекомендовал себя фонофорез – ультразвуковая терапия, способствующая проникновению противовоспалительных препаратов вглубь травмированных тканей.
Электрофорез способен проводить лекарственные препараты непосредственно в пораженные ткани.
Лазеротерапия также улучшает кровообращение в области воспаления, а соответственно снижает болевые синдромы. Кроме этого, лазерная терапия – безболезненная процедура без побочных эффектов. Лазер хорош еще и тем, что усиливая действие препаратов, позволяет снизить их дозы.
Для лечения плоскостопия, главной причины образования пяточных шпор, просто необходимо пользоваться ортопедическими стельками. Ортопеды также настаивают на их регулярном ношении с целью профилактики развития пяточных шпор. Идеальный вариант – изготовить ортопедические стельки под заказ в специализированном учреждении, по индивидуальному оттиску стопы, обязательно при этом сделать замеры вашей повседневной обуви. Учтите, что это должна быть обувь без супинатора. Важно, чтобы ортопедическая стелька плотно прилегала к внутренним краям обуви и не смещалась во время обувания или при ходьбе.
При лечении уже образовавшейся шпоры на пятке показаны ортопедические подпяточники, они служат для уменьшения нагрузки на место образования шпоры, тем самым существенно облегчают боль.
Все методы традиционной терапии пяточных шпор имеют схожие результаты. Выбор метода за вами, он зависит от индивидуальных предпочтений и уровня платежеспособности.
Лечение пяточной шпоры ударно-волновой терапией
Лечение пяточной шпоры ударно-волновой терапией – новое слово медицины. Результативность этого метода очень высока и составляет 95%. Как и традиционные методы, УВТ улучшает кровообращение на участке воздействия, тем самым уменьшая воспаление. Кроме того, высокоэнергетические волны попадают в ткань и расщепляют уплотнения. Такое усиленное действие на пяточную шпору ударно-волновой терапией дает поразительно быстрые положительные результаты.
Волновая терапия – оптимальное решение для тех, кто не любит возиться с мазями и примочками и категорически против оперативных вмешательств. Избавление от пяточной шпоры ударно-волновым способом применяется все чаще. Вместе с тем ударная терапия имеет ряд противопоказаний: беременность, онкологические и инфекционные заболевания, встроенный кардиостимулятор. Перед применением ударно-волновой терапии пяточной шпоры в обязательном порядке следует предварительно убедиться в отсутствии вышеперечисленных противопоказаний.
Аппаратное и хирургическое лечение шпоры
В большинстве случаев медикаментозные или народные методы лечения пяточной шпоры заканчиваются выздоровлением. Но процесс это довольно длительный, иногда растянутый во времени до года. Рассматривать вариант хирургического вмешательства стоит после 4-6 месяцев безуспешных попыток лечения. Не советуем применять аппаратное и хирургическое лечение шпоры, не попробовав избавиться от нее щадящими методами. Но если желаемого результата вы не добились ни народными методами, ни даже аппаратными способами, не отчаивайтесь – выход все равно есть. Самое время обратиться к хирургу и выбрать способ удаления надоевшего костного выроста. Учтите, что хирургический метод устранения пяточной шпоры предполагает реабилитационный период от недели до двух.
Мы детально рассмотрели разные варианты, как лечить шпоры. Но после успешного выздоровления очень важно предотвратить проявление коварного недуга в будущем.
Профилактика пяточной шпоры
В вопросах здоровья трудно переоценить значение профилактики. Чтобы избежать образования пяточных шпор, следует свести к минимуму причины, которые способствуют их развитию.
Что вы можете предпринять уже сейчас:
- – выбросьте неудобную обувь или обувь, не соответствующую анатомическому строению вашей стопы, и замените ее качественной и комфортной;
- – женщинам советуем носить каблуки по праздникам, и уж никак не в качестве каждодневной обуви;
- – не идите на поводу у моды на абсолютно плоскую обувь, отдайте предпочтение правильному каблуку – от 2 до 4 см;
- – избавьтесь от избыточного веса;
- – придерживайтесь диеты, направленной на сокращение накопления солей в организме и стимулирующей обмен веществ;
- – пейте больше жидкости;
- – прекратите носить тяжелые вещи;
- – в спорте придерживайтесь умеренности;
- – ослабьте каждодневную нагрузку на пятки;
- – при плоскостопии носите ортопедические стельки;
- – балуйте себя массажем стоп или самомассажем с применением кремов.
Согласитесь, профилактика возникновения пяточной шпоры – дело нехитрое, а во многом даже приятное. Следуя нашим простым советам, вы не только снизите риск образования пяточных шпор на ваших ступнях, но и будете чувствовать себя гораздо лучше день ото дня.
Шпора на пятке – заболевание неприятное и часто встречающееся. Тем, кто с ним не сталкивался, рекомендуем не игнорировать методы профилактики. Тем же, кто испытал на себе весь дискомфорт от этого заболевания, у кого уже болит пятка, желаем выбрать подходящий результативный способ лечения шпоры. Будьте здоровы!
«Ничего не ем уже несколько дней»: почему пропал аппетит и чем это опасно
Как правильно загорать на солнце: красивый и здоровый загар от и до
Оцените, пожалуйста, статью
Размер 42-46 Понадобиться: 150 г белой хлопковой пряжи (180 м на 50 г), крючок номер 3.
Беременность – самый трудный и ответственный период в жизни женщины. Мечтали вы о ней или всё произошло случайно, но вы теперь сама себе не принадлежи.
Заняться любимым делом никогда не поздно – в этом уверена Светлана Мехер, бухгалтер со стажем. От цифр, дебетов-кредитов Светлана отдыхает по-особому.
Выбрать обои для комнаты нелегко, особенно когда нужно привести в порядок сразу несколько помещений. Но если во всем спокойно разобраться и разбить за.
Вот и остались позади волшебные деньки, когда вы могли просыпаться ближе к обеду и не торопиться вставать; когда всё вокруг казалось праздничным и при.
Сегодня проблема лишнего веса является актуальной как для мужчин, так и для женщин. Но не у всех хватает воли отказаться от любимых продуктов и блюд.
С приходом холодов так хочется укутаться во что-то теплое и родное, с этой задачей отлично справится любимый свитер. В сезоне осень 2012 – зима 2013 д.
Отношения не могут быть стабильно безоблачными. Время от времени между людьми возникают недоразумения и конфликты интересов. Отношения влюбленных – не.
Мы с подругой планируем поступить в вузы одного города. Хотим вместе снимать комнату или квартиру. Дружим с детства, но. Подскажите, как избежать во.
Вопрос-ответ
Какое народное средство помогает от пяточной шпоры?
Народные средства лечения пяточной шпоры Можно накладывать тампоны, смоченные медицинской желчью, пластинки сала, тертый картофель и черную редьку. Иногда пораженные участки натирают скипидаром или обильно смазывают йодом. Аппликации обычно налагают на ночь, надевая на больную ногу носок.
Что хорошо рассасывает пяточную шпору?
Для лечения пяточной шпоры используют йодистый калий, гидрокортизон, новокаин и прочие препараты. Эффективность таких методов физиолечения, как ультразвука и фонофореза (сочетанное применение ультразвука и лекарственного препарата) при пяточных шпорах составляет более 30%.
Какие компрессы помогают при пяточной шпоре?
При пяточной шпоре рекомендуется делать холодные компрессы, которые вызывают временное онемение пораженного участка. В качестве охлаждения используется лед в полиэтиленовом пакете. Применение холодных компрессов три-четыре раза по 15 минут ежедневно уменьшает боль и отечность в пятке.
Какие ванночки делать при пяточной шпоре?
Единственный эффективный метод для снятия болей и усталости ног в домашних условиях, который рекомендуют врачи, – это успокаивающие ванны. В 10 л воды температурой от 37 до 52 °С нужно растворить 5 столовых ложек морской соли, добавить 10–12 капель хвойного экстракта и опустить ноги в ванночку на 10–15 минут.
Советы
СОВЕТ №1
Перед началом любого лечения пяточной шпоры, обязательно проконсультируйтесь с врачом. Это поможет избежать осложнений и подобрать наиболее подходящие методы терапии, учитывая индивидуальные особенности вашего организма.
СОВЕТ №2
Используйте специальные ортопедические стельки или подушки для обуви, чтобы снизить нагрузку на пятку. Это может значительно уменьшить болевые ощущения и ускорить процесс выздоровления.
СОВЕТ №3
Применяйте холодные компрессы на пораженную область для уменьшения воспаления и боли. Достаточно прикладывать лед на 15-20 минут несколько раз в день, чтобы облегчить состояние.
СОВЕТ №4
Попробуйте народные рецепты, такие как компрессы из картофеля или уксуса, но помните, что они могут быть лишь дополнением к основному лечению. Следите за реакцией организма и при ухудшении состояния обращайтесь к врачу.





















