Можно ли быстро вылечить шпоры на пятках в домашних условиях? Вопрос этот достаточно актуален для многих людей, так как болезнь может возникнуть как у ребенка, так и у старика. Основным и самым неприятным признаком его является сильная боль. Некоторые пациенты сравнивают ощущения с гвоздем, который не дает покоя ни днем, ни ночью. Не зря с каждым годом появляется все больше методик и средств для облегчения боли при этом диагнозе.
Что такое пяточная шпора и причины ее развития
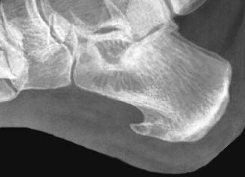
Пяточная шпора (плантарный фасциит) – выглядит как костные наросты в виде шпоры или шипа на подошвенной части стопы. При передвижении шип давит на окружающие ткани провоцируя развитие болевого синдрома. В среднем размеры шпоры обычно составляют 0,5-1,2 см. В медицине такой нарост называют – экзостоз.
Причины возникновения пяточной шпоры могут быть разными. Но чаще всего развитие заболевания провоцируют:
- Плоскостопие.
- Чрезмерные спортивные нагрузки.
- Длительные пешие прогулки.
- Сахарный диабет.
- Нарушение обмена веществ.
- Травмы стопы.
- Ожирение.
- Ношение неудобной обуви.
- Нарушение обмена веществ.
- Нарушение кровообращения.
- Патологии позвоночника и суставов.
- Пожилой возраст.
Все эти факторы вызывают повышенную нагрузку в области стопы, вследствие чего происходит сильное напряжение сухожилий, микроразрывы и как результат возможно развитие воспаления. В зоне риска развития плантарного фасциита находятся спортсмены, это обусловлено частыми травмами и усиленными нагрузками на ноги. Врачи рекомендуют любителям здорового образа жизни носить специальную обувь поддерживающую свод стопы. Также достаточно часто заболевание диагностируют у людей преклонного возраста. Причина кроется в истончении и естественном износе жировой подушки в области пятки, которая выступает в роли амортизатора при ходьбе.
Врачи отмечают, что шпоры на пятках — это распространенная проблема, которая может вызывать значительный дискомфорт. Для быстрого лечения в домашних условиях специалисты рекомендуют несколько методов. Во-первых, важно обеспечить покой пораженной области и избегать чрезмерной нагрузки на ноги. Холодные компрессы могут помочь снизить воспаление и облегчить боль.
Также врачи советуют использовать специальные ортопедические стельки или подушки для обуви, которые помогут распределить нагрузку и снизить давление на пятку. Массаж и растяжка мышц ног могут улучшить кровообращение и способствовать восстановлению.
Некоторые специалисты рекомендуют применять противовоспалительные мази и гели, содержащие нестероидные противовоспалительные препараты. Однако перед началом лечения важно проконсультироваться с врачом, чтобы исключить серьезные патологии и выбрать наиболее подходящий метод.

Симптомы или как определить есть ли у меня пяточная шпора?
Первым признаком болезни является сильная боль в области пятки. Чаще всего она усиливается при опоре на ногу утром после сна. Ее еще называют «стартовой болью». После в течение нескольких часов она немного притупляется, а к вечеру возникает с новой силой. Обычно место возникновения боли начинается с внутренней стороны пяточной области и распространяется по всей поверхности подошвы стопы. Еще одним симптомом является грубая и покрасневшая кожа в зоне нароста. Объясняется это тем, что шпора давит на мягкие ткани, вызывая тем самым воспаление. В редких случаях при попадании инфекции может возникнуть нагноение.
По статистике в большинстве случаев (около 90%) происходит изменение походки в силу того, что человек подсознательно пытается уменьшить неприятные болевые ощущения вызванные давлением шипа. В итоге при ходьбе человек пытается скомпенсировать движения и больше напоминает движение лыжника. Для точного определения необходим рентген и обследование с помощью аппарата УЗИ, а также анализы крови и мочи. Целью этого является не только постановка правильного диагноза, но и выяснение причины вызвавшей развитие болезни.
Внимание! Боль в области стопы не обязательно свидетельствует о наличие шпоры на ногах. Для своевременной установки правильного диагноза необходимо обратиться к врачу. Ведь только специалист может исключить такие заболевания как: артрит, болезнь Бехтерева или синдром Рейтера.
Что делать при болях?
Чаще всего для снятия боли врачи рекомендуют принимать нестероидные обезболивающие препараты. Помимо обезболивающего эффекта они снижают проницаемость кровеносных сосудов, и блокируют развитие отечности. Но следует помнить, что, как и любыми лекарствами ими нельзя злоупотреблять, чтобы не вызвать побочных эффектов.
Для облегчения неприятных ощущений в домашних условиях можно использовать лед. Его применяют в виде компрессов, добавляют в ванночки или при помощи кубика делают массаж. Если боль не получается снять при помощи медикаментов, то врач проводит новокаиновую блокаду. То есть обкалывает место вокруг шпоры новокаиновым раствором. В самом крайнем случае, если ни чего не помогло, специалист может назначить использование глюкокортикоидов. При этом укол делается непосредственно в область самого нароста.
Шпоры на пятках — распространенная проблема, вызывающая дискомфорт и боль при ходьбе. Многие люди ищут способы облегчить свое состояние и избавиться от этой неприятности в домашних условиях. Одним из популярных методов является использование компрессов с уксусом или картофелем. Эти натуральные средства помогают уменьшить воспаление и ускорить заживление. Также рекомендуется делать теплые ванночки с добавлением морской соли, что способствует расслаблению мышц и улучшению кровообращения.
Физические упражнения, такие как растяжка икроножных мышц, могут значительно снизить напряжение в области пятки. Некоторые люди отмечают эффективность применения специальных стелек или ортопедических обуви, которые помогают перераспределить нагрузку на стопу. Важно помнить, что перед началом лечения стоит проконсультироваться с врачом, чтобы исключить серьезные заболевания и выбрать оптимальный метод терапии.

Лечение в домашних условиях
Лечение шпоры на пятке народными методами процесс достаточно длительный. И проводить его можно только после согласования с лечащим врачом. Наиболее эффективные способы:
- Компресс на основе черной редьки. Овощ хорошо промывают под проточной водой. Далее, натирают на мелкой терке, не очищая от кожицы. Получившуюся кашицу, предварительно отжав, прикладывают к больному месту, заматывают полиэтиленом и надевают носок. Лечение лучше проводить на ночь. Утром повязку убирают, а ногу промывают с мылом и мажут увлажняющим кремом. Курс лечения 7-10 дней.
- Аппликация с применением медицинской желчи. Перед ее нанесением ногу необходимо распарить в горячей воде и насухо вытереть. После этого ватный диск пропитать желчью, приложить непосредственно на шпору и зафиксировать с помощью бинта. Обмотать полиэтиленовой пленкой и надеть теплый носок. Процедуру проводят на ночь ежедневно, до полного исчезновения симптомов.
- Солевая ванночка. Необходимо взять 1кг морской соли и растворить ее в 5 литров горячей воды. Держать ноги в ней до полного остывания жидкости. Этот способ не только помогает лечить пяточные шпоры, но и помогает снимать болезненные ощущения.
Лечение средствами традиционной медицины
При выборе метода лечения пациента врачи руководствуются различными факторами. Главными из которых, являются причины заболевания и его стадия. Следует помнить, что залог успешной терапии в комплексном лечении. Максимально быстро вылечить шпоры на пятках помогут такие методики, как:
- Лечение медикаментами. Как упоминалось выше, применяют различные обезболивающие средства (таблетки, мази, гели, настойки). Введение инъекций, эффект от которых сильнее, чем от таблеток. Причем уколы должен делать врач! Потому что только он сможет правильно подобрать дозировку препарата и глубину введения иглы. Самостоятельные уколы могут грозить развитием остеопороза и воспалений.
- Комплекс физиотерапии. В него входят: электрофорез, минеральные и грязевые ванны,сонофорез.
- Лечение лазером. Суть процедуры заключается в воздействии лучами на область шпоры, вызывая тем самым регенерацию поврежденных тканей. Курс лечения в среднем составляет 2-6 сеансов.
- Ударно-волновая терапия. При помощи специального аппарата электрическим импульсом разрушают кальциевые отложения. Метод достаточно эффективен на первых стадиях развития шпоры, позволяя полностью разрушить нарост. Но и при запущенных процессах позволяет снять воспаление, и остановить рост пяточной шпоры. К сожалению, имеются противопоказания к такому методу. К ним относятся: беременность, заболевания нервной и сердечно-сосудистой системы, опухоли, низкое артериальное давление, тромбофлебит в месте воздействия.
- Ультразвуковая терапия. Во время лечения ультразвуковые волны за счет внутреннего прогрева тканей снимают воспаление, отечность и способствуют регенерации на клеточном уровне.
- Лечебная физкультура – еще один способ нормализовать кровоснабжение ног. Подходящие для ЛФК упражнения каждому пациенту врач подбирает индивидуально.
- Хирургическое вмешательство. К этому методу врачи прибегают достаточно редко, если другая терапия не дала нужных результатов. Потому, что операция не искореняет причину заболевания. И к тому же, нет ни каких гарантий, что пяточная шпора не появиться вновь.
Важно знать: Хирургическое вмешательство является методом оправдывающим себя только в запущенных случаях при больших размерах шпоры и наличии сильного не купирующегося болевого синдрома.

Лечение Димексидом
Димексид – современное средство с противовоспалительным и обезболивающим эффектом. Форма выпуска — раствор для наружного применения, компоненты входящие в его состав позволяют глубоко проникать в ткани организма и снимать воспаление, боль и отечность суставов, связок, мягких тканей. Является зарекомендовавшим себя средством, позволяет вылечить шпоры на пятках в домашних условиях достаточно быстро.
Важно знать: Димексид применяется только наружно в виде компрессов, примочек и подобного, не используйте его никак иначе, и внимательно ознакомьтесь с инструкцией к препарату.
Способ применения. 1 большую ложку Димексида смешивают с тремя ложками прокипяченной воды, получившимся составом обрабатывают марлю или иной впитывающий материал и накладывают на пятку на 0,5 часа до 3 раз за сутки. Рекомендуемая продолжительность лечения: 10 -30 дней.
Смешивайте и работайте с раствором только в резиновых перчатках и помните что Димексид имеет неприятный запах.
Упражнения
Перед тем, как приступить к выполнению комплекса упражнений, обязательно нужно провести разминку. Если выполнять их регулярно, то шпора может стать более эластичной и уменьшатся болевые ощущения.
- Для начала необходимо опереться ладонями о стену, а стопы поставить друг за другом, как при ходьбе по бревну или канату. Причем больная нога должна находиться сзади. Затем следует медленно присесть и зафиксироваться в таком положении на 15 секунд. Это упражнение отлично походит для разогрева мышц. Повторять для каждой ноги 10 раз.
- Для этого упражнения необходимо встать на невысокий порожек до 5 см двумя ногами, (при этом пятки должны свисать). Затем начать наклоняться в сторону стены придерживаясь ладонями, до ощущения напряжения мышц голени. После чего необходимо замереть на 15 секунд. Выполнять 10 раз, после чего передохнуть и проделать те же действия, только уже стоя на одной ноге.
- Следующее упражнение выполняется при помощи мяча, пластиковой бутылки или валика. Необходимо положить предмет под стопу и перекатывать его около 5 минут.
- Нужно взять различные мелкие предметы (монеты, камешки, орешки) и рассыпать их по полу. Затем сесть на стул и собрать их какую-либо емкость пальцами ног. Упражнение не только помогает избавиться от пяточной шпоры, но и предотвратить ее возвращение.
- В заключение следует провести упражнения для растяжения нароста. С помощью ленты или руками необходимо подтянуть к себе стопы, добившись максимального сгиба. После этого зафиксировать их в таком положении на 15 секунд. Выполнять 10 раз.
Последствия и профилактика
В некоторых случаях пяточная шпора может стать причиной потери подвижности, так как сильная боль мешает и не дает полноценно наступить на ногу. В таких случаях врачи рекомендуют постельный режим.
Профилактика должна быть в первую очередь направлена на предотвращение болезни. И эти меры после того, как лечение шпоры на пятке прошло успешно, должны стать образом жизни. Только тогда Вы будете уверенны в том, что заболевание не вернется вновь. Вот основные меры профилактики:
- Избыточная масса тела или ожирение провоцирует увеличение нагрузки на стопы, а также может стать виновником других сопутствующих заболеваний. Потому контроль над весом является обязательным фактором профилактики.
- Если обнаружено плоскостопие, необходимо его сразу лечить, до того как оно спровоцирует заболевание.
- Еще одной мерой станет приобретение обуви с ортопедической стелькой, для правильной фиксации ноги. Носить туфли с каблуком более 4 см не рекомендуется.
- Необходимо принимать комплекс витаминов и минералов для поддержки опорно-двигательного аппарата.
- Полный отказ от вредных привычек.
- Ограничить употребление соли, в том числе копченых и консервированных продуктов. По поводу разрешенных продуктов лучше проконсультироваться с диетологом.
- И главная мера – отсутствие чрезмерной нагрузки на ноги.
И помните, выполнение гимнастики, активный образ жизни и профилактические осмотры у врача помогут забыть о пяточной шпоре раз и навсегда.
Вопрос-ответ
Что хорошо рассасывает пяточную шпору?
Для лечения пяточной шпоры используют йодистый калий, гидрокортизон, новокаин и прочие препараты. Эффективность таких методов физиолечения, как ультразвука и фонофореза (сочетанное применение ультразвука и лекарственного препарата) при пяточных шпорах составляет более 30%.
Какая самая лучшая мазь от пяточной шпоры?
Гидрокортизоновая мазь, обладающая гормональным действием, снижает местную отечность и интенсивность воспалительного процесса. Для домашнего лечения пяточной шпоры также используют обезболивающие мази противовоспалительного действия ибупрофен, диклофенак и вольтарен.
Можно ли мазать пяточную шпору йодом?
Народные средства лечения пяточной шпоры Иногда пораженные участки натирают скипидаром или обильно смазывают йодом. Аппликации обычно налагают на ночь, надевая на больную ногу носок. Ванночки. Продолжительность процедуры – 10-15 минут, во всех случаях используется теплая вода.
Что помогает от пяточной шпоры народными средствами?
Можно использовать компрессы с листьями лопуха и подорожника, мази с мумие, примочки с нашатырем и скипидаром. Специальные подпяточники уменьшают боль при пяточной шпоре, способствуя правильному положению всей стопы и пятки в частности.
Советы
СОВЕТ №1
Используйте холодные компрессы. Прикладывание льда к пораженной области на 15-20 минут несколько раз в день поможет уменьшить воспаление и боль. Оберните лед в ткань, чтобы избежать обморожения кожи.
СОВЕТ №2
Применяйте специальные стельки или ортопедические обувные вставки. Они помогут снизить нагрузку на пятки и улучшить распределение веса, что может значительно облегчить состояние и ускорить процесс заживления.
СОВЕТ №3
Регулярно выполняйте упражнения для растяжки. Упражнения, направленные на растяжение икроножных мышц и ахиллова сухожилия, могут помочь уменьшить напряжение в области пятки и предотвратить дальнейшее развитие шпор.
СОВЕТ №4
Обратите внимание на свой вес и образ жизни. Избыточный вес может увеличить нагрузку на стопы, поэтому поддержание здорового веса и активный образ жизни помогут снизить риск появления шпор на пятках.






